ISO 9001:2015 Certified
Live Customer Support
4.5/5 on Trustpilot
100% Quality Guarantee

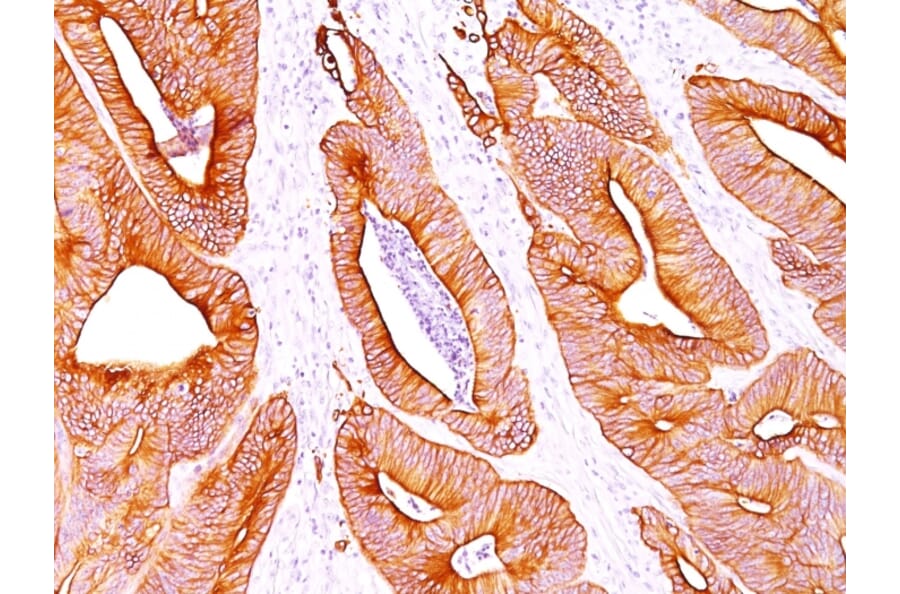
Anti-pan Cytokeratin Antibody [AE-1/AE-3] (A250928)

Mouse monoclonal [AE-1/AE-3] antibody to pan Cytokeratin for Flow Cytometry, IF, WB and IHC-P.

Alternative Formats and ConjugatesAlternative Formats

Shipping Information

$40
Dispatched from St. Louis, MO.
Lead Time: 5-8 business days.
Name
Anti-pan Cytokeratin Antibody [AE-1/AE-3]
Description
Mouse monoclonal [AE-1/AE-3] antibody to pan Cytokeratin.
Specificity
Twenty human keratins are resolved with two-dimensional gel electrophoresis into acidic (pI 6.0) subfamilies. This antibody cocktail recognizes acidic (Type I or LMW) and basic (Type II or HMW) cytokeratins, which 67kDa (CK1); 64kDa (CK3); 59kDa (CK4); 58kDa (CK5); 56kDa (CK6); 52kDa (CK8); 56.5kDa (CK10); 50kDa (CK14); 50kDa (CK15); 48kDa (CK16); 40kDa (CK19). Many studies have shown the usefulness of keratins as markers in cancer research and tumor diagnosis. AE-1/AE-3 is a broad spectrum anti pan-cytokeratin antibody cocktail, which differentiates epithelial tumors from non-epithelial tumors e.g. squamous vs. adenocarcinoma of the lung, liver carcinoma, breast cancer, and esophageal cancer. It has been used to characterize the source of various neoplasms and to study the distribution of cytokeratin containing cells in epithelia during normal development and during the development of epithelial neoplasms. This antibody stains cytokeratins present in normal and abnormal human tissues and has shown high sensitivity in the recognition of epithelial cells and carcinomas.
Applications
Flow Cytometry, IF, WB, IHC-P
Dilutions
Flow Cytometry: 1-2 µg/million cells, IF: 1-2 µg/ml, WB: 1-2 µg/ml, IHC-P: 0.25-0.5 µg/ml
Reactivity
Human, Monkey, Bovine, Canine, Rabbit, Mouse, Rat, Chicken
Immunogen
Human epidermal keratin.
Host
Mouse
Clonality
Oligoclonal
Clone ID
AE-1/AE-3
Isotype
IgG1, kappa + IgG1, kappa
Conjugate

Unconjugated

Purification
Protein A/G chromatography.
Concentration
200 µg/ml
Molecular Weight
40-67 kDa
Product Form
Liquid
Formulation
Supplied in 10mM Phosphate Buffered Saline with 0.05% BSA and 0.05% Sodium Azide.
Storage
Shipped at 4°C. Upon delivery aliquot and store at -20°C. Avoid freeze / thaw cycles.
General Notes

Please note, this product is an oligoclonal antibody; it is a cocktail of monoclonal antibodies that have been carefully selected. Oligoclonal antibodies not only have the specificity and batch-to-batch consistency of a monoclonal antibody, but they also have the advantage of the sensitivity of a polyclonal antibody due to their ability to recognize multiple epitopes on an antigen.

This oligoclonal antibody is also available in a different formulation without BSA and Sodium Azide - Anti-pan Cytokeratin Antibody [AE-1/AE-3] - BSA and Azide free (A254108).

Disclaimer
This product is for research use only. It is not intended for diagnostic or therapeutic use.
Publishing research using Anti-pan Cytokeratin Antibody [AE-1/AE-3] (A250928)? Please let us know so that we can list the citation on this page.

Alternative products to Anti-pan Cytokeratin Antibody [AE-1/AE-3] (A250928)