ISO 9001:2015 Certified
Live Customer Support
4.5/5 on Trustpilot
100% Quality Guarantee

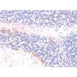
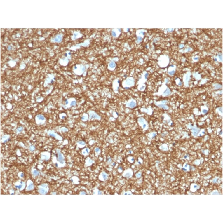
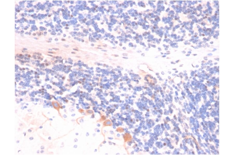
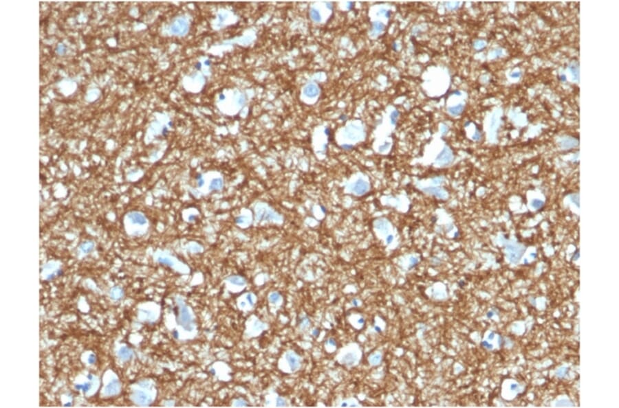
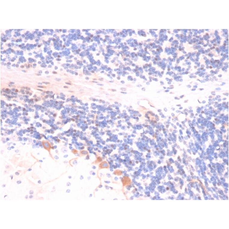
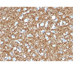
Anti-p14ARF Antibody [4C6/4] - BSA and Azide free (A251287)

Mouse monoclonal [4C6/4] antibody to p14ARF for Flow Cytometry, IF, WB and IHC-P.

Alternative Formats and ConjugatesAlternative Formats

Shipping Information

$40
Dispatched from St. Louis, MO.
Lead Time: 5-8 business days.
Name
Anti-p14ARF Antibody [4C6/4] - BSA and Azide free
Description
Mouse monoclonal [4C6/4] antibody to p14ARF.
Specificity
The progression of cells through the cell cycle is regulated by a family of proteins designated cyclin-dependent kinases (Cdks). Sequential activation of individual members of this family and their consequent phosphorylation of critical substrates promotes orderly progression through the cell cycle. Multiple proteins are encoded by the tumor suppressor gene CDKN2A (MTS1/ p16INK4a) via translation of alternate reading frames, resulting in the pro- duction of the p19 ARF protein in mice and the p14 ARF protein in humans. p14 ARF induces an increase in MDM2 and p21 levels and leads to cell cycle arrest in both G1 and G2/M. p14 ARF is negatively regulated by p53 and is known to bind directly to MDM2. CDKN2A also encodes the mitotic protein p16, which binds to and inhibits the Cdk4/cyclin D complex.
Applications
Flow Cytometry, IF, WB, IHC-P
Dilutions
Flow Cytometry: 1-2 µg/million cells, IF: 1-2 µg/ml, WB: 1-2 µg/ml, IHC-P: 1-2 µg/ml
Reactivity
Human, Rat
Immunogen
Recombinant full-length human p14 ARF protein.
Host
Mouse
Clonality
Monoclonal
Clone ID
4C6/4
Isotype
IgG2a
Light Chains
kappa
Conjugate

Unconjugated

Purification
Protein A/G chromatography.
Concentration
1 mg/ml
Molecular Weight
14 kDa
Product Form
Liquid
Formulation
Supplied in 10mM Phosphate Buffered Saline; without Sodium Azide and carrier free.
Storage
Shipped at 4°C. Upon delivery aliquot and store at -20°C. Avoid freeze / thaw cycles.
General Notes
This monoclonal antibody is also available in a different formulation with BSA and Sodium Azide - Anti-p14ARF Antibody [4C6/4] (A248104).
Synonyms
Alternative reading frame, ARF, CDKN2, CDKN2A, Cyclin-dependent kinase inhibitor 2A, MLM, Tumor suppressor ARF
Disclaimer
This product is for research use only. It is not intended for diagnostic or therapeutic use.
Publishing research using Anti-p14ARF Antibody [4C6/4] - BSA and Azide free (A251287)? Please let us know so that we can list the citation on this page.

Alternative products to Anti-p14ARF Antibody [4C6/4] - BSA and Azide free (A251287)

Proteins predicted to interact with p14 ARF

Predicted protein interactions based upon String database. Revelancy score correlates with probability of interaction.
99.9% Relevancy Score
99.9% Relevancy Score
99.9% Relevancy Score
99.9% Relevancy Score
99.9% Relevancy Score
99.8% Relevancy Score
99.8% Relevancy Score
99.3% Relevancy Score
99.2% Relevancy Score