ISO 9001:2015 Certified
Live Customer Support
4.5/5 on Trustpilot
100% Quality Guarantee

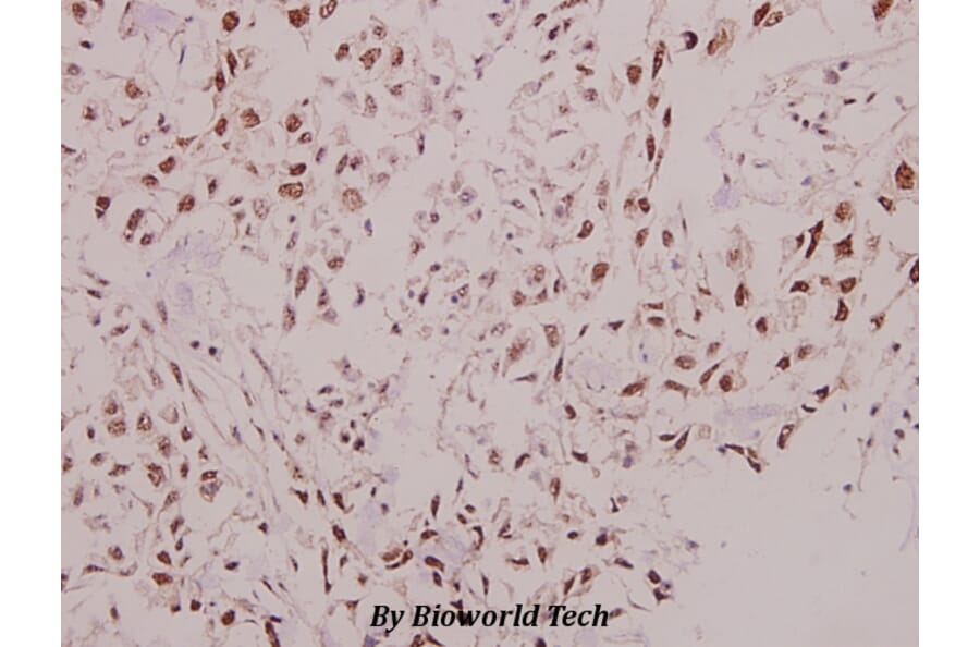
Anti-p57 (D38) Antibody (A32187)

This product is discontinued

Anti-p57 (D38) Antibody (A32187) has been discontinued and is no longer available.

View all available products.

Name
Anti-p57 (D38) Antibody
Description
Rabbit polyclonal antibody to p57 (D38)
Specificity
p57 (D38) pAb detects endogenous levels of p57 protein.
Applications
WB, IHC
Reactivity
Human
Immunogen
Synthetic peptide, corresponding to amino acids N-terminus of Human CDKN1C.
Host
Rabbit
Clonality
Polyclonal
Conjugate

Unconjugated

Molecular Weight
~ 57 kDa
Purity
The antibody was affinity-purified from rabbit antiserum by affinity-chromatography using epitope-specific immunogen and the purity is > 95% (by SDS-PAGE).
Product Form
1 mg/ml in Phosphate buffered saline (PBS) with 0.05% sodium azide, approx. pH 7.2.
Disclaimer
This product is for research use only. It is not intended for diagnostic or therapeutic use.