Western blot analysis of extracts of Raji cells, using Anti-PACAP Antibody (A88543) at 1:1,000 dilution. The secondary antibody was Goat Anti-Rabbit IgG H&L Antibody (HRP) at 1:10,000 dilution. Lysates/proteins were present at 25µg per lane. The blocking buffer used was 3% non-fat dry milk in TBST. Detection was with a ECL Basic Kit. Exposure time: 10s.
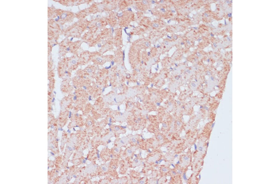
Immunohistochemistry analysis of paraffin-embedded rat heart using Anti-PACAP Antibody (A88543) at a dilution of 1:100 (40x lens). Perform microwave antigen retrieval with 10 mM PBS buffer pH 7.2 before commencing with IHC staining protocol.
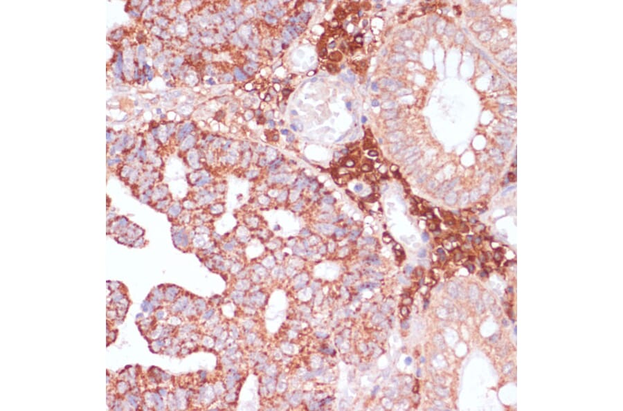
Immunohistochemistry analysis of paraffin-embedded human colon carcinoma tissue using Anti-PACAP Antibody (A88543) at a dilution of 1:100 (40x lens). Perform microwave antigen retrieval with 10 mM PBS buffer pH 7.2 before commencing with IHC staining protocol.
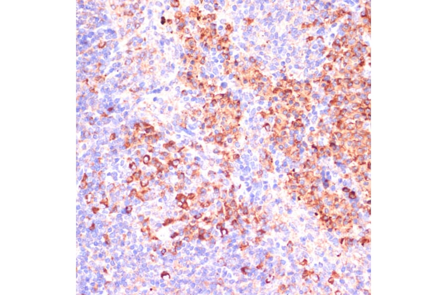
Immunohistochemistry analysis of paraffin-embedded mouse spleen using Anti-PACAP Antibody (A88543) at a dilution of 1:100 (40x lens). Perform microwave antigen retrieval with 10 mM PBS buffer pH 7.2 before commencing with IHC staining protocol.
Publishing research using Anti-PACAP Antibody (A88543)? Please let us know so that we can list the citation on this page.
Alternative products to Anti-PACAP Antibody (A88543)
Recombinant human monoclonal antibody to PACAP for use as a research grade Vipalanebart biosimilar for ELISA, Flow Cytometry, Functional Studies and in vivo Research.
Recombinant human monoclonal antibody to PACAP for use as a research grade bocunebart biosimilar for ELISA, Flow Cytometry, Functional Studies and in vivo Research.
Recombinant human monoclonal antibody to PACAP for use as a research grade ALD1910 biosimilar for ELISA, Flow Cytometry, Functional Studies and in vivo Research.
Recombinant human monoclonal antibody to PACAP for use as a research grade Anti-Human PACAP38 Antibo for ELISA, Flow Cytometry, Functional Studies and in vivo Research.
Recombinant human monoclonal antibody to PACAP for use as a research grade Vipalanebart biosimilar for ELISA, Flow Cytometry, Functional Studies and in vivo Research.
Recombinant human monoclonal antibody to PACAP for use as a research grade bocunebart biosimilar for ELISA, Flow Cytometry, Functional Studies and in vivo Research.
Recombinant human monoclonal antibody to PACAP for use as a research grade ALD1910 biosimilar for ELISA, Flow Cytometry, Functional Studies and in vivo Research.
Recombinant human monoclonal antibody to PACAP for use as a research grade Anti-Human PACAP38 Antibo for ELISA, Flow Cytometry, Functional Studies and in vivo Research.