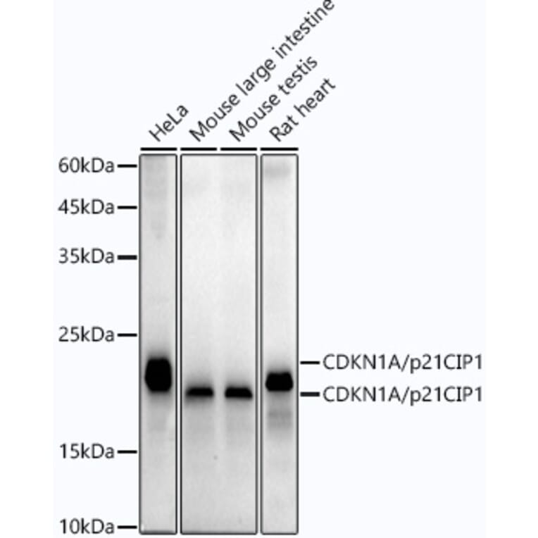
Western Blot - Anti-p21 Antibody [ARC51040] (A307748)
Western blot analysis of extracts of various cell lines, using Anti-p21 Antibody [ARC51040] (A307748) at 1:1,000 dilution. The secondary antibody was Goat Anti-Rabbit IgG H&L Antibody (HRP) at 1:10,000 dilution. Lysates/proteins were present at 25µg per lane. The blocking buffer used was 3% non-fat dry milk in TBST. Detection was with a ECL Enhanced Kit (RM00021). Exposure time: 3min.
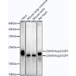
Western Blot - Anti-p21 Antibody [ARC51040] (A307748)
Western blot analysis of extracts of various cell lines, using Anti-p21 Antibody [ARC51040] (A307748) at 1:1,000 dilution. The secondary antibody was Goat Anti-Rabbit IgG H&L Antibody (HRP) at 1:10,000 dilution. Lysates/proteins were present at 25µg per lane. The blocking buffer used was 3% non-fat dry milk in TBST. Detection was with a ECL Enhanced Kit (RM00021). Exposure time: 90s.
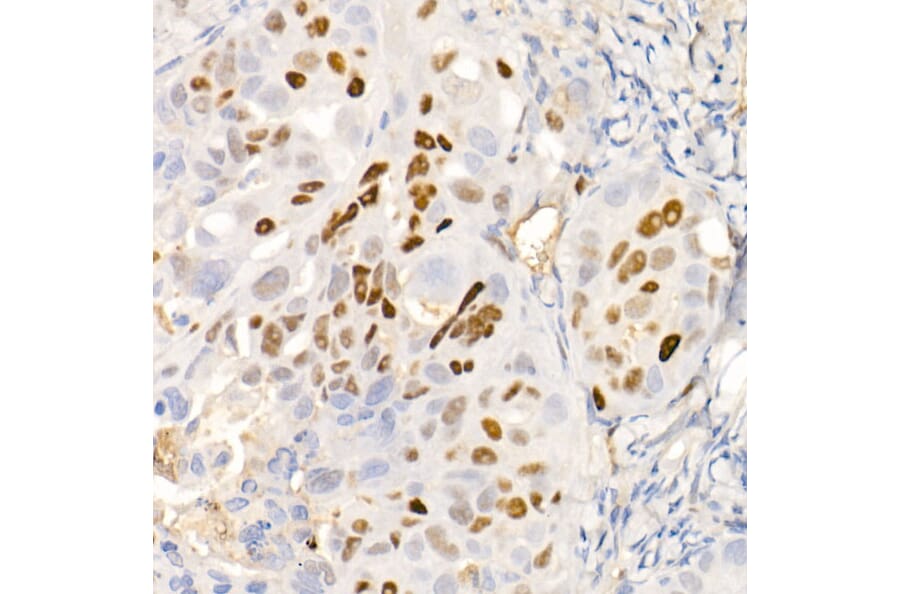
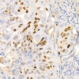
Immunohistochemistry analysis of paraffin-embedded human colon carcinoma tissue using Anti-p21 Antibody [ARC51040] (A307748) at a dilution of 1:100 (40x lens). Perform high pressure antigen retrieval with 10 mM citrate buffer pH 6.0 before commencing with IHC staining protocol.
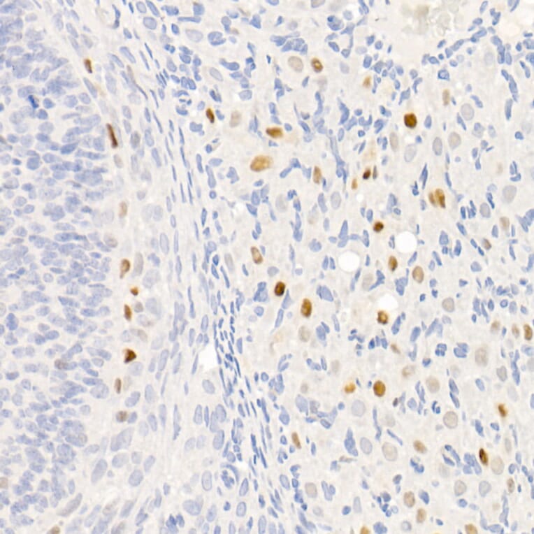
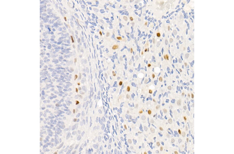
Immunohistochemistry analysis of paraffin-embedded human liver cancer using Anti-p21 Antibody [ARC51040] (A307748) at a dilution of 1:100 (40x lens). Perform high pressure antigen retrieval with 10 mM citrate buffer pH 6.0 before commencing with IHC staining protocol.
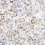
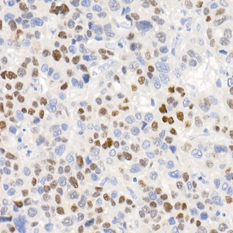
Immunohistochemistry analysis of paraffin-embedded mouse liver using Anti-p21 Antibody [ARC51040] (A307748) at a dilution of 1:100 (40x lens). Perform high pressure antigen retrieval with 10 mM citrate buffer pH 6.0 before commencing with IHC staining protocol.
Immunohistochemistry analysis of paraffin-embedded rat liver using Anti-p21 Antibody [ARC51040] (A307748) at a dilution of 1:100 (40x lens). Perform high pressure antigen retrieval with 10 mM citrate buffer pH 6.0 before commencing with IHC staining protocol.
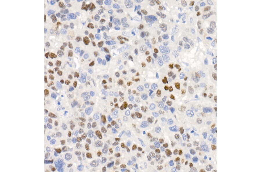
Immunohistochemistry analysis of paraffin-embedded rat ovary using Anti-p21 Antibody [ARC51040] (A307748) at a dilution of 1:100 (40x lens). Perform high pressure antigen retrieval with 10 mM citrate buffer pH 6.0 before commencing with IHC staining protocol.