ISO 9001:2015 Certified
Live Customer Support
4.5/5 on Trustpilot
100% Quality Guarantee

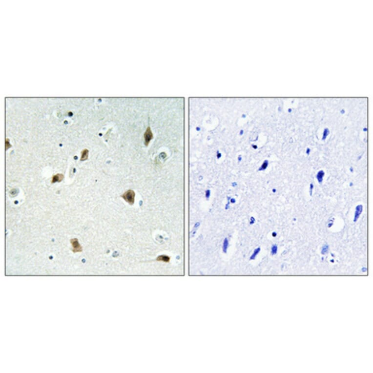
Anti-p27 Kip1 Antibody (A99752)

This product is discontinued

Anti-p27 Kip1 Antibody (A99752) has been discontinued and is no longer available.

View all Primary Antibodies.

Name
Anti-p27 Kip1 Antibody
Description
Rabbit polyclonal antibody to p27 Kip1.
Applications
IHC, ELISA
Dilutions
IHC: 1:50-1:100, ELISA: 1:10000
Reactivity
Human
Immunogen
Synthetic peptide derived from human p27 Kip1 (amino acids 123-172).
Host
Rabbit
Clonality
Polyclonal
Isotype
IgG
Conjugate

Unconjugated

Purification
Purified from rabbit serum by antigen affinity chromatography using the immunizing peptide.
Molecular Weight
22kDa
Product Form
Liquid
Formulation
Supplied in Phosphate Buffered Saline (without Mg2+ and Ca2+), pH 7.4, with 150mM NaCl, 0.02% Sodium Azide, and 50% Glycerol.
Storage
Shipped at 4°C. Upon delivery aliquot and store at -20°C. Avoid freeze / thaw cycles.
Synonyms
AA408329, AI843786, Cdki1b, CDKN 1B, CDKN 4, CDKN1B, CDKN4, CDN1B_HUMAN, Cyclin Dependent Kinase Inhibitor 1B, Cyclin dependent kinase inhibitor p27, Cyclin-dependent kinase inhibitor 1B, Cyclin-dependent kinase inhibitor 1B (p27, Kip1), Cyclin-dependent kinase inhibitor p27, Cyclin-dependent kinase inhibitor p27 Kip1, KIP 1, KIP1, MEN1B, MEN4, OTTHUMP00000195098, OTTHUMP00000195099, p27, p27 Kip1, P27-like cyclin-dependent kinase inhibitor, p27Kip1
Disclaimer
This product is for research use only. It is not intended for diagnostic or therapeutic use.

Alternative products to Anti-p27 Kip1 Antibody (A99752)