Anti-PAK3 (phospho Ser154) Antibody (A94421) has been discontinued and is no longer available.
View all PAK3 Antibodies.
Unconjugated
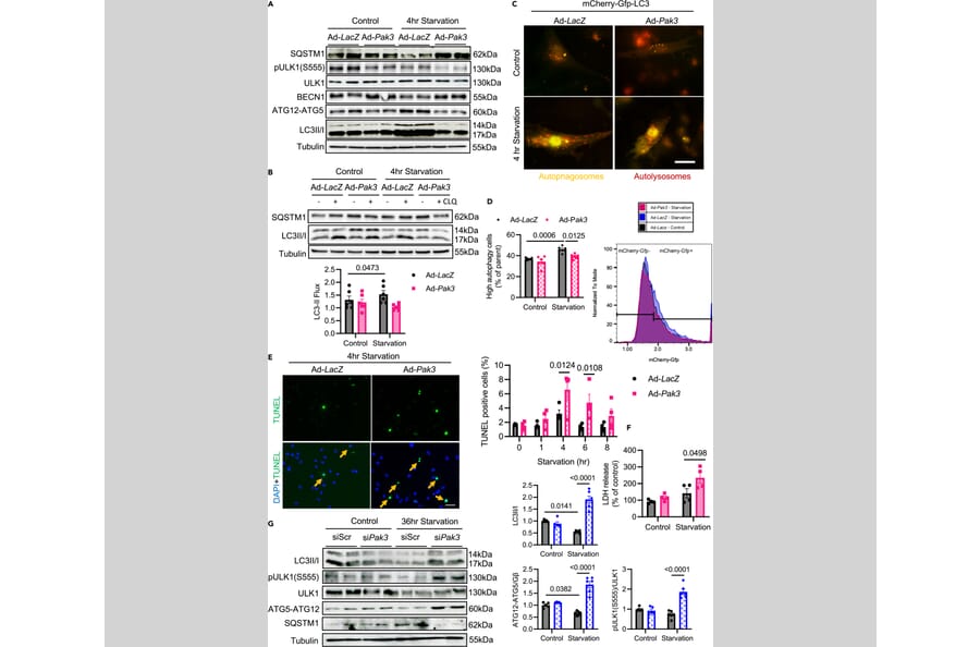
Despite the development of clinical treatments, heart failure remains the leading cause of mortality. We observed that p21-activated kinase 3 (PAK3) was augmented in failing human and mouse hearts. Furthermore, mice with cardiac-specific PAK3 overexpression exhibited exacerbated pathological remodeling and deteriorated cardiac function. Myocardium with PAK3 overexpression displayed hypertrophic growth, excessive fibrosis, and aggravated apoptosis following isoprenaline stimulation as early as two days. Mechanistically, using cultured cardiomyocytes and human-relevant samples under distinct stimulations, we, for the first time, demonstrated that PAK3 acts as a suppressor of autophagy through hyper-activation of the mechanistic target of rapamycin complex 1 (mTORC1). Defective autophagy in the myocardium contributes to the progression of heart failure. More importantly, PAK3-provoked cardiac dysfunction was mitigated by administering an autophagic inducer. Our study illustrates a unique role of PAK3 in autophagy regulation and the therapeutic potential of targeting this axis for heart failure.
Mutations of PAK3, a p21-activated kinase, are associated in humans with cognitive deficits suggestive of defective cortical circuits and with frequent brain structural abnormalities. Most human variants no longer exhibit kinase activity. Since GABAergic interneurons express PAK3 as they migrate within the cortex, we here examined the role of PAK3 kinase activity in the regulation of cortical interneuron migration. During the embryonic development, cortical interneurons migrate a long distance tangentially and then re-orient radially to settle in the cortical plate, where they contribute to cortical circuits. We showed that interneurons expressing a constitutively kinase active PAK3 variant (PAK3-ca) extended shorter leading processes and exhibited unstable polarity. In the upper cortical layers, they entered the cortical plate and extended radially oriented processes. In the deep cortical layers, they exhibited erratic non-processive migration movements and accumulated in the deep pathway. Pharmacological inhibition of PAK3 kinase inhibited the radial migration switch of interneurons to the cortical plate and reduced their accumulation in the deep cortical layers. Interneurons expressing a kinase dead PAK3 variant (PAK3-kd) developed branched leading processes, maintained the same polarity during migration and exhibited processive and tangentially oriented movements in the cortex. These results reveal that PAK3 kinase activity, by promoting leading process shortening and cell polarity changes, inhibits the tangential processive migration of interneurons and favors their radial re- orientation and targeting to the cortical plate. They suggest that patients expressing PAK3 variants with impaired kinase activity likely present alterations in the cortical targeting of their GABAergic interneurons.