Primary Antibodies
Secondary Antibodies
Proteins & Peptides
ELISA Kits
About Us
Contact Us
Sign In/Register
0
ISO 9001:2015 Certified
Live Customer Support
4.5/5 on Trustpilot
100% Quality Guarantee
Home
Primary Antibodies
PAK4 Antibodies
Anti-PAK4 Antibody (A48315)
Anti-PAK4 Antibody (A48315)
Overview
Specifications
Images
Enlarge Image
Enlarge Image
$780
Product Datasheet
Rabbit polyclonal antibody to PAK4 for ELISA, WB and IHC.
100% Guarantee
Price Match Guarantee
Product Size:
100µl
Quantity:
1
2
3
4
5
6
7
8
9
10
Add To Cart
Request a Quotation
Custom or Bulk Request
Shipping Information
Freight/Packing Charges:
$40
Dispatched from St. Louis, MO.
Lead Time: 6-9 business days.
Specifications
Name
Anti-PAK4 Antibody
Description
Rabbit polyclonal antibody to PAK4
Applications
ELISA
,
WB
,
IHC
Reactivity
Human
Immunogen
Raised against a 13 amino acid peptide from near the center of human PAK4.
Host
Rabbit
Clonality
Polyclonal
Conjugate
Unconjugated
Purification
Affinity chromatography purified via peptide column
Formulation
Supplied in phosphate-buffered saline with 0.02% Sodium Azide.
Storage
Shipped at 4°C. Upon delivery aliquot and store at -20°C. Avoid freeze/thaw cycles.
Synonyms
KIAA1142, p21-activated kinase 4, PAK-4, Serine/threonine-protein kinase PAK 4
Suitable Secondaries
Goat Anti-Rabbit IgG H&L Antibody (AP) (A294874)
Goat Anti-Rabbit IgG H&L Antibody (Biotin) (A294795)
Goat Anti-Rabbit IgG H&L Antibody (FITC) (A294887)
Goat Anti-Rabbit IgG H&L Antibody (HRP) (A294888)
See all Anti-Rabbit IgG Secondaries →
Disclaimer
This product is for research use only. It is not intended for diagnostic or therapeutic use.
Scientific Validation Data
Validation Data
(2)
Enlarge Image
Anti-PAK4 Antibody (A48315)
Western blot analysis of PAK4 in SW480 lysate with PAK4 antibody at (A) 1 and (B) 2 µg/mL.
Enlarge Image
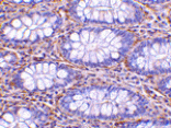
Immunohistochemistry - Anti-PAK4 Antibody (A48315)
Immunohistochemistry of PAK4 in human colon tissue with PAK4 antibody at 10 µg/mL.
Publishing research using Anti-PAK4 Antibody (A48315)? Please
let us know
so that we can list the citation on this page.
Alternative products to Anti-PAK4 Antibody (A48315)
(3)
A81076
Anti-PAK4 Antibody
Rabbit polyclonal antibody to PAK4 for WB and ICC/IF.
A94344
Anti-PAK4 + PAK5 + PAK6 (phospho Ser474) Antibody
Rabbit polyclonal antibody to PAK4 + PAK5 + PAK6 (phospho Ser474) for WB, IHC, IF and ELISA.
A27771
Anti-PAK4/5/6 (phospho-S474) Antibody
Rabbit polyclonal antibody to PAK4/5/6 (phospho-S474) for WB, IHC and ICC.
(2)
A26773
Anti-PAK4/5/6 (V469) Antibody
Rabbit polyclonal antibody to PAK4/5/6 (V469) for WB.
A94727
Anti-PAK4 + PAK5 + PAK6 Antibody
Rabbit polyclonal antibody to PAK4 + PAK5 + PAK6 for WB and ELISA.
(2)
A38861
Anti-PAK4 Antibody
Rabbit polyclonal antibody to PAK4 for WB.
(2)
A38684
Anti-PAK4 Antibody
Rabbit polyclonal antibody to PAK4 for WB and IHC.
A50825
Anti-PAK4 / 5 / 6 (Phospho-Ser474) Antibody
Rabbit Polycolonal antibody to PAK4 / 5 / 6 (Phospho-Ser474) for WB.
A43837
Anti-PAK4 Antibody
Rabbit polyclonal antibody to PAK4 for WB.
(3)
A81076
Anti-PAK4 Antibody
Rabbit polyclonal antibody to PAK4 for WB and ICC/IF.
A94344
Anti-PAK4 + PAK5 + PAK6 (phospho Ser474) Antibody
Rabbit polyclonal antibody to PAK4 + PAK5 + PAK6 (phospho Ser474) for WB, IHC, IF and ELISA.
A27771
Anti-PAK4/5/6 (phospho-S474) Antibody
Rabbit polyclonal antibody to PAK4/5/6 (phospho-S474) for WB, IHC and ICC.
(2)
A26773
Anti-PAK4/5/6 (V469) Antibody
Rabbit polyclonal antibody to PAK4/5/6 (V469) for WB.
A94727
Anti-PAK4 + PAK5 + PAK6 Antibody
Rabbit polyclonal antibody to PAK4 + PAK5 + PAK6 for WB and ELISA.
(2)
A38861
Anti-PAK4 Antibody
Rabbit polyclonal antibody to PAK4 for WB.
(2)
A38684
Anti-PAK4 Antibody
Rabbit polyclonal antibody to PAK4 for WB and IHC.
A50825
Anti-PAK4 / 5 / 6 (Phospho-Ser474) Antibody
Rabbit Polycolonal antibody to PAK4 / 5 / 6 (Phospho-Ser474) for WB.
A43837
Anti-PAK4 Antibody
Rabbit polyclonal antibody to PAK4 for WB.
See all PAK4 Antibodies
Proteins predicted to interact with PAK4
Predicted protein interactions based upon String database. Revelancy score correlates with probability of interaction.
CDC42 Antibodies
99.9% Relevancy Score
RAC3 Antibodies
99.3% Relevancy Score
LIMK1 Antibodies
96.8% Relevancy Score
ARHGEF7 Antibodies
96.4% Relevancy Score
ARHGEF6 Antibodies
96.4% Relevancy Score
WRCH1 Antibodies
96% Relevancy Score
RAC2 Antibodies
95.3% Relevancy Score
Raf1 Antibodies
94.9% Relevancy Score
LIMK2 Antibodies
94.3% Relevancy Score
Top