Western Blot - Anti-pan phospho-Serine/Threonine Antibody [AMC0265] (A309541)
Pan Phospho-Serine/Threonine expression in A431 cell lysates analyzed by western blot. Primary antibody incubation was performed for 1 hour on 30ug protein per lane with Anti-Pan Phospho-Serine/Threonine Antibody (A309541) at a dilution of 1:1000 and detected with chemiluminescence.
Pan Phospho-Serine/Threonine expression in rat liver tissue, untreated (left) and lambda phosphatase-treated (right), analyzed by immunohistochemistry. Tissue was paraffin-embedded, and antigen retrieval was achieved with 10 mM citrate buffer, pH 6.0, under high pressure. Staining was performed with Anti-Pan Phospho-Serine/Threonine Antibody (A309541) at a dilution of 1:2000.
Pan Phospho-Serine/Threonine expression in mouse liver tissue, untreated (left) and lambda phosphatase-treated (right), analyzed by immunohistochemistry. Tissue was paraffin-embedded, and antigen retrieval was achieved with 10 mM citrate buffer, pH 6.0, under high pressure. Staining was performed with Anti-Pan Phospho-Serine/Threonine Antibody (A309541) at a dilution of 1:2000.
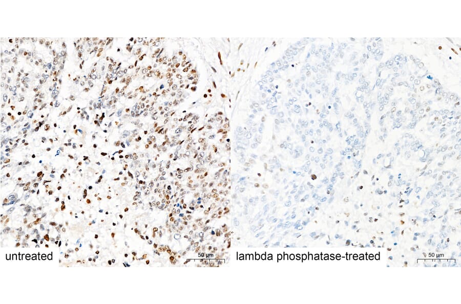
Pan Phospho-Serine/Threonine expression in human lung cancer tissue, untreated (left) and lambda phosphatase-treated (right), analyzed by immunohistochemistry. Tissue was paraffin-embedded, and antigen retrieval was achieved with 10 mM citrate buffer, pH 6.0, under high pressure. Staining was performed with Anti-Pan Phospho-Serine/Threonine Antibody (A309541) at a dilution of 1:2000.
Publishing research using Anti-pan phospho-Serine/Threonine Antibody [AMC0265] (A309541)? Please let us know so that we can list the citation on this page.