ISO 9001:2015 Certified
Live Customer Support
4.5/5 on Trustpilot
100% Quality Guarantee

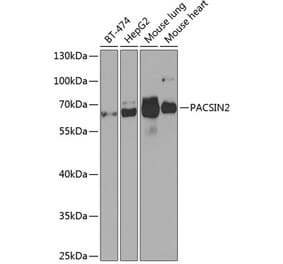
Anti-PACSIN2 Antibody (A308486)

This product is discontinued

Anti-PACSIN2 Antibody (A308486) has been discontinued and is no longer available.

View all PACSIN2 Antibodies.

Name
Anti-PACSIN2 Antibody
Description
Rabbit polyclonal antibody to PACSIN2.
Applications
WB
Dilutions
WB: 1:500-1:2,000
Reactivity
Human, Mouse
Immunogen
Recombinant fusion protein containing a sequence corresponding to amino acids 240-410 of human PACSIN2 (NP_009160.2).
Sequence
RLRFFREVLLEVQKHLDLSNVAGYKAIYHDLEQSIRAADAVEDLRWFRANHGPGMAMNWPQFEEWSADLNRTLSRREKKKATDGVTLTGINQTGDQSLPSKPSSTLNVPSNPAQSAQSQSSYNPFEDEDDTGSTVSEKDDTKAKNVSSYEKTQSYPTDWSDDESNNPFSST
Host
Rabbit
Clonality
Polyclonal
Isotype
IgG
Conjugate

Unconjugated

Purification
Affinity purification.
Molecular Weight
62 kDa
Product Form
Liquid
Formulation
Supplied in Phosphate Buffered Saline, pH 7.3, with 50% Glycerol and 0.01% Thiomersal.
Storage
Shipped at 4°C. Upon delivery aliquot and store at -20°C. Avoid freeze / thaw cycles.
Synonyms
Protein kinase C and casein kinase substrate in neurons protein 2, SdpII, Syndapin-2, Syndapin-II
Disclaimer
This product is for research use only. It is not intended for diagnostic or therapeutic use.

Alternative products to Anti-PACSIN2 Antibody (A308486)

Proteins predicted to interact with PACSIN2

Predicted protein interactions based upon String database. Revelancy score correlates with probability of interaction.
94.9% Relevancy Score
94.7% Relevancy Score
93.8% Relevancy Score
90.7% Relevancy Score
88.5% Relevancy Score
86.4% Relevancy Score
86.2% Relevancy Score
84.6% Relevancy Score
81.4% Relevancy Score