Primary Antibodies
Secondary Antibodies
Proteins & Peptides
ELISA Kits
About Us
Contact Us
Sign In/Register
0
ISO 9001:2015 Certified
Live Customer Support
4.5/5 on Trustpilot
100% Quality Guarantee
Home
Primary Antibodies
PAWR Antibodies
Anti-PAWR Antibody (A38789)
Anti-PAWR Antibody (A38789)
Overview
Specifications
Images
Enlarge Image
Enlarge Image
$430
Product Datasheet
Rabbit polyclonal antibody to PAWR for WB and IHC.
100% Guarantee
Price Match Guarantee
Product Size:
100µl
Quantity:
1
2
3
4
5
6
7
8
9
10
Add To Cart
Request a Quotation
Custom or Bulk Request
Shipping Information
Freight/Packing Charges:
$40
Dispatched from St. Louis, MO.
Lead Time: 6-9 business days.
Specifications
Name
Anti-PAWR Antibody
Description
Rabbit polyclonal antibody to PAWR
Specificity
The antibody detects endogenous levels of total PAWR protein.
Applications
WB
,
IHC
Reactivity
Human
Immunogen
Synthetic peptide corresponding to a region derived from internal residues of human PRKC, apoptosis, WT1, regulator
Host
Rabbit
Clonality
Polyclonal
Conjugate
Unconjugated
Purification
Antigen affinity purification.
Concentration
2.4 mg/mL
Formulation
Supplied in PBS, pH 7.3, containing 0.05% sodium azide and 50% glycerol.
Storage
Shipped at 4°C. Upon delivery aliquot and store at -20°C. Avoid freeze/thaw cycles.
Synonyms
Par-4, PAR4, PRKC apoptosis WT1 regulator protein, Prostate apoptosis response 4 protein
Suitable Secondaries
Goat Anti-Rabbit IgG H&L Antibody (AP) (A294874)
Goat Anti-Rabbit IgG H&L Antibody (Biotin) (A294795)
Goat Anti-Rabbit IgG H&L Antibody (FITC) (A294887)
Goat Anti-Rabbit IgG H&L Antibody (HRP) (A294888)
See all Anti-Rabbit IgG Secondaries →
Disclaimer
This product is for research use only. It is not intended for diagnostic or therapeutic use.
Scientific Validation Data
Validation Data
(2)
Enlarge Image
Anti-PAWR Antibody (A38789)
Gel: 10% SDS-PAGE Lysates (from left to right): Hela and A549 cell Amount of lysate: 30ug per lane Primary antibody: 1/1200 dilution Secondary antibody dilution: 1/8000 Exposure time: 10 seconds
Enlarge Image
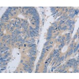
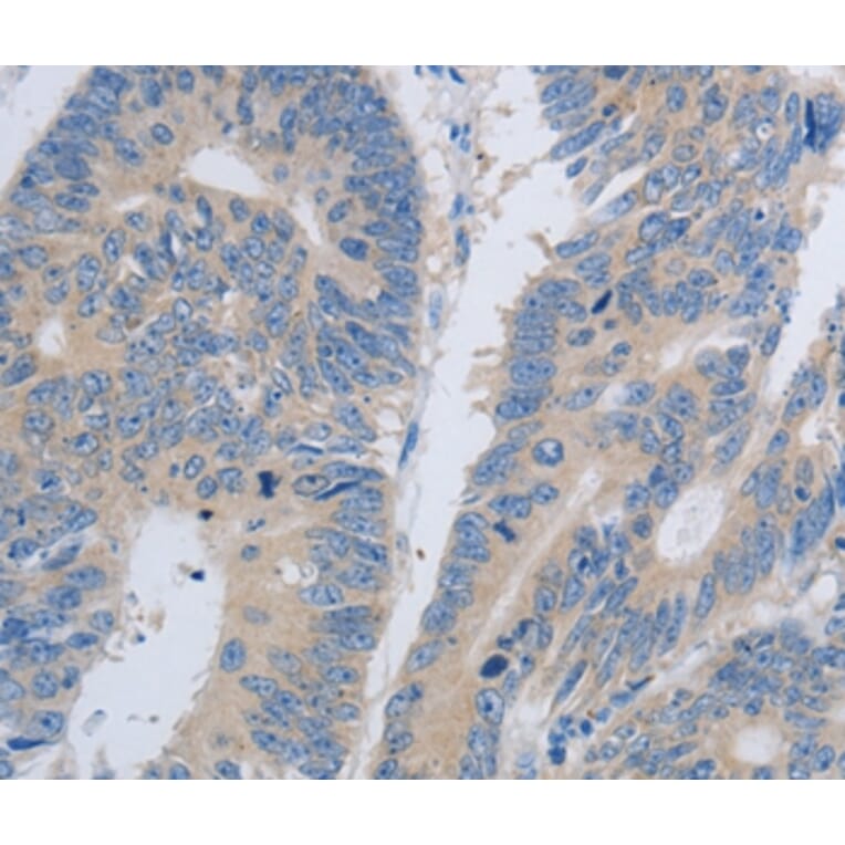
Immunohistochemistry - Anti-PAWR Antibody (A38789)
Immunohistochemical analysis of paraffin-embedded Human colon cancer tissue using #37011 at dilution 1/60.
Publishing research using Anti-PAWR Antibody (A38789)? Please
let us know
so that we can list the citation on this page.
Alternative products to Anti-PAWR Antibody (A38789)
(2)
A96259
Anti-Prostate Apoptosis Response protein-4 Antibody
Rabbit polyclonal antibody to Prostate Apoptosis Response protein-4 for WB, IHC, IF and ELISA.
A347659
Anti-PAWR Antibody [24GB12835]
Recombinant rabbit monoclonal [24GB12835] antibody to PAWR for WB, Flow Cytometry and ICC/IF.
A347658
Anti-PAWR Antibody [24GB5010]
Recombinant rabbit monoclonal [24GB5010] antibody to PAWR for WB, Flow Cytometry and ICC/IF.
(2)
A96259
Anti-Prostate Apoptosis Response protein-4 Antibody
Rabbit polyclonal antibody to Prostate Apoptosis Response protein-4 for WB, IHC, IF and ELISA.
A347659
Anti-PAWR Antibody [24GB12835]
Recombinant rabbit monoclonal [24GB12835] antibody to PAWR for WB, Flow Cytometry and ICC/IF.
A347658
Anti-PAWR Antibody [24GB5010]
Recombinant rabbit monoclonal [24GB5010] antibody to PAWR for WB, Flow Cytometry and ICC/IF.
Proteins predicted to interact with PAWR
Predicted protein interactions based upon String database. Revelancy score correlates with probability of interaction.
SPSB1 Antibodies
95.3% Relevancy Score
ZIPK Antibodies
93.8% Relevancy Score
THAP1 Antibodies
91.6% Relevancy Score
BIP Antibodies
91.2% Relevancy Score
WT1 Antibodies
90.6% Relevancy Score
CIAO1 Antibodies
77.2% Relevancy Score
DRD2 Antibodies
75.7% Relevancy Score
PKC zeta Antibodies
71.6% Relevancy Score
Vesicular Acetylcholine Transporter Antibodies
71.2% Relevancy Score
Top