PAR6 alpha expression in Jurkat (A) and U251 (B) cell lysates analyzed by western blot. Cells were lysed in RIPA buffer and 35µg protein was run per lane. Primary antibody incubation was performed with Anti-PAR6 alpha Antibody (A83318) at 2µg/ml and detected by chemiluminescence.
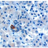
PAR6 alpha expression in Human Pancreas analyzed by immunohistochemistry. Tissue was paraffin-embedded, and antigen retrieval was achieved by microwaving in Tris/EDTA buffer, pH 9. Staining was performed with Anti-PAR6 alpha Antibody (A83318) at 10µg/ml and revealed with horseradish peroxidase (HRP).
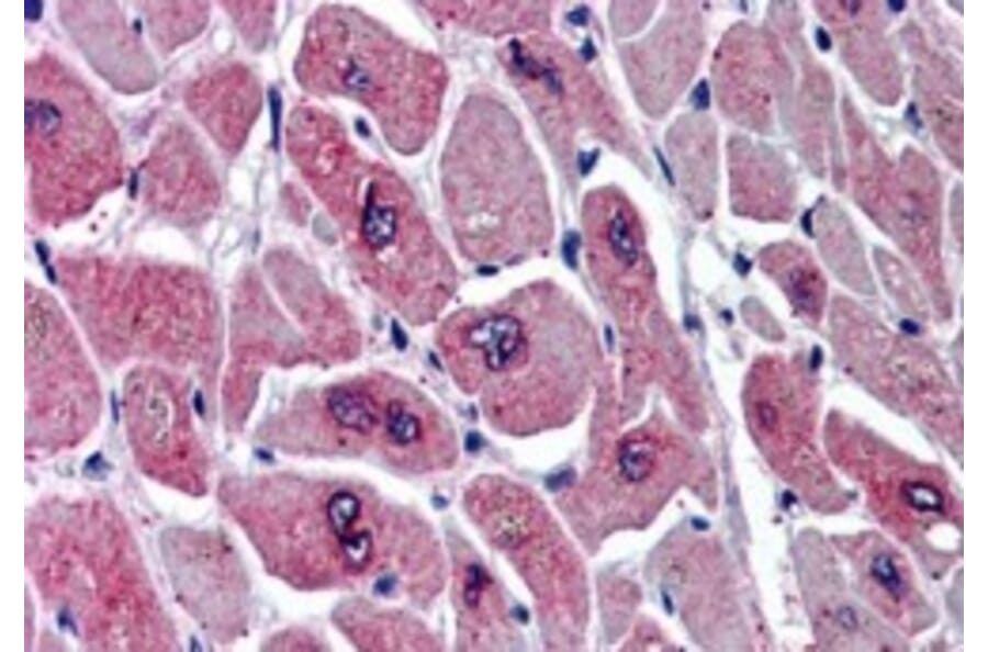
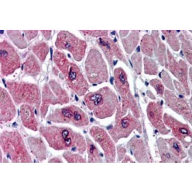
PAR6 alpha expression in Human Heart analyzed by immunohistochemistry. Tissue was paraffin-embedded, and antigen retrieval was achieved by steaming in citrate buffer, pH 6. Staining was performed with Anti-PAR6 alpha Antibody (A83318) at 5µg/ml and revealed with alkaline phosphatase (AP).
PAR6 alpha expression in Jurkat cells (blue line) analyzed by flow cytometry. Cells were fixed in PFA and permeabilized with 0.5% Triton. Staining was performed with Anti-PAR6 alpha Antibody (A83318) at 10µg/ml for 1 hour and Alexa Fluor 488 secondary antibody at 1µg/ml. Negative Control: Goat IgG Isotype Control (black line) followed by Alexa Fluor 488 secondary antibody.
Publishing research using Anti-PAR6 alpha Antibody (A83318)? Please let us know so that we can list the citation on this page.