ISO 9001:2015 Certified
Live Customer Support
4.5/5 on Trustpilot
100% Quality Guarantee

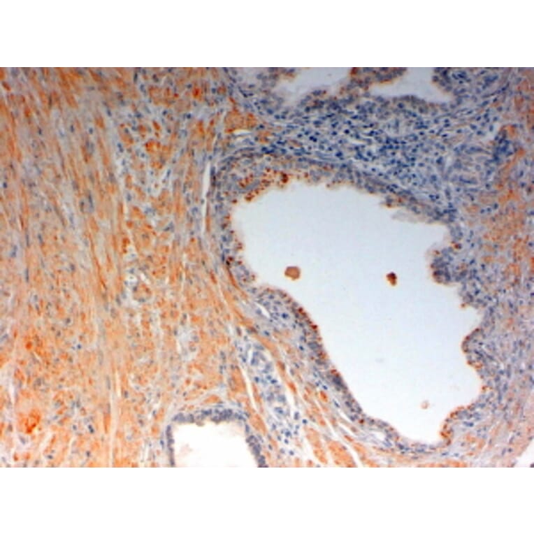
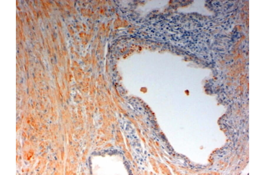
Anti-OXTR Antibody (A84606)

This product is discontinued

Anti-OXTR Antibody (A84606) has been discontinued and is no longer available.

View all OXTR Antibodies.

Name
Anti-OXTR Antibody
Description
Goat polyclonal antibody to OXTR.
Applications
ELISA, WB, IHC
Reactivity
Human, Rat
Immunogen
Synthetic peptide corresponding to Human OXTR (C terminal).
Sequence
C-RRLGETSASKKSN
Host
Goat
Clonality
Polyclonal
Isotype
IgG
Conjugate

Unconjugated

Purification
Purified from goat serum by ammonium sulphate precipitation followed by antigen affinity chromatography using the immunizing peptide.
Concentration
100 µg at 500 µg/ml.
Product Form
Liquid
Formulation
Supplied in Tris Buffered Saline, pH 7.30, with 0.02% Sodium Azide and 0.5% BSA.
Storage
Shipped at 4°C. Upon delivery aliquot and store at -20°C. Avoid freeze / thaw cycles.
Synonyms
OT-R
Isotype Controls
Disclaimer
This product is for research use only. It is not intended for diagnostic or therapeutic use.

Alternative products to Anti-OXTR Antibody (A84606)

Proteins predicted to interact with Oxytocin Receptor

Predicted protein interactions based upon String database. Revelancy score correlates with probability of interaction.
99.5% Relevancy Score
99.2% Relevancy Score
99.2% Relevancy Score
91.3% Relevancy Score
91% Relevancy Score
90.9% Relevancy Score
90.9% Relevancy Score
84.5% Relevancy Score