ISO 9001:2015 Certified
Live Customer Support
4.5/5 on Trustpilot
100% Quality Guarantee

Anti-P Glycoprotein Antibody (A80889)

This product is discontinued

Anti-P Glycoprotein Antibody (A80889) has been discontinued and is no longer available.

View all P Glycoprotein Antibodies.

Name
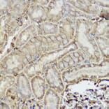
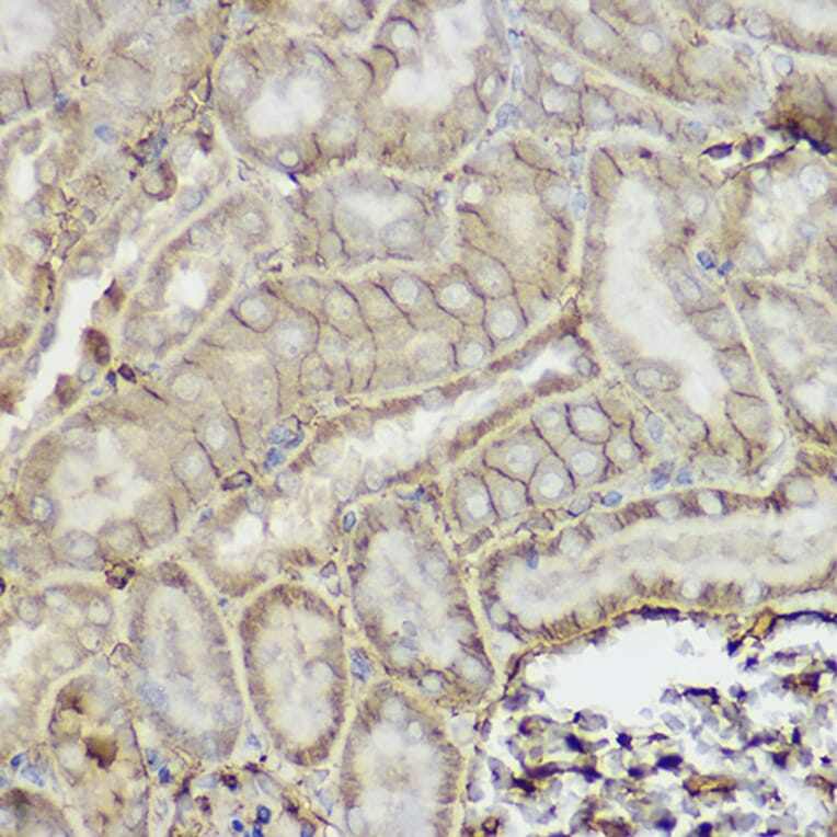
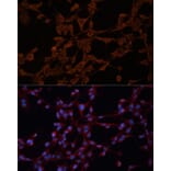
Anti-P Glycoprotein Antibody
Description
Rabbit polyclonal antibody to P Glycoprotein.
Applications
WB, IHC, ICC/IF
Dilutions
WB: 1:500-1:1,000, IHC: 1:50-1:200, ICC/IF: 1:50-1:200
Reactivity
Human, Mouse, Rat
Immunogen
Recombinant fusion protein containing a sequence corresponding to amino acids 603-692 of human P Glycoprotein (NP_000918.2).
Sequence
DGVIVEKGNHDELMKEKGIYFKLVTMQTAGNEVELENAADESKSEIDALEMSSNDSRSSLIRKRSTRRSVRGSQAQDRKLSTKEALDESI
Host
Rabbit
Clonality
Polyclonal
Isotype
IgG
Conjugate

Unconjugated

Purification
Affinity purification.
Molecular Weight
160 kDa
Product Form
Liquid
Formulation
Supplied in Phosphate Buffered Saline, pH 7.3, with 50% Glycerol and 0.05% Proclin 300.
Storage
Shipped at 4°C. Upon delivery aliquot and store at -20°C. Avoid freeze / thaw cycles.
Synonyms
ABCB1, ATP-binding cassette sub-family B member 1, ATP-dependent translocase ABCB1, CD243, EC:7.6.2.2, MDR1, Multidrug resistance protein 1, P-glycoprotein 1, PGY1, Phospholipid transporter ABCB1
Disclaimer
This product is for research use only. It is not intended for diagnostic or therapeutic use.

Alternative products to Anti-P Glycoprotein Antibody (A80889)

Proteins predicted to interact with P Glycoprotein

Predicted protein interactions based upon String database. Revelancy score correlates with probability of interaction.
92% Relevancy Score
88.6% Relevancy Score
88.3% Relevancy Score
85.8% Relevancy Score
84.2% Relevancy Score
81.2% Relevancy Score
80.9% Relevancy Score
80% Relevancy Score
77.9% Relevancy Score