ISO 9001:2015 Certified
Live Customer Support
4.5/5 on Trustpilot
100% Quality Guarantee

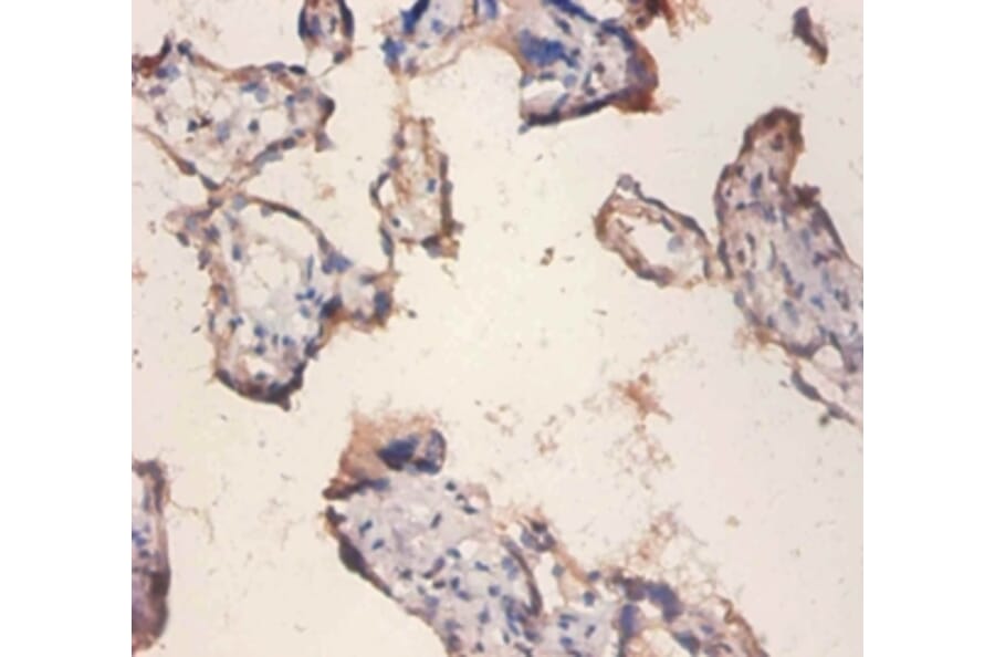
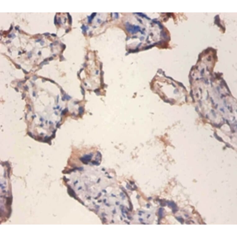
Anti-Oxidized low-density lipoprotein receptor 1 protein Antibody (A44638)

Rabbit polyclonal antibody to Oxidized low-density lipoprotein receptor 1 protein for IHC.

Shipping Information

$40
Dispatched from St. Louis, MO.
Lead Time: 6-9 business days.
Name
Anti-Oxidized low-density lipoprotein receptor 1 protein Antibody
Description
Rabbit polyclonal antibody to Oxidized low-density lipoprotein receptor 1 protein
Specificity
The antibody detects endogenous level of total Oxidized low-density lipoprotein receptor 1 protein polyclonal antibody.
Applications
IHC
Reactivity
Human
Immunogen
Recombinant Human Oxidized low-density lipoprotein receptor 1 protein
Host
Rabbit
Clonality
Polyclonal
Conjugate

Unconjugated

Purification
Caprylic Acid Ammonium Sulfate Precipitation purified
Concentration
1.0 mg/mL
Formulation
Preservative: 0.03% Proclin 300 Constituents: 50% Glycerol, 0.01M PBS, PH 7.4
Storage
Shipped at 4°C. Upon delivery aliquot and store at -20°C. Avoid freeze/thaw cycles.
Disclaimer
This product is for research use only. It is not intended for diagnostic or therapeutic use.
Publishing research using Anti-Oxidized low-density lipoprotein receptor 1 protein Antibody (A44638)? Please let us know so that we can list the citation on this page.