ISO 9001:2015 Certified
Live Customer Support
4.5/5 on Trustpilot
100% Quality Guarantee

Recombinant Anti-p57 Kip2 Antibody [KIP2/7083R] - BSA and Azide free (A278541)

Recombinant rabbit monoclonal [KIP2/7083R] antibody to p57 Kip2 for IHC-P.

Alternative Formats and ConjugatesAlternative Formats

Shipping Information

$40
Dispatched from St. Louis, MO.
Lead Time: 5-8 business days.
Name
Anti-p57 Kip2 Antibody [KIP2/7083R] - BSA and Azide free
Description
Recombinant rabbit monoclonal [KIP2/7083R] antibody to p57 Kip2.
Specificity
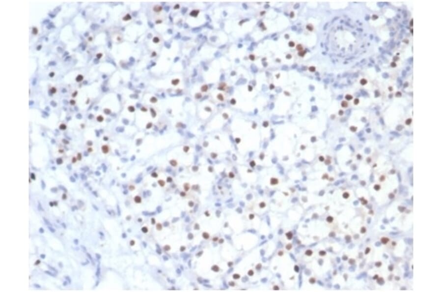
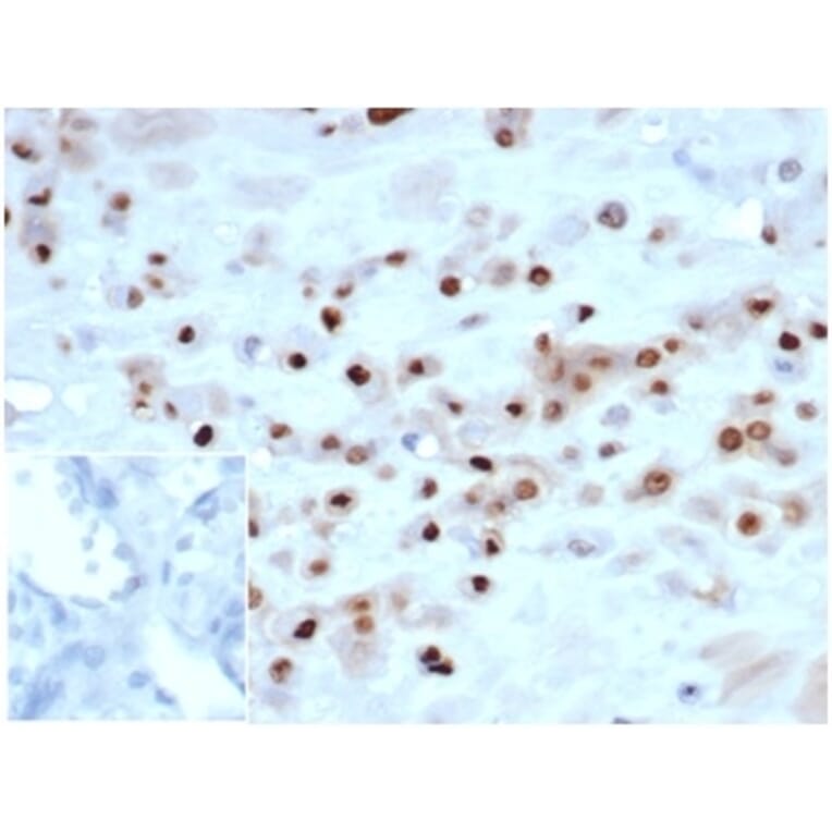
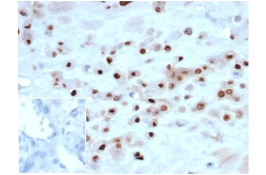
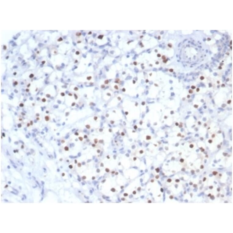
This antibody recognizes a protein of 57kDa, identified as p57Kip2. It shows no cross-reaction with p27Kip1. p57Kip2 is a potent tight-binding inhibitor of several G1 cyclin complexes, and is a negative regulator of cell proliferation. Anti-p57 has been used as an aide in identification of complete hydatidiform mole (CHM) (no nuclear labeling of cytotrophoblasts and stromal cells) from partial hydatidiform mole (PHM) in which both cytotrophoblasts and stromal cells stain. The histological differentiation of complete mole, partial mole, and hydropic spontaneous abortion is problematic. Most complete hydatidiform moles are diploid, whereas most partial moles are triploid. Ploidy studies will identify partial moles, but will not differentiate complete moles from non-molar gestations. Complete moles carry a high risk of persistent disease and choriocarcinoma, while partial moles have a very low risk. In normal placenta, many cytotrophoblast nuclei and stromal cells are labeled with this antibody. Similar findings apply to PHM and hydropic abortus tissues. Intervillous trophoblastic islands (IVTIs) demonstrate nuclear labeling in all three entities and serve as an internal control.
Applications
IHC-P
Dilutions
IHC-P: 0.25-0.5 µg/ml
Reactivity
Human, Mouse
Immunogen
Recombinant full-length human p57 Kip2 protein.
Host
Rabbit
Clonality
Monoclonal
Clone ID
KIP2/7083R
Isotype
IgG
Conjugate

Unconjugated

Purification
Protein A/G chromatography.
Concentration
1 mg/ml
Molecular Weight
57 kDa
Product Form
Liquid
Formulation
Supplied in 10mM Phosphate Buffered Saline; without Sodium Azide and carrier free.
Storage
Shipped at 4°C. Upon delivery aliquot and store at -20°C. Avoid freeze / thaw cycles.
General Notes
This monoclonal antibody is also available in a different formulation with BSA and Sodium Azide - Anti-p57 Kip2 Antibody [KIP2/7083R] (A277953).
Synonyms
CDKN1C, Cyclin-dependent kinase inhibitor 1C, Cyclin-dependent kinase inhibitor p57, KIP2, p57Kip2
Disclaimer
This product is for research use only. It is not intended for diagnostic or therapeutic use.
Publishing research using Recombinant Anti-p57 Kip2 Antibody [KIP2/7083R] - BSA and Azide free (A278541)? Please let us know so that we can list the citation on this page.

Alternative products to Anti-p57 Kip2 Antibody [KIP2/7083R] - BSA and Azide free (A278541)

Proteins predicted to interact with p57 Kip2

Predicted protein interactions based upon String database. Revelancy score correlates with probability of interaction.
99.9% Relevancy Score
99.8% Relevancy Score
99.5% Relevancy Score
99.4% Relevancy Score
99.4% Relevancy Score
99.4% Relevancy Score
99.2% Relevancy Score
98.8% Relevancy Score
97.8% Relevancy Score