ISO 9001:2015 Certified
Live Customer Support
4.5/5 on Trustpilot
100% Quality Guarantee

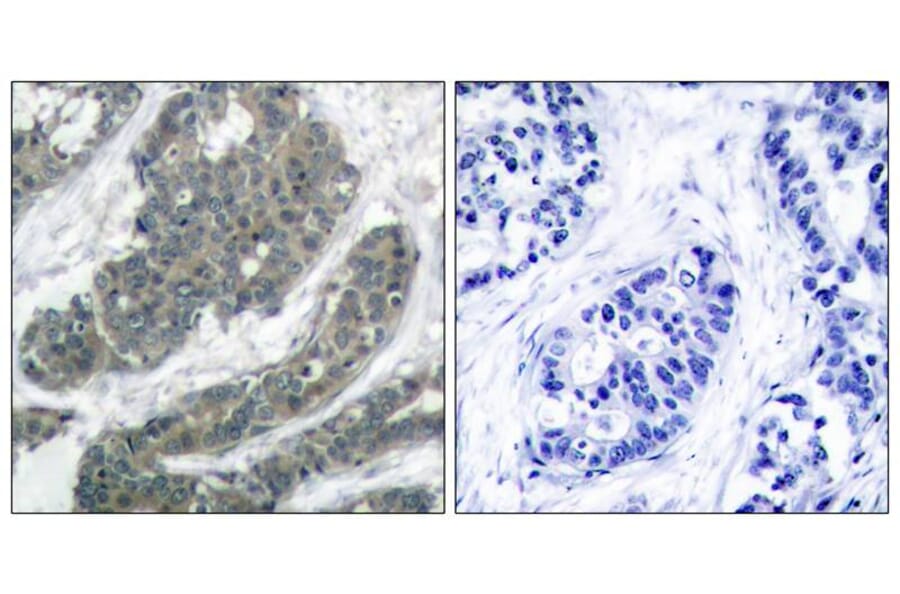
Anti-p62Dok (Ab-398) Antibody (A34647)

$275

Rabbit polyclonal antibody to p62Dok (Ab-398) for WB, IHC and IF.

Shipping Information

$40
Dispatched from St. Louis, MO.
Lead Time: 6-9 business days.
Name
Anti-p62Dok (Ab-398) Antibody
Description
Rabbit polyclonal antibody to p62Dok (Ab-398)
Specificity
The antibody detects endogenous level of total p62Dok protein.
Applications
WB, IHC, IF
Reactivity
Human
Immunogen
Peptide sequence around aa.396~400 (P-I-Y-D-E) derived from Human p62Dok.
Host
Rabbit
Clonality
Polyclonal
Conjugate

Unconjugated

Purification
Antibodies were produced by immunizing rabbits with synthetic peptide and KLH conjugates. Antibodies were purified by affinity-chromatography using epitope-specific peptide.
Concentration
1 mg/ml
Formulation
Supplied at 1.0mg / mL in phosphate buffered saline (without Mg2+ and Ca2+), pH 7.4, 150mM NaCl, 0.02% sodium azide and 50% glycerol.
Storage
Store at -20°C for long term preservation (recommended). Store at 4°C for short term use.
Synonyms
Docking protein 1, Docking protein 1 62kD, DOK 1, DOK1, DOK1_HUMAN, Downstream of tyrosine kinase 1, p62(dok), pp62
Disclaimer
This product is for research use only. It is not intended for diagnostic or therapeutic use.
Publishing research using Anti-p62Dok (Ab-398) Antibody (A34647)? Please let us know so that we can list the citation on this page.