ISO 9001:2015 Certified
Live Customer Support
4.5/5 on Trustpilot
100% Quality Guarantee

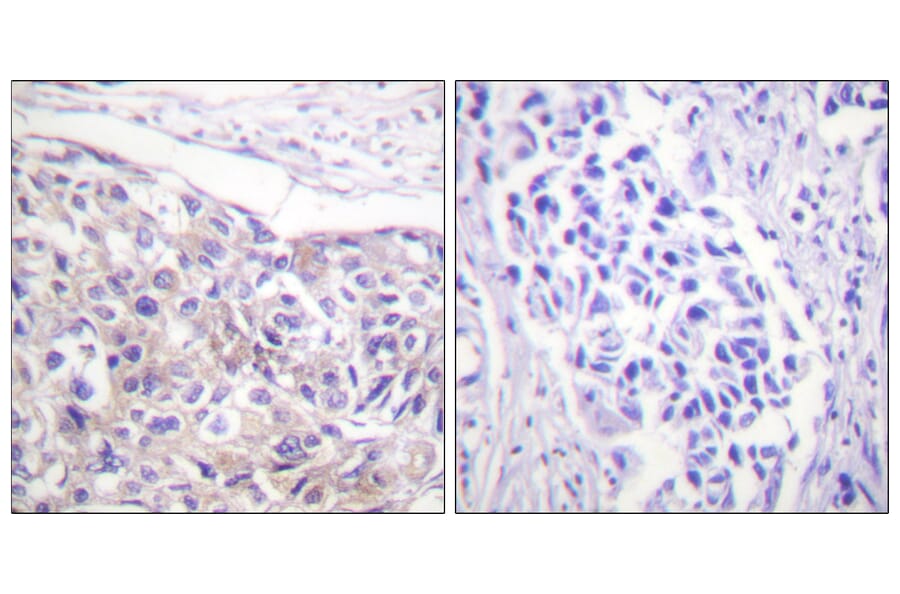
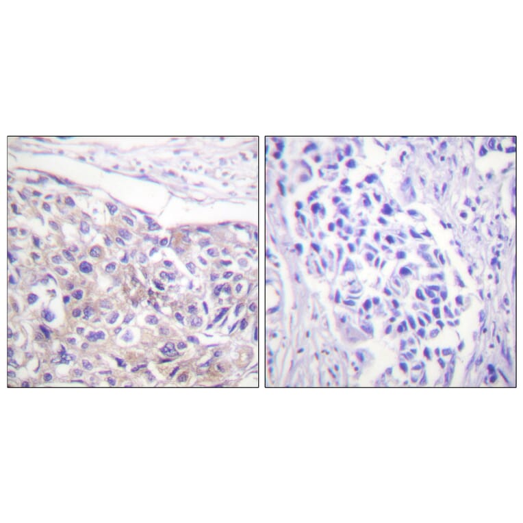
Anti-p90 RSK (phospho Thr573) Antibody (A94906)

Rabbit polyclonal antibody to p90 RSK (phospho Thr573) for WB, IHC, IF and ELISA.

Shipping Information

$40
Dispatched from St. Louis, MO.
Lead Time: 6-8 business days.
Name
Anti-p90 RSK (phospho Thr573) Antibody
Description
Rabbit polyclonal antibody to p90 RSK (phospho Thr573).
Specificity
This antibody detects endogenous levels of p90 RSK only when phosphorylated at Thr573.
Applications
WB, IHC, IF, ELISA
Dilutions
WB: 1:500~1:1000, ELISA: 1:20000
Reactivity
Human, Mouse, Rat
Cross Reactivity
No reported cross-reactivity.
Immunogen
Synthetic peptide derived from human p90 RSK around the phosphorylation site of Thr573 (amino acids 539-588).
Host
Rabbit
Clonality
Polyclonal
Isotype
IgG
Conjugate

Unconjugated

Purification
Purified from rabbit serum by antigen affinity chromatography using the immunizing phospho peptide.
Molecular Weight
82kDa
Product Form
Liquid
Formulation
Supplied in Phosphate Buffered Saline (without Mg2+ and Ca2+), pH 7.4, with 150mM NaCl, 0.02% Sodium Azide, and 50% Glycerol.
Storage
Shipped at 4°C. Upon delivery aliquot and store at -20°C. Avoid freeze / thaw cycles.
Synonyms
90 kDa ribosomal protein S6 kinase 1, MAP kinase-activated protein kinase 1a, MAPK-activated protein kinase 1a, MAPKAP kinase 1a, MAPKAPK-1a, MAPKAPK1A, p90-RSK 1, p90RSK1, p90S6K, Ribosomal protein S6 kinase alpha-1, Ribosomal S6 kinase 1, RPS6KA1, RSK-1, S6K-alpha-1
Disclaimer
This product is for research use only. It is not intended for diagnostic or therapeutic use.
Publishing research using Anti-p90 RSK (phospho Thr573) Antibody (A94906)? Please let us know so that we can list the citation on this page.

Alternative products to Anti-p90 RSK (phospho Thr573) Antibody (A94906)

Proteins predicted to interact with RSK1

Predicted protein interactions based upon String database. Revelancy score correlates with probability of interaction.
99.9% Relevancy Score
99% Relevancy Score
98.8% Relevancy Score
97.5% Relevancy Score
96.9% Relevancy Score
95.6% Relevancy Score
95.2% Relevancy Score
94.6% Relevancy Score
93.5% Relevancy Score