ISO 9001:2015 Certified
Live Customer Support
4.5/5 on Trustpilot
100% Quality Guarantee

Anti-p27 KIP 1 Antibody (A89143)

This product is discontinued

Anti-p27 KIP 1 Antibody (A89143) has been discontinued and is no longer available.

View all Primary Antibodies.

Name
Anti-p27 KIP 1 Antibody
Description
Rabbit polyclonal antibody to p27 KIP 1.
Applications
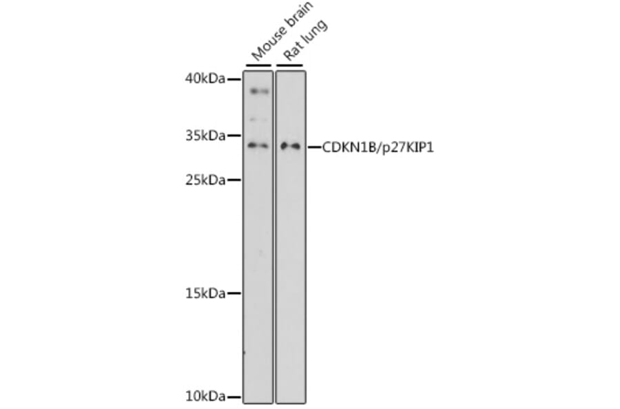
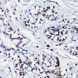
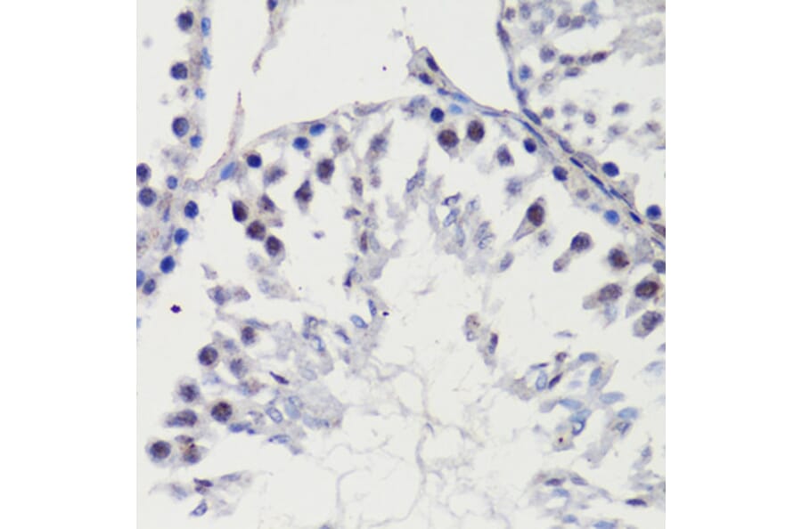
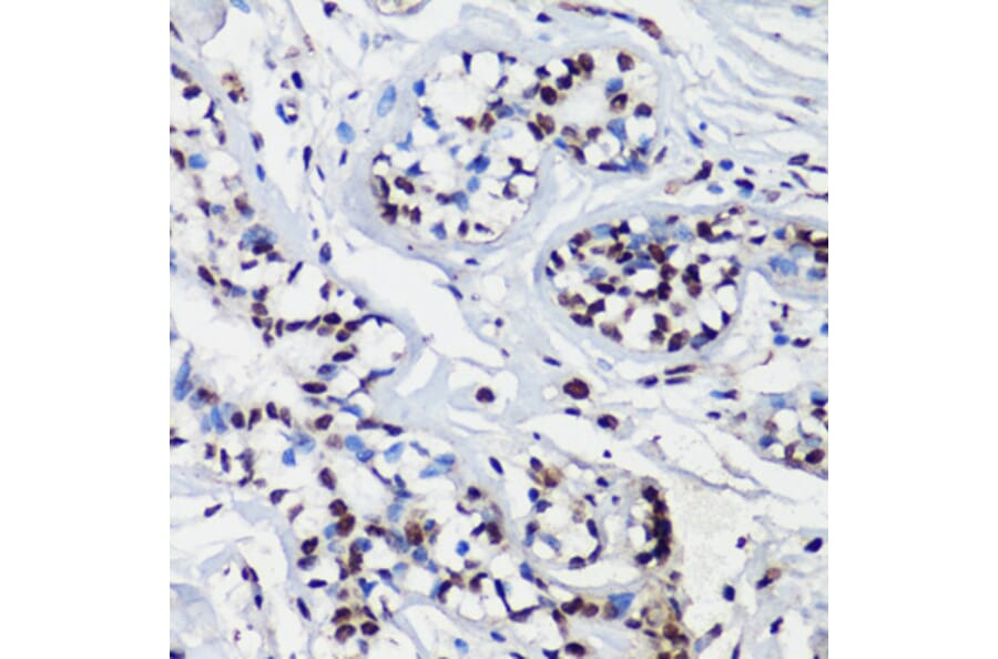
WB, IHC, ICC/IF
Dilutions
WB: 1:500-1:2,000, IHC: 1:50-1:100, ICC/IF: 1:50-1:200
Reactivity
Human, Mouse, Rat
Immunogen
A synthetic peptide corresponding to a sequence within amino acids 1-100 of human CDKN1B/p27KIP1 (NP_004055.1).
Sequence
MSNVRVSNGSPSLERMDARQAEHPKPSACRNLFGPVDHEELTRDLEKHCRDMEEASQRKWNFDFQNHKPLEGKYEWQEVEKGSLPEFYYRPPRPPKGACK
Host
Rabbit
Clonality
Polyclonal
Isotype
IgG
Conjugate

Unconjugated

Purification
Affinity purification.
Molecular Weight
30 kDa
Product Form
Liquid
Formulation
Supplied in Phosphate Buffered Saline, pH 7.3, with 50% Glycerol and 0.01% Thiomersal.
Storage
Shipped at 4°C. Upon delivery aliquot and store at -20°C. Avoid freeze / thaw cycles.
Synonyms
AA408329, AI843786, Cdki1b, CDKN 1B, CDKN 4, CDKN1B, CDKN4, CDN1B_HUMAN, Cyclin Dependent Kinase Inhibitor 1B, Cyclin dependent kinase inhibitor p27, Cyclin-dependent kinase inhibitor 1B, Cyclin-dependent kinase inhibitor 1B (p27, Kip1), Cyclin-dependent kinase inhibitor p27, Cyclin-dependent kinase inhibitor p27 Kip1, KIP 1, KIP1, MEN1B, MEN4, OTTHUMP00000195098, OTTHUMP00000195099, p27, p27 Kip1, P27-like cyclin-dependent kinase inhibitor, p27Kip1
Disclaimer
This product is for research use only. It is not intended for diagnostic or therapeutic use.

Alternative products to Anti-p27 KIP 1 Antibody (A89143)