Western Blot - Anti-p38 alpha / MAPK14 Antibody (A13090)
Western blot analysis of extracts of various cell lines, using Anti-p38 alpha / MAPK14 Antibody (A13090) at 1:3,000 dilution. The secondary antibody was Goat Anti-Rabbit IgG H&L Antibody (HRP) at 1:10,000 dilution. Lysates/proteins were present at 25µg per lane. The blocking buffer used was 3% non-fat dry milk in TBST. Detection was with a ECL Basic Kit. Exposure time: 40s.
Western Blot - Anti-p38 alpha / MAPK14 Antibody (A13090)
Western blot analysis of extracts of various cell lines, using Anti-p38 alpha / MAPK14 Antibody (A13090). The secondary antibody was Goat Anti-Rabbit IgG H&L Antibody (HRP) at 1:10,000 dilution. Lysates/proteins were present at 25µg per lane. The blocking buffer used was 3% non-fat dry milk in TBST.
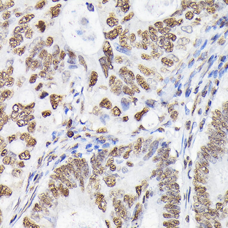
Immunohistochemistry analysis of paraffin-embedded human colon carcinoma tissue using Anti-p38 alpha / MAPK14 Antibody (A13090) at a dilution of 1:100 (40x lens). Perform high pressure antigen retrieval with 10 mM citrate buffer pH 6.0 before commencing with IHC staining protocol.
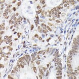
Immunohistochemistry analysis of paraffin-embedded mouse liver using Anti-p38 alpha / MAPK14 Antibody (A13090) at a dilution of 1:100 (40x lens). Perform high pressure antigen retrieval with 10 mM citrate buffer pH 6.0 before commencing with IHC staining protocol.
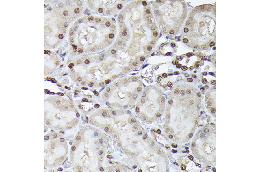
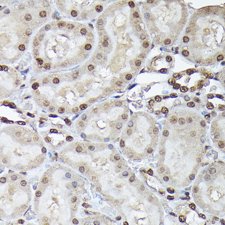
Immunohistochemistry analysis of paraffin-embedded rat kidney using Anti-p38 alpha / MAPK14 Antibody (A13090) at a dilution of 1:100 (40x lens). Perform high pressure antigen retrieval with 10 mM citrate buffer pH 6.0 before commencing with IHC staining protocol.