ISO 9001:2015 Certified
Live Customer Support
4.5/5 on Trustpilot
100% Quality Guarantee

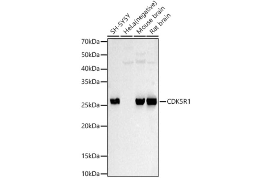
Anti-p35 Antibody (A87634)

Rabbit polyclonal antibody to p35 for WB and ICC/IF.

Shipping Information

$40
Dispatched from St. Louis, MO.
Lead Time: 7-10 business days.
Name
Anti-p35 Antibody
Description
Rabbit polyclonal antibody to p35.
Applications
WB, ICC/IF
Dilutions
WB: 1:500-1:1,000, ICC/IF: 1:50-1:200
Reactivity
Human, Mouse, Rat
Immunogen
Recombinant fusion protein containing a sequence corresponding to amino acids 99-307 of human CDK5R1 (NP_003876.1).
Sequence
AQPPPAQPPAPPASQLSGSQTGGSSSVKKAPHPAVTSAGTPKRVIVQASTSELLRCLGEFLCRRCYRLKHLSPTDPVLWLRSVDRSLLLQGWQDQGFITPANVVFLYMLCRDVISSEVGSDHELQAVLLTCLYLSYSYMGNEISYPLKPFLVESCKEAFWDRCLSVINLMSSKMLQINADPHYFTQVFSDLKNESGQEDKKRLLLGLDR
Host
Rabbit
Clonality
Polyclonal
Isotype
IgG
Conjugate

Unconjugated

Purification
Affinity purification.
Concentration
Lot Specific
Molecular Weight
25 kDa
Product Form
Liquid
Formulation
Supplied in Phosphate Buffered Saline, pH 7.3, with 50% Glycerol and 0.05% Proclin 300.
Storage
Shipped at 4°C. Upon delivery aliquot and store at -20°C. Avoid freeze/thaw cycles.
Synonyms
CDK5 activator 1, CDK5R, CDK5R1, Cyclin-dependent kinase 5 activator 1, Cyclin-dependent kinase 5 regulatory subunit 1, NCK5A, TPKII regulatory subunit
Disclaimer
This product is for research use only. It is not intended for diagnostic or therapeutic use.
Publishing research using Anti-p35 Antibody (A87634)? Please let us know so that we can list the citation on this page.

Alternative products to Anti-p35 Antibody (A87634)

Proteins predicted to interact with p35

Predicted protein interactions based upon String database. Revelancy score correlates with probability of interaction.
99.9% Relevancy Score
96.9% Relevancy Score
94.9% Relevancy Score
91.4% Relevancy Score
85.8% Relevancy Score
83% Relevancy Score
82.2% Relevancy Score
79.8% Relevancy Score
79.6% Relevancy Score