Western blot analysis of various lysates, using Anti-polyclonal antibodyP Antibody (A91009) at 1:900 dilution. The secondary antibody was Goat Anti-Rabbit IgG H&L Antibody (HRP) at 1:10,000 dilution. Lysates/proteins were present at 25µg per lane. The blocking buffer used was 3% non-fat dry milk in TBST. Detection was with a ECL Basic Kit. Exposure time: 30s.
Immunohistochemistry analysis of paraffin-embedded rat testis using Anti-polyclonal antibodyP Antibody (A91009) at a dilution of 1:100 (40x lens). Perform microwave antigen retrieval with 10 mM PBS buffer pH 7.2 before commencing with IHC staining protocol.
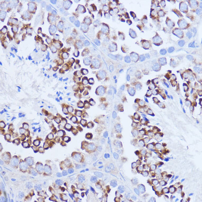
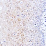
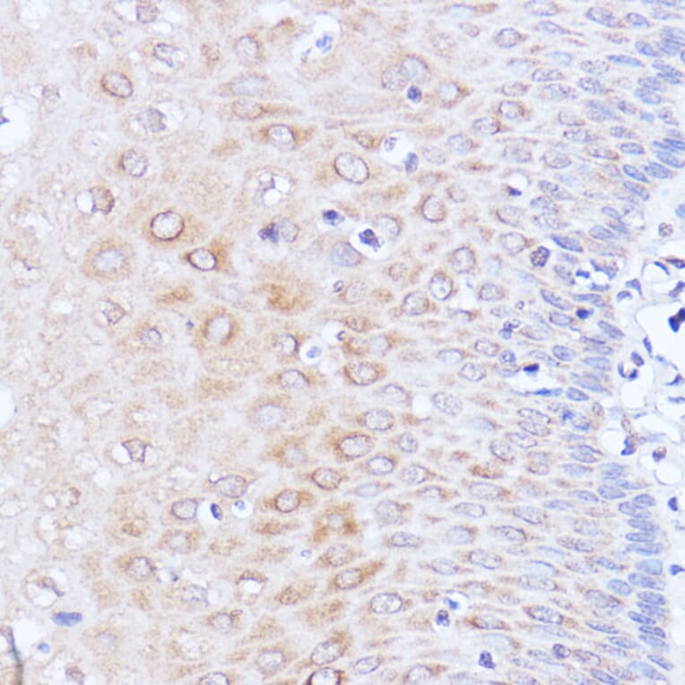
Immunohistochemistry analysis of paraffin-embedded human esophageal using Anti-polyclonal antibodyP Antibody (A91009) at a dilution of 1:100 (40x lens). Perform microwave antigen retrieval with 10 mM PBS buffer pH 7.2 before commencing with IHC staining protocol.
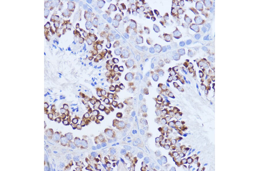
Immunohistochemistry analysis of paraffin-embedded mouse testis using Anti-polyclonal antibodyP Antibody (A91009) at a dilution of 1:100 (40x lens). Perform microwave antigen retrieval with 10 mM PBS buffer pH 7.2 before commencing with IHC staining protocol.
Immunofluorescence analysis of MCF7 cells using Anti-polyclonal antibodyP Antibody (A91009) at a dilution of 1:100 (40x lens). DAPI was used to stain the cell nuclei (blue).
Immunofluorescence analysis of NIH/3T3 cells using Anti-polyclonal antibodyP Antibody (A91009) at a dilution of 1:100 (40x lens). DAPI was used to stain the cell nuclei (blue).
Immunofluorescence analysis of PC-12 cells using Anti-polyclonal antibodyP Antibody (A91009) at a dilution of 1:100 (40x lens). DAPI was used to stain the cell nuclei (blue).
Recombinant human monoclonal antibody to PABP for use as a research grade Alextatug biosimilar for ELISA, Flow Cytometry, Functional Studies and in vivo Research.
Recombinant human monoclonal antibody to PABP for use as a research grade Alextatug biosimilar for ELISA, Flow Cytometry, Functional Studies and in vivo Research.