Unconjugated
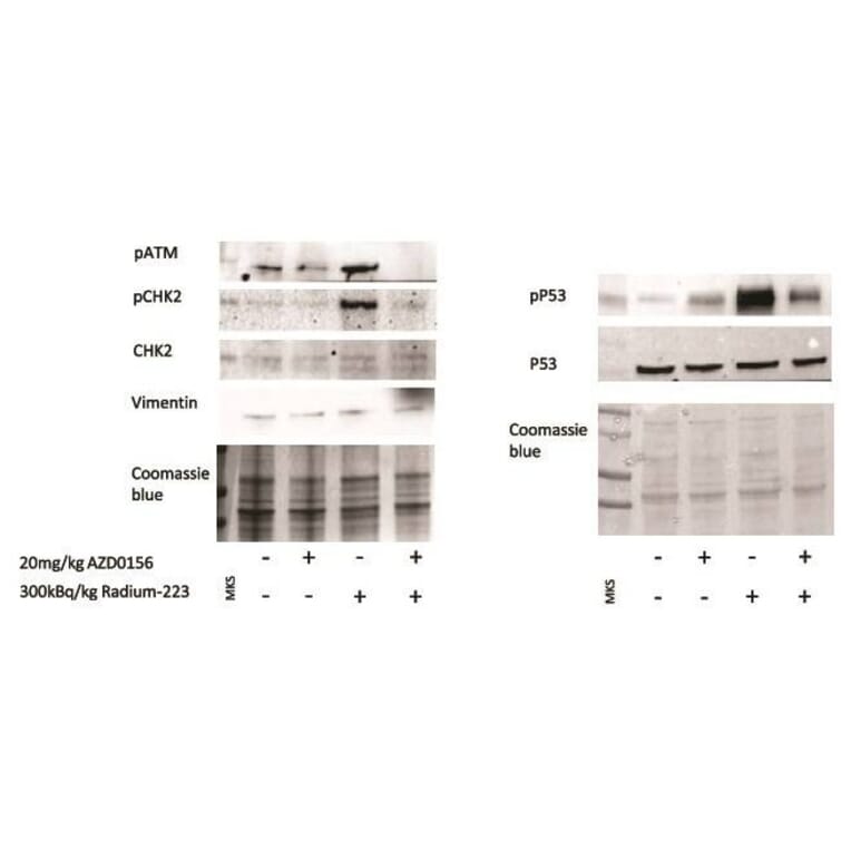
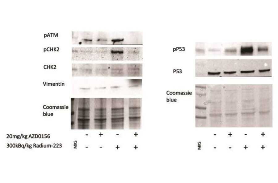
Prostate cancer bone metastases are commonly treated with radium-223 (Ra-223); however, patients ultimately experience relapse. These metastases are currently incurable and there is an unmet need to improve the efficacy of Ra-223 treatment regimens. Ra-223 causes DNA strand breaks within tumor cells that are in close proximity to bone. We hypothesized that relapse is partly due to Ra-223-induced activation of DNA damage-response pathways; therefore, inhibiting DNA repair pathways with ATM inhibitors (ATMi), currently in clinical trials for other cancers, would radiosensitize bone metastases, increasing anti-tumor efficacy of Ra-223. To test this hypothesis, 2 mouse models of prostate cancer bone metastasis were administered 20 mg/kg/d ATMi on day 2, 7 or 10 and Ra-223 treatment (50 kBq/kg/wk or 300 kBq/kg/wk) commenced 24 h after first ATMi treatment. The 300 kBq/kg Ra-223 reduced PC3 prostate cancer bone metastases by 60.9%-87.4% compared with placebo. Radiosensitization with either the ATMi AZD0156 or AZD1390 prior to 300 kBq/kg Ra-223 treatment further reduced bone metastasis by 94.1% and 88.7%, respectively, whereas combining AZD1390 with 50 kBq/kg synergistically reduced tumor size and the number of mice with tumors in bone by 50% compared with Ra-223 alone. Treating early-stage RM1 prostate cancer bone metastasis with a combination of AZD1390 and 50 kBq/kg Ra-223 had no additional benefits compared with Ra-223 alone. However, delaying treatment to mimic overt bone metastases resulted in a 50% reduction in bone metastasis when ATMi was added prior to Ra-223 compared with Ra-223 alone. Notably, adding ATMi prior to Ra-223 did not exacerbate Ra-223-induced adverse effects on the bone. Instead, this treatment combination increased subsets of anti-tumor immune cells. Taken together, our data suggest that ATMi may be an effective radiosensitizer for increasing efficacy of Ra-223 in prostate cancer bone metastases, reducing Ra-223-induced adverse effects on bone.