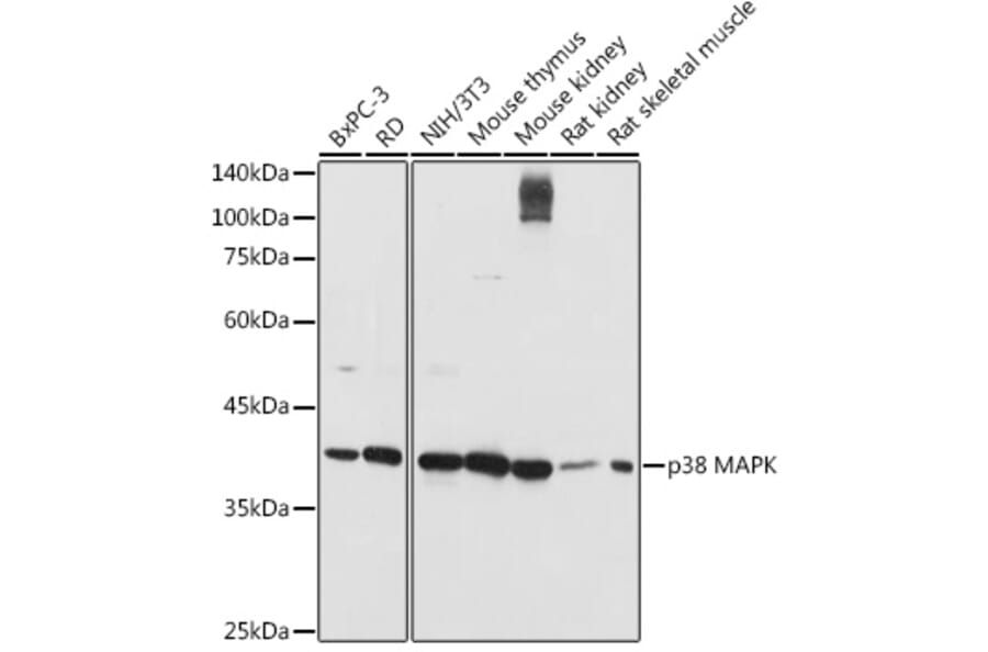
Western Blot - Anti-p38 alpha / MAPK14 Antibody (A80496)
Western blot analysis of extracts of various cell lines, using Anti-p38 alpha / MAPK14 Antibody (A80496) at 1:1,000 dilution. The secondary antibody was Goat Anti-Rabbit IgG H&L Antibody (HRP) at 1:10,000 dilution. Lysates/proteins were present at 25µg per lane. The blocking buffer used was 3% non-fat dry milk in TBST. Detection was with a ECL Basic Kit. Exposure time: 1s.