Primary Antibodies
Secondary Antibodies
Proteins & Peptides
ELISA Kits
About Us
Contact Us
Sign In/Register
0
ISO 9001:2015 Certified
Live Customer Support
4.5/5 on Trustpilot
100% Quality Guarantee
Home
Primary Antibodies
PAK2 Antibodies
Anti-PAK2 Antibody (A48347)
Anti-PAK2 Antibody (A48347)
Overview
Specifications
Images
Enlarge Image
Enlarge Image
$780
Product Datasheet
Rabbit polyclonal antibody to PAK2 for ELISA, WB and IHC.
100% Guarantee
Price Match Guarantee
Product Size:
100µl
Quantity:
1
2
3
4
5
6
7
8
9
10
Add To Cart
Request a Quotation
Custom or Bulk Request
Shipping Information
Freight/Packing Charges:
$40
Dispatched from St. Louis, MO.
Lead Time: 6-9 business days.
Specifications
Name
Anti-PAK2 Antibody
Description
Rabbit polyclonal antibody to PAK2
Applications
ELISA
,
WB
,
IHC
Reactivity
Human, Mouse, Rat
Immunogen
Raised against a 14 amino acid peptide from near the amino terminus of human PAK2.
Host
Rabbit
Clonality
Polyclonal
Conjugate
Unconjugated
Purification
Affinity chromatography purified via peptide column
Formulation
Supplied in phosphate-buffered saline with 0.02% Sodium Azide.
Storage
Shipped at 4°C. Upon delivery aliquot and store at -20°C. Avoid freeze/thaw cycles.
Synonyms
Gamma-PAK, p21-activated kinase 2, p58, PAK-2, PAK65, S6/H4 kinase, Serine/threonine-protein kinase PAK 2
Suitable Secondaries
Goat Anti-Rabbit IgG H&L Antibody (AP) (A294874)
Goat Anti-Rabbit IgG H&L Antibody (Biotin) (A294795)
Goat Anti-Rabbit IgG H&L Antibody (FITC) (A294887)
Goat Anti-Rabbit IgG H&L Antibody (HRP) (A294888)
See all Anti-Rabbit IgG Secondaries →
Disclaimer
This product is for research use only. It is not intended for diagnostic or therapeutic use.
Scientific Validation Data
Validation Data
(2)
Enlarge Image
Anti-PAK2 Antibody (A48347)
Western blot analysis of PAK2 in Jurkat lysate with PAK2 antibody at (A) 0.5, (B) 1 and (C) 2 µg/mL.
Enlarge Image
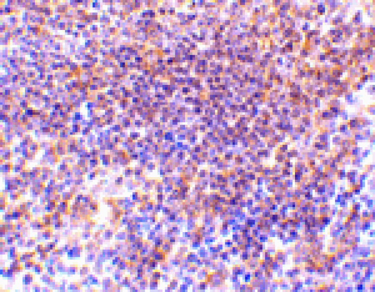
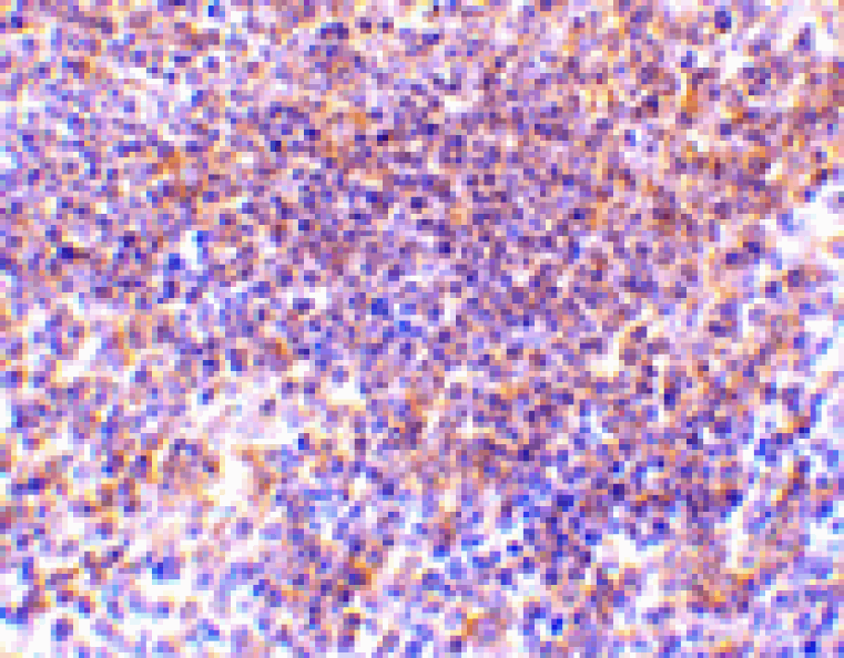
Immunohistochemistry - Anti-PAK2 Antibody (A48347)
Immunohistochemistry of PAK2 in mouse spleen tissue with PAK2 antibody at 10 µg/mL.
Publishing research using Anti-PAK2 Antibody (A48347)? Please
let us know
so that we can list the citation on this page.
Alternative products to Anti-PAK2 Antibody (A48347)
(3)
A94653
Anti-PAK2 (phospho Ser20) Antibody
Rabbit polyclonal antibody to PAK2 (phospho Ser20) for WB, IHC and ELISA.
(3)
A27773
Anti-PAK2 (phospho-S20) Antibody
Rabbit polyclonal antibody to PAK2 (phospho-S20) for WB and IHC.
(2)
A48346
Anti-PAK2 Antibody
Rabbit polyclonal antibody to PAK2 for ELISA, WB and IHC.
(2)
A38683
Anti-PAK2 Antibody
Rabbit polyclonal antibody to PAK2 for WB and IHC.
(2)
A27155
Anti-PAK2 (R186) Antibody
Rabbit polyclonal antibody to PAK2 (R186) for WB and IHC.
A92985
Anti-PAK2 Antibody
Rabbit polyclonal antibody to PAK2 for WB, IHC and ICC/IF.
A347644
Anti-PAK2 Antibody [24GB10955]
Recombinant rabbit monoclonal [24GB10955] antibody to PAK2 for WB, Flow Cytometry and ICC/IF.
A347643
Anti-PAK2 Antibody [23GB2595]
Recombinant rabbit monoclonal [23GB2595] antibody to PAK2 for WB, Flow Cytometry and ICC/IF.
A94029
Anti-PAK2 (phospho Ser192) Antibody
Rabbit polyclonal antibody to PAK2 (phospho Ser192) for WB and ELISA.
A94030
Anti-PAK2 (phospho Ser141) Antibody
Rabbit polyclonal antibody to PAK2 (phospho Ser141) for WB and ELISA.
A93897
Anti-PAK2 (phospho Ser197) Antibody
Rabbit polyclonal antibody to PAK2 (phospho Ser197) for IHC and ELISA.
(2)
A329711
Anti-PAK2 (phospho Ser20) Antibody [ARC62567]
Rabbit monoclonal [ARC62567] antibody to PAK2 (phospho Ser20) for WB and ELISA.
(3)
A94653
Anti-PAK2 (phospho Ser20) Antibody
Rabbit polyclonal antibody to PAK2 (phospho Ser20) for WB, IHC and ELISA.
(3)
A27773
Anti-PAK2 (phospho-S20) Antibody
Rabbit polyclonal antibody to PAK2 (phospho-S20) for WB and IHC.
(2)
A48346
Anti-PAK2 Antibody
Rabbit polyclonal antibody to PAK2 for ELISA, WB and IHC.
(2)
A38683
Anti-PAK2 Antibody
Rabbit polyclonal antibody to PAK2 for WB and IHC.
(2)
A27155
Anti-PAK2 (R186) Antibody
Rabbit polyclonal antibody to PAK2 (R186) for WB and IHC.
A92985
Anti-PAK2 Antibody
Rabbit polyclonal antibody to PAK2 for WB, IHC and ICC/IF.
A347644
Anti-PAK2 Antibody [24GB10955]
Recombinant rabbit monoclonal [24GB10955] antibody to PAK2 for WB, Flow Cytometry and ICC/IF.
A347643
Anti-PAK2 Antibody [23GB2595]
Recombinant rabbit monoclonal [23GB2595] antibody to PAK2 for WB, Flow Cytometry and ICC/IF.
A94029
Anti-PAK2 (phospho Ser192) Antibody
Rabbit polyclonal antibody to PAK2 (phospho Ser192) for WB and ELISA.
A94030
Anti-PAK2 (phospho Ser141) Antibody
Rabbit polyclonal antibody to PAK2 (phospho Ser141) for WB and ELISA.
A93897
Anti-PAK2 (phospho Ser197) Antibody
Rabbit polyclonal antibody to PAK2 (phospho Ser197) for IHC and ELISA.
(2)
A329711
Anti-PAK2 (phospho Ser20) Antibody [ARC62567]
Rabbit monoclonal [ARC62567] antibody to PAK2 (phospho Ser20) for WB and ELISA.
See all PAK2 Antibodies
Proteins predicted to interact with PAK2
Predicted protein interactions based upon String database. Revelancy score correlates with probability of interaction.
ARHGEF7 Antibodies
99.9% Relevancy Score
CDC42 Antibodies
99.8% Relevancy Score
ARHGEF6 Antibodies
98.9% Relevancy Score
RAC2 Antibodies
98.4% Relevancy Score
RAC1 Antibodies
98.3% Relevancy Score
Nck beta Antibodies
97.3% Relevancy Score
NCK1 Antibodies
97% Relevancy Score
Raf1 Antibodies
96.2% Relevancy Score
Caspase-3 Antibodies
95.4% Relevancy Score
Top