Primary Antibodies
Secondary Antibodies
Proteins & Peptides
ELISA Kits
About Us
Contact Us
Sign In/Register
0
ISO 9001:2015 Certified
Live Customer Support
4.5/5 on Trustpilot
100% Quality Guarantee
Home
Primary Antibodies
Anti-Pan Methylated Lysine Antibody (A51512)
Anti-Pan Methylated Lysine Antibody (A51512)
Overview
Specifications
Images
Enlarge Image
Enlarge Image
$290
Product Datasheet
Mouse monoclonal antibody to Pan Methylated Lysine for WB and IHC.
100% Guarantee
Price Match Guarantee
Product Size:
50µl
100µl
Quantity:
1
2
3
4
5
6
7
8
9
10
Add To Cart
Request a Quotation
Custom or Bulk Request
Shipping Information
Freight/Packing Charges:
$40
Dispatched from St. Louis, MO.
Lead Time: 6-9 business days.
Specifications
Name
Anti-Pan Methylated Lysine Antibody
Description
Mouse monoclonal antibody to Pan Methylated Lysine
Specificity
The antibody detects endogenous Pan Methylated Lysine protein.
Applications
WB
,
IHC
Reactivity
All
Immunogen
Conjugated Protein
Host
Mouse
Clonality
Monoclonal
Conjugate
Unconjugated
Purification
The antibody was affinity-purified from antiserum by affinity-chromatography
Concentration
1 mg/mL
Formulation
PBS, pH 7.4, containing 0.02% sodium azide as Preservative and 50% Glycerol.
Storage
Shipped at 4°C. Upon delivery aliquot and store at -20°C. Avoid freeze/thaw cycles.
Suitable Secondaries
Goat Anti-Mouse IgG H&L Antibody (AP) (A301438)
Goat Anti-Mouse IgG H&L Antibody (Biotin) (A301439)
Goat Anti-Mouse IgG H&L Antibody (FITC) (A301669)
Goat Anti-Mouse IgG H&L Antibody (HRP) (A301445)
See all Anti-Mouse IgG Secondaries →
Disclaimer
This product is for research use only. It is not intended for diagnostic or therapeutic use.
Scientific Validation Data
Validation Data
(2)
Enlarge Image
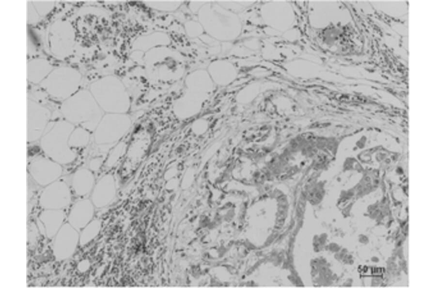
Immunohistochemistry - Anti-Pan Methylated Lysine Antibody (A51512)
Immunohistochemical analysis of paraffin-embedded Human Breast Carcinoma using Pan Methylated Lysine Monoclonal Antibody.
Enlarge Image
Anti-Pan Methylated Lysine Antibody (A51512)
Western blot analysis of Hela using Pan Methylated Lysine Monoclonal Antibody.
Publishing research using Anti-Pan Methylated Lysine Antibody (A51512)? Please
let us know
so that we can list the citation on this page.
Top