Primary Antibodies
Secondary Antibodies
Proteins & Peptides
ELISA Kits
About Us
Contact Us
Sign In/Register
0
ISO 9001:2015 Certified
Live Customer Support
4.5/5 on Trustpilot
100% Quality Guarantee
Home
Primary Antibodies
Anti-pan CDH Antibody (A45165)
Anti-pan CDH Antibody (A45165)
Overview
Specifications
Images
Enlarge Image
Enlarge Image
$405
Rabbit polyclonal antibody to pan CDH for IHC.
100% Guarantee
Price Match Guarantee
Product Size:
100µl
Quantity:
1
2
3
4
5
6
7
8
9
10
Add To Cart
Request a Quotation
Custom or Bulk Request
Shipping Information
Freight/Packing Charges:
$40
Dispatched from St. Louis, MO.
Lead Time: 6-9 business days.
Specifications
Name
Anti-pan CDH Antibody
Description
Rabbit polyclonal antibody to pan CDH
Specificity
The antibody detects endogenous levels of total pan CDH protein.
Applications
IHC
Reactivity
Human
Immunogen
Synthetic peptide corresponding to residues near the C terminal of human pan-cadherin
Host
Rabbit
Clonality
Polyclonal
Conjugate
Unconjugated
Purification
Antigen affinity purification.
Concentration
0.6 mg/ml
Formulation
Rabbit IgG in pH7.3 PBS, 0.05% NaN3, 50% Glycerol.
Storage
Store at -20˚C
Suitable Secondaries
Goat Anti-Rabbit IgG H&L Antibody (AP) (A294874)
Goat Anti-Rabbit IgG H&L Antibody (Biotin) (A294795)
Goat Anti-Rabbit IgG H&L Antibody (FITC) (A294887)
Goat Anti-Rabbit IgG H&L Antibody (HRP) (A294888)
See all Anti-Rabbit IgG Secondaries →
Disclaimer
This product is for research use only. It is not intended for diagnostic or therapeutic use.
Scientific Validation Data
Validation Data
(2)
Enlarge Image
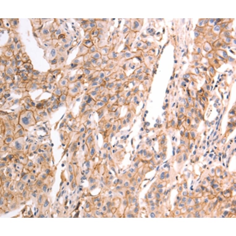
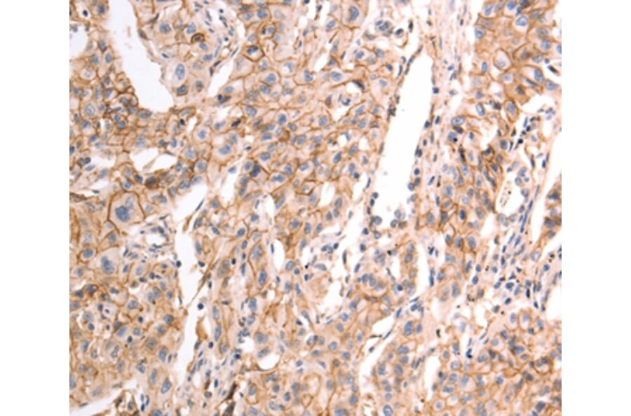
Immunohistochemistry - Anti-pan CDH Antibody (A45165)
Immunohistochemical analysis of paraffin-embedded Human breast cancer tissue using #37301 at dilution 1/30.
Enlarge Image
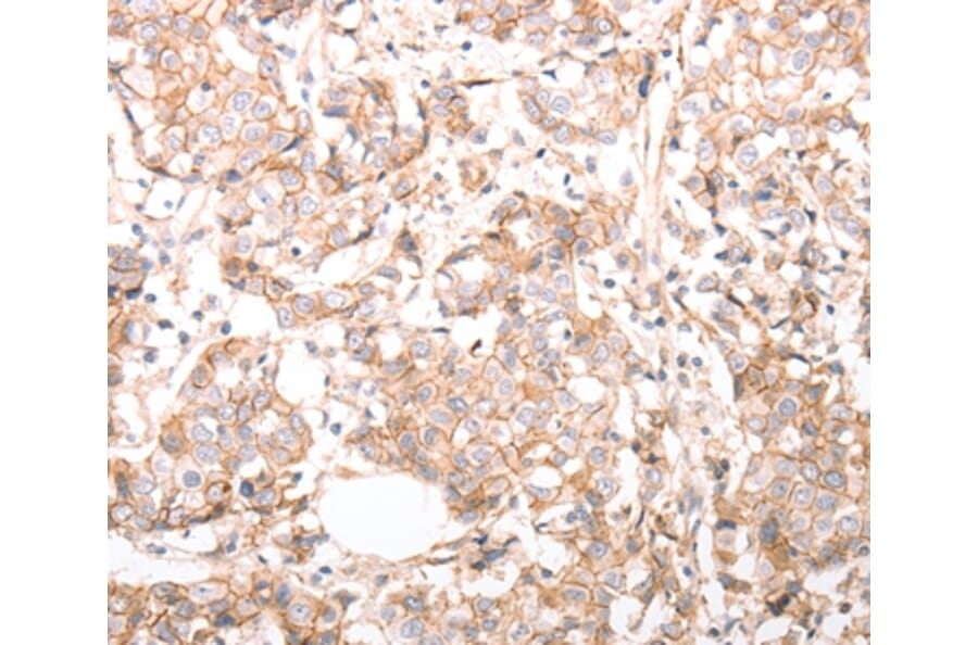
Immunohistochemistry - Anti-pan CDH Antibody (A45165)
Immunohistochemical analysis of paraffin-embedded Human liver cancer tissue using #37301 at dilution 1/30.
Publishing research using Anti-pan CDH Antibody (A45165)? Please
let us know
so that we can list the citation on this page.
Top