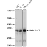
Western Blot - Anti-PACT (phospho KR activating protein)/PRKRA Antibody [ARC1299] (A309004)
Western blot analysis of extracts of various cell lines, using Anti-PACT (phospho KR activating protein)/PRKRA Antibody [ARC1299] (A309004) at 1:1,000 dilution. The secondary antibody was Goat Anti-Rabbit IgG H&L Antibody (HRP) at 1:10,000 dilution. Lysates/proteins were present at 25µg per lane. The blocking buffer used was 3% non-fat dry milk in TBST. Detection was with a ECL Basic Kit. Exposure time: 1s.
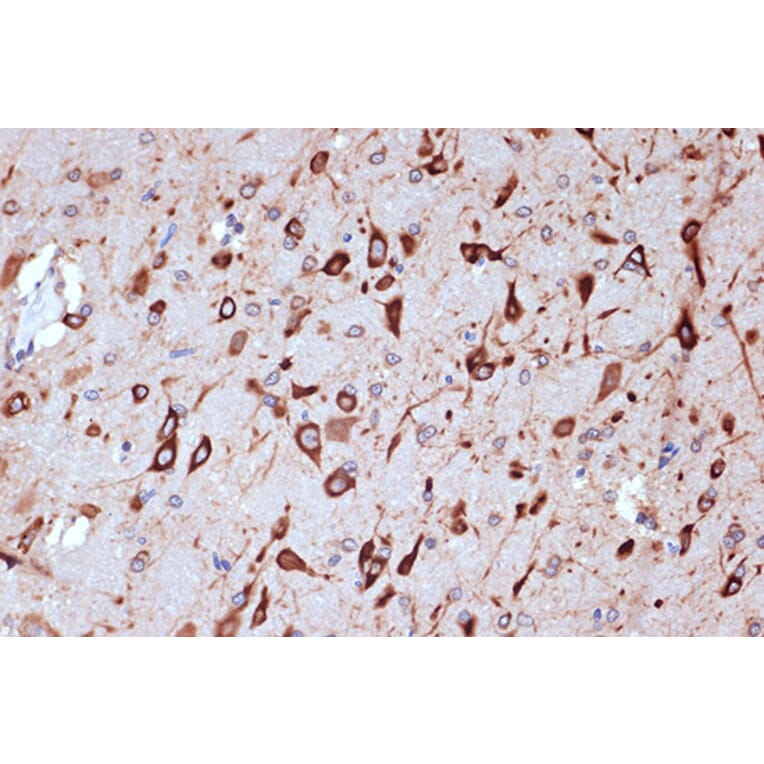
Immunohistochemistry analysis of paraffin-embedded rat brain using Anti-PACT (phospho KR activating protein)/PRKRA Antibody [ARC1299] (A309004) at a dilution of 1:100 (40x lens). Perform microwave antigen retrieval with 10 mM Tris/EDTA buffer pH 9.0 before commencing with IHC staining protocol.
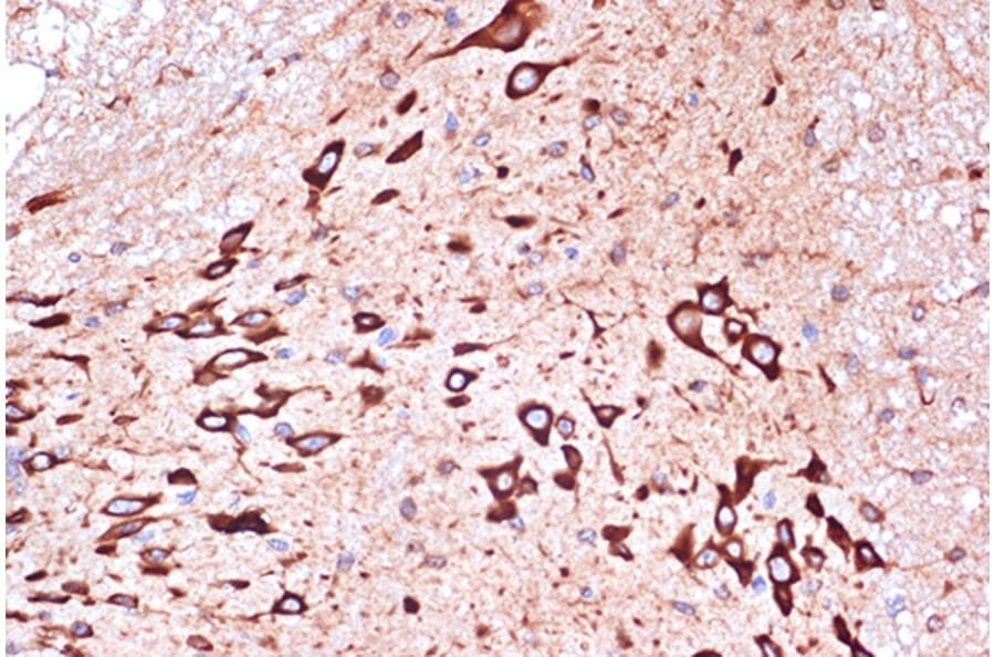
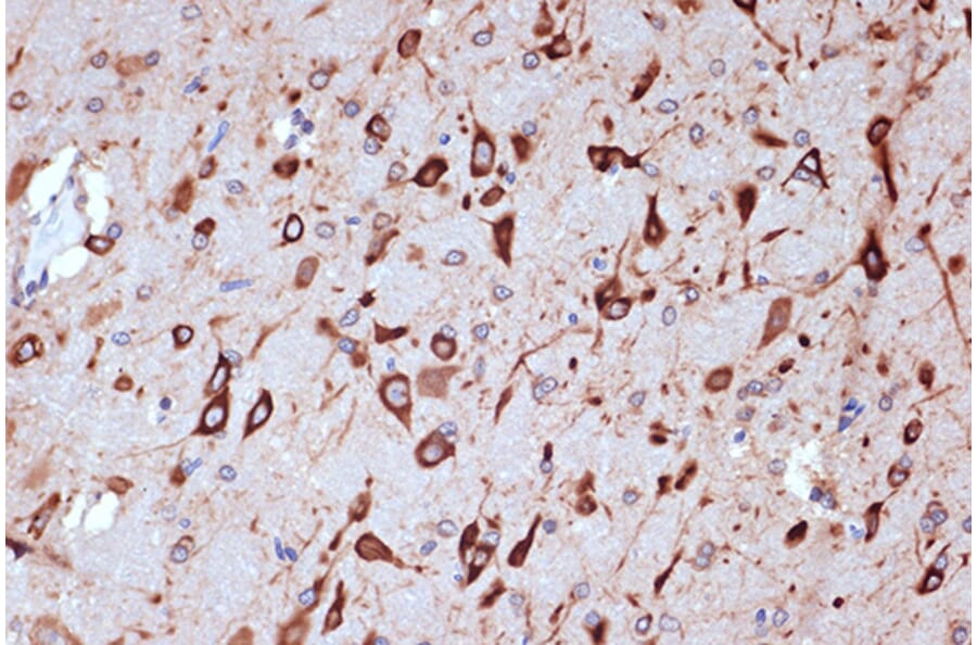
Immunohistochemistry analysis of paraffin-embedded human brain tissue using Anti-PACT (phospho KR activating protein)/PRKRA Antibody [ARC1299] (A309004) at a dilution of 1:100 (40x lens). Perform microwave antigen retrieval with 10 mM Tris/EDTA buffer pH 9.0 before commencing with IHC staining protocol.
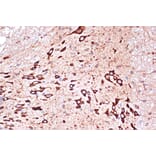
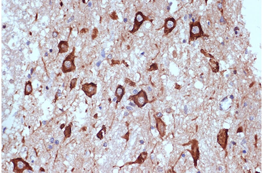
Immunohistochemistry analysis of paraffin-embedded mouse spinal cord using Anti-PACT (phospho KR activating protein)/PRKRA Antibody [ARC1299] (A309004) at a dilution of 1:100 (40x lens). Perform microwave antigen retrieval with 10 mM Tris/EDTA buffer pH 9.0 before commencing with IHC staining protocol.
Publishing research using Anti-PACT (phospho KR activating protein)/PRKRA Antibody [ARC1299] (A309004)? Please let us know so that we can list the citation on this page.