Cervical lymph node metastasis of oropharyngeal HPV-associated squamous cell carcinoma stained with Anti-p16 Antibody (A8237). Shows strong and specific positive immunostaining of dysplastic and neoplastic epithelium, with no reactivity in normal epithelial and stromal structures. Formalin fixed, paraffin embedded human tissues (4µm sections) stained.
High grade squamous intraepithelial lesion of the uterine cervix (in contrast with normal endocervical glands) stained with Anti-p16 Antibody (A8237). Shows strong and specific positive immunostaining of dysplastic and neoplastic epithelium, with no reactivity in normal epithelial and stromal structures. Formalin fixed, paraffin embedded human tissues (4µm sections) stained.
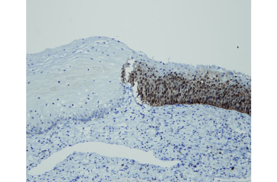
High grade squamous intraepithelial lesion of the uterine cervix (in contrast with non-dysplastic metaplastic squamous epithelium). Shows strong and specific positive immunostaining of dysplastic and neoplastic epithelium, with no reactivity in normal epithelial and stromal structures. Formalin fixed, paraffin embedded human tissues (4µm sections) stained with Anti-p16 Antibody (A8237).
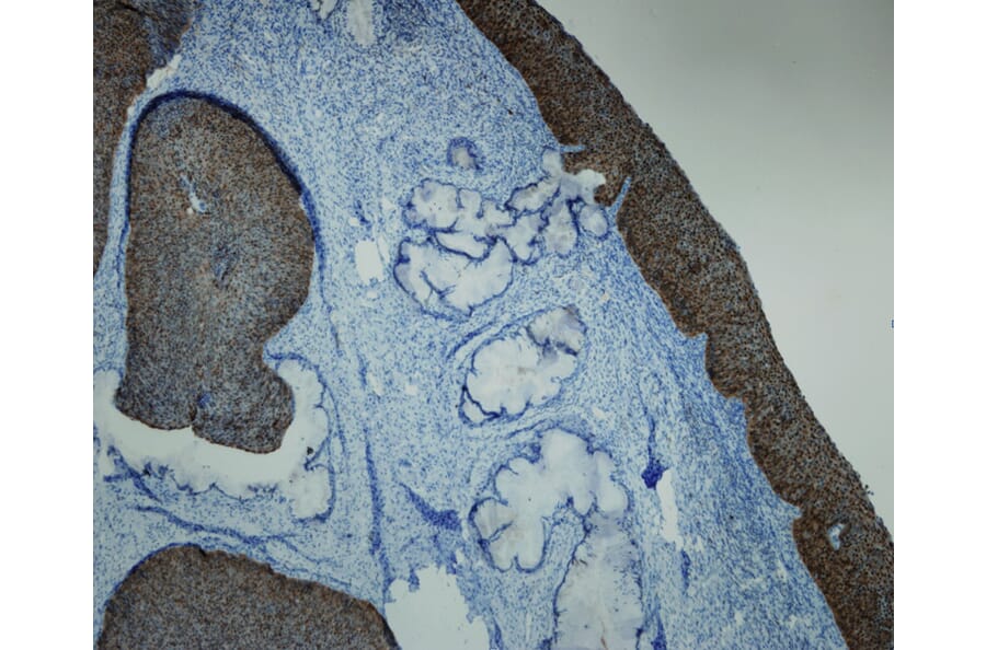
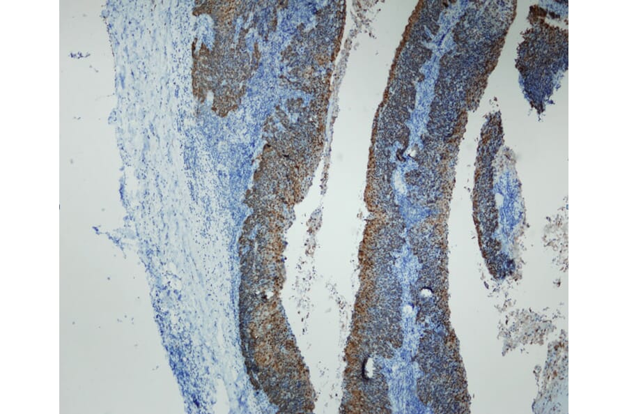
Adenocarcinoma in situ of the uterine cervix, stained with Anti-p16 Antibody (A8237). Shows strong and specific positive immunostaining of dysplastic and neoplastic epithelium, with no reactivity in normal epithelial and stromal structures. Formalin fixed, paraffin embedded human tissues (4µm sections) stained.
Publishing research using Anti-p16 Antibody [R19-D] (A8237)? Please let us know so that we can list the citation on this page.