ISO 9001:2015 Certified
Live Customer Support
4.5/5 on Trustpilot
100% Quality Guarantee

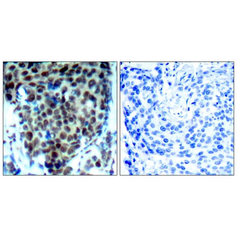
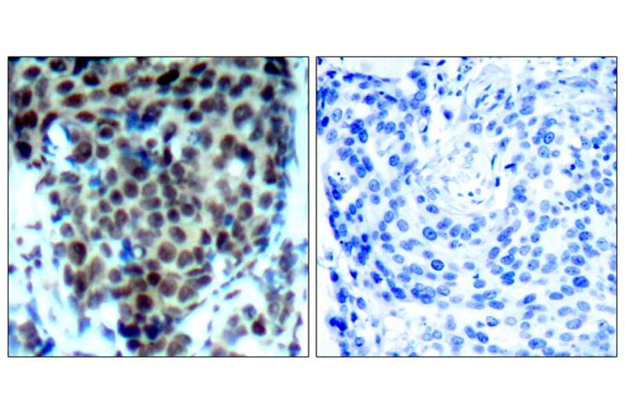
Anti-P38 MAPK (Phospho-Thr180) Antibody (A50383)

$275

Rabbit polyclonal antibody to P38 MAPK (Phospho-Thr180) for WB and IHC.

Shipping Information

$40
Dispatched from St. Louis, MO.
Lead Time: 6-9 business days.
Name
Anti-P38 MAPK (Phospho-Thr180) Antibody
Description
Rabbit polyclonal antibody to P38 MAPK (Phospho-Thr180)
Specificity
The antibody detects endogenous level of P38 MAPK only when phosphorylated at Threonine 180.
Applications
WB, IHC
Dilutions
Western blotting: 1:500~1:1000 Immunohistochemistry: 1:50~1:100
Reactivity
Human, Mouse, Rat
Immunogen
Peptide sequence around phosphorylation site of threonine 180 (E-M-T(p)-G-Y ) derived from Human P38MAPK.
Host
Rabbit
Clonality
Polyclonal
Conjugate

Unconjugated

Purification
Antibodies were produced by immunizing rabbits with synthetic phosphopeptide and KLH conjugates. Antibodies were purified by affinity-chromatography using epitope-specific phosphopeptide. Non-phospho specific antibodies were removed by chromatogramphy using non-phosphopeptide.
Concentration
1 mg/ml
Predicted MW
43kd
Formulation
Supplied at 1.0mg / mL in phosphate buffered saline (without Mg2+ and Ca2+), pH 7.4, 150mM NaCl, 0.02% sodium azide and 50% glycerol.
Storage
Store at -20°C for long term preservation (recommended). Store at 4°C for short term use.
Synonyms
CSAID binding protein, CSAID Binding Protein 1, CSAID-binding protein, Csaids binding protein, CSBP, CSBP 1, CSBP 2, CSBP1, CSBP2, CSPB1, Cytokine suppressive anti-inflammatory drug-binding protein, EXIP, MAP kinase 14, MAP kinase MXI2, MAP kinase p38 alpha, MAPK 14, MAPK14, MAX interacting protein 2, MAX-interacting protein 2, Mitogen Activated Protein Kinase 14, Mitogen activated protein kinase p38 alpha, Mitogen-activated protein kinase 14, Mitogen-activated protein kinase p38 alpha, MK14_HUMAN, Mxi 2, MXI2, p38, p38 ALPHA, p38 MAP kinase, p38 mitogen activated protein kinase, p38ALPHA, p38alpha Exip, PRKM14, PRKM15, RK, SAPK2A
Disclaimer
This product is for research use only. It is not intended for diagnostic or therapeutic use.
Publishing research using Anti-P38 MAPK (Phospho-Thr180) Antibody (A50383)? Please let us know so that we can list the citation on this page.