ISO 9001:2015 Certified
Live Customer Support
4.5/5 on Trustpilot
100% Quality Guarantee

Recombinant Anti-p63 Antibody [TP63/4379R] - BSA and Azide free (A278670)

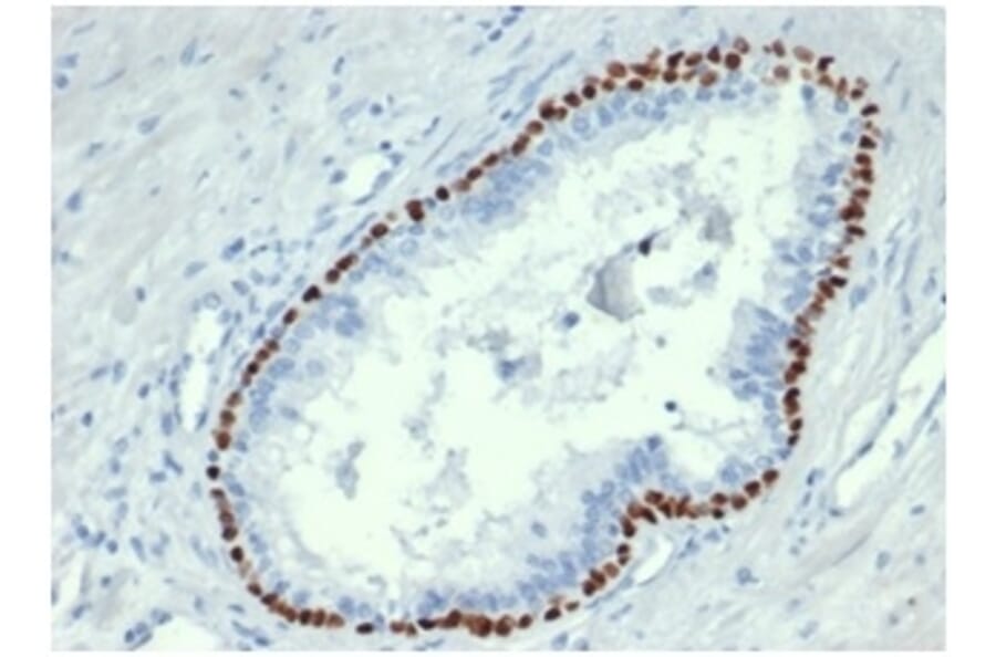
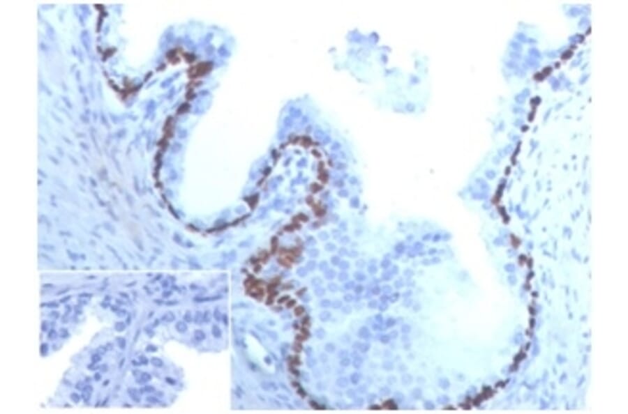
Recombinant rabbit monoclonal [TP63/4379R] antibody to p63 for IHC-P.

Alternative Formats and ConjugatesAlternative Formats

Shipping Information

$40
Dispatched from St. Louis, MO.
Lead Time: 5-8 business days.
Name
Anti-p63 Antibody [TP63/4379R] - BSA and Azide free
Description
Recombinant rabbit monoclonal [TP63/4379R] antibody to p63.
Specificity
p63 is a homolog of the tumor suppressor p53. It is identified in basal cells in the epithelial layers of a variety of tissues, including epidermis, cervix, urothelium, breast and prostate. p63 was detected in nuclei of the basal epithelium in normal prostate glands; however, it was not expressed in malignant tumors of the prostate. As a result, p63 has been reported as a useful marker for differentiating benign from malignant lesions in the prostate, particularly when used in combination with markers of high molecular weight cytokeratins and the prostate-specific marker AMACR (P504S). p63 has also been shown to be a sensitive marker for lung squamous cell carcinomas (SqCC), with a sensitivity of ~90%. Specificity for lung SqCC, vs. lung adenocarcinoma (LADC), is approximately 80%. In breast tissue, p63 has been identified in myoepithelial cells of normal ducts.
Applications
IHC-P
Dilutions
IHC-P: 1-2 µg/ml
Reactivity
Human
Immunogen
Recombinant fragment, around amino acids 600-680, of human p63 protein. The exact sequence is proprietary.
Host
Rabbit
Clonality
Monoclonal
Clone ID
TP63/4379R
Isotype
IgG
Conjugate

Unconjugated

Purification
Protein A chromatography.
Concentration
1 mg/ml
Molecular Weight
63 kDa
Product Form
Liquid
Formulation
Supplied in 10mM Phosphate Buffered Saline; without Sodium Azide and carrier free.
Storage
Shipped at 4°C. Upon delivery aliquot and store at -20°C. Avoid freeze / thaw cycles.
General Notes
This monoclonal antibody is also available in a different formulation with BSA and Sodium Azide - Anti-p63 Antibody [TP63/4379R] (A278082).
Synonyms
Chronic ulcerative stomatitis protein, CUSP, Keratinocyte transcription factor KET, KET, p40, p51, P73H, P73L, TP63, TP73L, Transformation-related protein 63, Tumor protein 63, Tumor protein p73-like
Disclaimer
This product is for research use only. It is not intended for diagnostic or therapeutic use.
Publishing research using Recombinant Anti-p63 Antibody [TP63/4379R] - BSA and Azide free (A278670)? Please let us know so that we can list the citation on this page.

Alternative products to Anti-p63 Antibody [TP63/4379R] - BSA and Azide free (A278670)

Proteins predicted to interact with p63

Predicted protein interactions based upon String database. Revelancy score correlates with probability of interaction.
99.7% Relevancy Score
95.3% Relevancy Score
93% Relevancy Score
93% Relevancy Score
90% Relevancy Score
90% Relevancy Score
89.4% Relevancy Score
86.1% Relevancy Score