ISO 9001:2015 Certified
Live Customer Support
4.5/5 on Trustpilot
100% Quality Guarantee

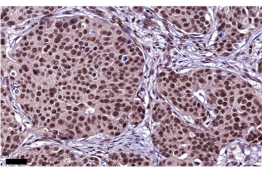
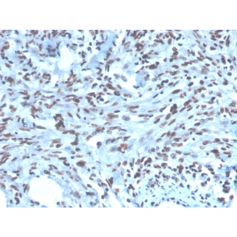
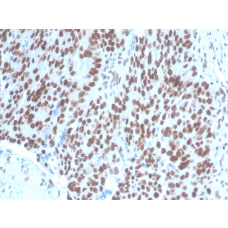
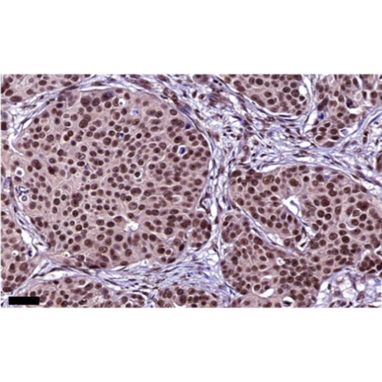
Anti-PAX2 Antibody [PAX2/1104] - BSA and Azide free (A252739)

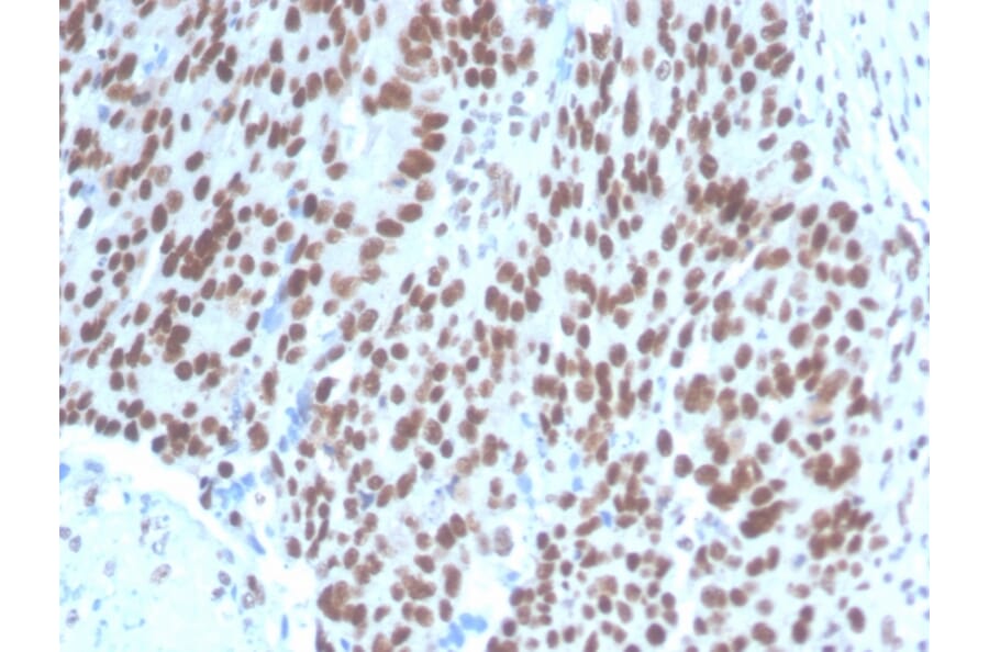
Mouse monoclonal [PAX2/1104] antibody to PAX2 for ELISA and IHC-P.

Alternative Formats and ConjugatesAlternative Formats

Shipping Information

$40
Dispatched from St. Louis, MO.
Lead Time: 5-8 business days.
Name
Anti-PAX2 Antibody [PAX2/1104] - BSA and Azide free
Description
Mouse monoclonal [PAX2/1104] antibody to PAX2.
Specificity
This antibody recognizes a protein of 42kDa, which is identified as PAX2. It is a member of the paired box family of transcription factors, which is required for development and proliferation of the kidney, brain, and mullerian organs. PAX2 genes contain a highly conserved DNA sequence within the paired box region, which encodes a DNA-binding domain, enabling PAX proteins to bind the promoters of specific genes to transcriptionally regulate their expression. PAX2 is specifically expressed in the developing central nervous system, eye, ear, and urogenital tract, and is essential for the development of these organs. In normal adult tissues PAX2 was mainly detected in the urogenital system, including kidney, ureteric epithelium, fallopian tube epithelium, ovary and uterus. In tumors, PAX2 has been detected in renal cell carcinomas, Wilms' tumors, nephrogenic adenomas and papillary serous carcinoma of the ovary. PAX2 has been used as a marker for the identification of renal cell carcinoma and ovarian carcinoma by immunohistochemistry.
Applications
ELISA, IHC-P
Dilutions
IHC-P: 1-2 µg/ml
Reactivity
Human
Immunogen
Recombinant fragment, around amino acids 223-354, human PAX2 protein. The exact sequence is proprietary.
Host
Mouse
Clonality
Monoclonal
Clone ID
PAX2/1104
Isotype
IgG2b
Light Chains
kappa
Conjugate

Unconjugated

Purification
Protein A/G chromatography.
Concentration
1 mg/ml
Molecular Weight
42 kDa
Product Form
Liquid
Formulation
Supplied in 10mM Phosphate Buffered Saline; without Sodium Azide and carrier free.
Storage
Shipped at 4°C. Upon delivery aliquot and store at -20°C. Avoid freeze / thaw cycles.
General Notes
This monoclonal antibody is also available in a different formulation with BSA and Sodium Azide - Anti-PAX2 Antibody [PAX2/1104] (A249559).
Synonyms
Paired box protein Pax-2
Disclaimer
This product is for research use only. It is not intended for diagnostic or therapeutic use.
Publishing research using Anti-PAX2 Antibody [PAX2/1104] - BSA and Azide free (A252739)? Please let us know so that we can list the citation on this page.

Alternative products to Anti-PAX2 Antibody [PAX2/1104] - BSA and Azide free (A252739)

Proteins predicted to interact with PAX2

Predicted protein interactions based upon String database. Revelancy score correlates with probability of interaction.
98.1% Relevancy Score
95.3% Relevancy Score
88.2% Relevancy Score
87.2% Relevancy Score
85.6% Relevancy Score
83.2% Relevancy Score
82.6% Relevancy Score
82.3% Relevancy Score
80.5% Relevancy Score