ISO 9001:2015 Certified
Live Customer Support
4.5/5 on Trustpilot
100% Quality Guarantee

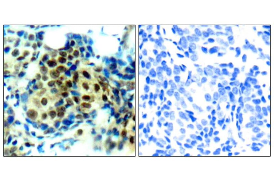
Anti-p44 / 42 MAP Kinase (Phospho-Thr202) Antibody (A50124)

$290

Rabbit polyclonal antibody to p44 / 42 MAP Kinase (Phospho-Thr202) for WB, IHC and IF.

Shipping Information

$40
Dispatched from St. Louis, MO.
Lead Time: 6-9 business days.
Name
Anti-p44 / 42 MAP Kinase (Phospho-Thr202) Antibody
Description
Rabbit polyclonal antibody to p44 / 42 MAP Kinase (Phospho-Thr202)
Specificity
The antibody detects endogenous level of p44 / 42 MAP Kinase only when phosphorylated at threonine 202.
Applications
WB, IHC, IF
Dilutions
Western blotting: 1:500~1:1000 Immunohistochemistry: 1:50~1:100 Immunofluorescence: 1:100~1:200
Reactivity
Human, Mouse, Rat
Immunogen
Peptide sequence around phosphorylation site of threonine 202 (F-L-T(p)-E-Y) derived from Human p44 / 42 MAP Kinase.
Host
Rabbit
Clonality
Polyclonal
Conjugate

Unconjugated

Purification
Antibodies were produced by immunizing rabbits with synthetic phosphopeptide and KLH conjugates. Antibodies were purified by affinity-chromatography using epitope-specific phosphopeptide. Non-phospho specific antibodies were removed by chromatogramphy using non-phosphopeptide.
Concentration
1 mg/ml
Predicted MW
42 44 kd
Formulation
Supplied at 1.0mg / mL in phosphate buffered saline (without Mg2+ and Ca2+), pH 7.4, 150mM NaCl, 0.02% sodium azide and 50% glycerol.
Storage
Store at -20°C for long term preservation (recommended). Store at 4°C for short term use.
Synonyms
Interferon-induced protein 44, Microtubule-associated protein 44, MTAP44
Disclaimer
This product is for research use only. It is not intended for diagnostic or therapeutic use.
Publishing research using Anti-p44 / 42 MAP Kinase (Phospho-Thr202) Antibody (A50124)? Please let us know so that we can list the citation on this page.

Alternative products to Anti-p44 / 42 MAP Kinase (Phospho-Thr202) Antibody (A50124)

Proteins predicted to interact with IFI44

Predicted protein interactions based upon String database. Revelancy score correlates with probability of interaction.
99.9% Relevancy Score
98.4% Relevancy Score
98.3% Relevancy Score
97.4% Relevancy Score
97% Relevancy Score
96.7% Relevancy Score
96.4% Relevancy Score
96.4% Relevancy Score
96.1% Relevancy Score