ISO 9001:2015 Certified
Live Customer Support
4.5/5 on Trustpilot
100% Quality Guarantee

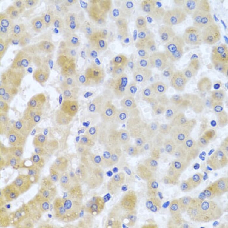
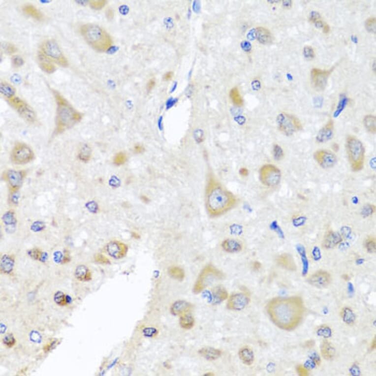
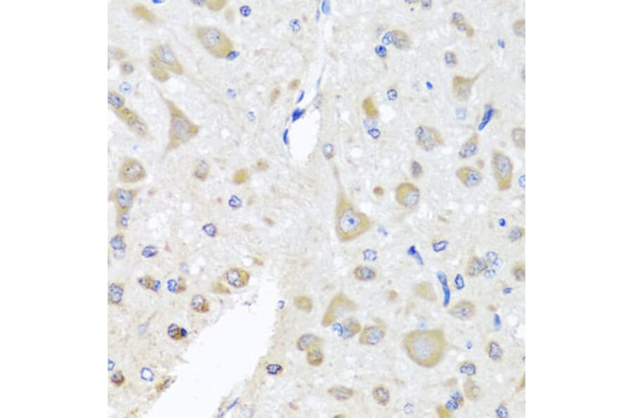
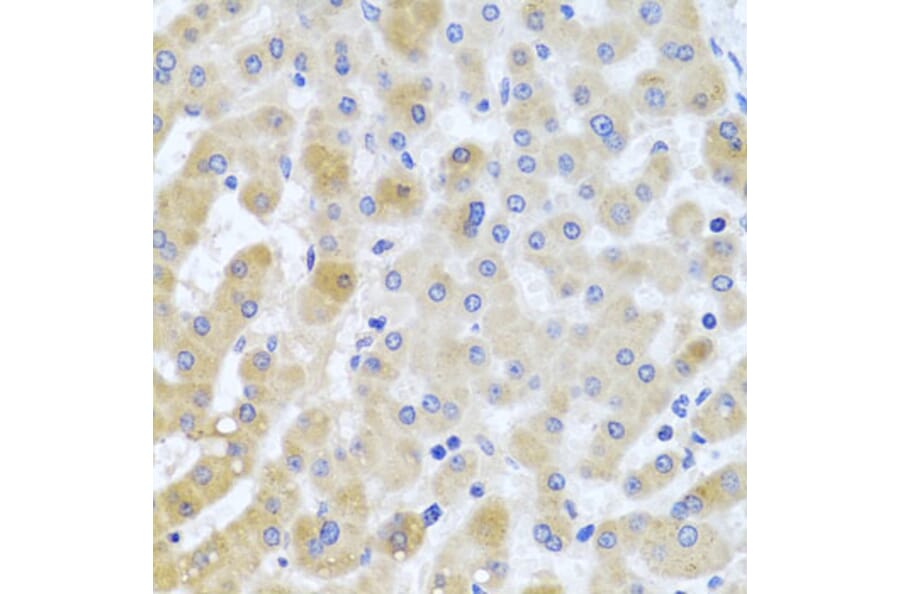
Anti-PCID1 Antibody (A14562)

Rabbit polyclonal antibody to PCID1 for WB and IHC.

Shipping Information

$40
Dispatched from St. Louis, MO.
Lead Time: 7-10 business days.
Name
Anti-PCID1 Antibody
Description
Rabbit polyclonal antibody to PCID1.
Applications
WB, IHC
Dilutions
WB: 1:500-1:2,000, IHC: 1:50-1:200
Reactivity
Human, Mouse, Rat
Immunogen
Recombinant fusion protein containing a sequence corresponding to amino acids 1-374 of human EIF3M (NP_006351.2).
Sequence
MSVPAFIDISEEDQAAELRAYLKSKGAEISEENSEGGLHVDLAQIIEACDVCLKEDDKDVESVMNSVVSLLLILEPDKQEALIESLCEKLVKFREGERPSLRLQLLSNLFHGMDKNTPVRYTVYCSLIKVAASCGAIQYIPTELDQVRKWISDWNLTTEKKHTLLRLLYEALVDCKKSDAASKVMVELLGSYTEDNASQARVDAHRCIVRALKDPNAFLFDHLLTLKPVKFLEGELIHDLLTIFVSAKLASYVKFYQNNKDFIDSLGLLHEQNMAKMRLLTFMGMAVENKEISFDTMQQELQIGADDVEAFVIDAVRTKMVYCKIDQTQRKVVVSHSTHRTFGKQQWQQLYDTLNAWKQNLNKVKNSLLSLSDT
Host
Rabbit
Clonality
Polyclonal
Isotype
IgG
Conjugate

Unconjugated

Purification
Affinity purification.
Concentration
Lot Specific
Molecular Weight
40 kDa
Product Form
Liquid
Formulation
Supplied in Phosphate Buffered Saline, pH 7.3, with 50% Glycerol and 0.02% Sodium Azide.
Storage
Shipped at 4°C. Upon delivery aliquot and store at -20°C. Avoid freeze/thaw cycles.
Synonyms
eIF3m, Eukaryotic translation initiation factor 3 subunit M, Fetal lung protein B5, hFL-B5, HFLB5, PCI domain-containing protein 1
Disclaimer
This product is for research use only. It is not intended for diagnostic or therapeutic use.
Publishing research using Anti-PCID1 Antibody (A14562)? Please let us know so that we can list the citation on this page.

Alternative products to Anti-PCID1 Antibody (A14562)

Proteins predicted to interact with PCID1

Predicted protein interactions based upon String database. Revelancy score correlates with probability of interaction.
99.9% Relevancy Score
99.9% Relevancy Score
99.9% Relevancy Score
99.9% Relevancy Score
99.9% Relevancy Score
99.9% Relevancy Score
99.9% Relevancy Score
99.9% Relevancy Score
99.9% Relevancy Score