ISO 9001:2015 Certified
Live Customer Support
4.5/5 on Trustpilot
100% Quality Guarantee

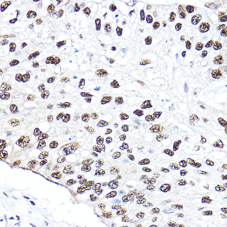
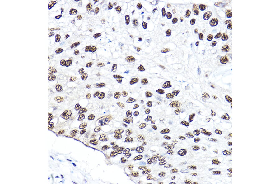
Anti-p95/NBS1 Antibody (A92797)

Rabbit polyclonal antibody to p95/NBS1 for WB and IHC.

Shipping Information

$40
Dispatched from St. Louis, MO.
Lead Time: 7-10 business days.
Name
Anti-p95/NBS1 Antibody
Description
Rabbit polyclonal antibody to p95/NBS1.
Applications
WB, IHC
Dilutions
WB: 1:500-1:1,000, IHC: 1:50-1:200
Reactivity
Human, Mouse, Rat
Immunogen
Recombinant fusion protein containing a sequence corresponding to amino acids 520-754 of human NBS1/NBN (NP_002476.2).
Sequence
NNLFTDTDLKSIVKNSASKSHAAEKLRSNKKREMDDVAIEDEVLEQLFKDTKPELEIDVKVQKQEEDVNVRKRPRMDIETNDTFSDEAVPESSKISQENEIGKKRELKEDSLWSAKEISNNDKLQDDSEMLPKKLLLTEFRSLVIKNSTSRNPSGINDDYGQLKNFKKFKKVTYPGAGKLPHIIGGSDLIAHHARKNTELEEWLRQEMEVQNQHAKEESLADDLFRYNPYLKRRR
Host
Rabbit
Clonality
Polyclonal
Isotype
IgG
Conjugate

Unconjugated

Purification
Affinity purification.
Concentration
Lot Specific
Molecular Weight
95 kDa / 70 kDa
Product Form
Liquid
Formulation
Supplied in Phosphate Buffered Saline, pH 7.3, with 50% Glycerol and 0.01% Thiomersal.
Storage
Shipped at 4°C. Upon delivery aliquot and store at -20°C. Avoid freeze/thaw cycles.
Disclaimer
This product is for research use only. It is not intended for diagnostic or therapeutic use.
Publishing research using Anti-p95/NBS1 Antibody (A92797)? Please let us know so that we can list the citation on this page.