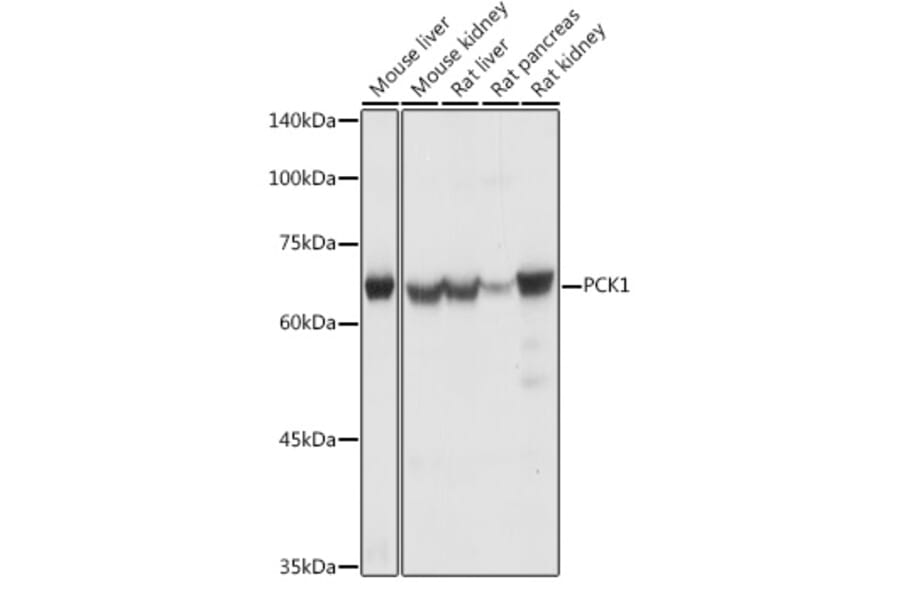
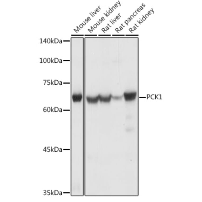
Western blot analysis of extracts of various cell lines, using Anti-PCK1/PEPC Antibody (A13826) at 1:1,000 dilution. The secondary antibody was Goat Anti-Rabbit IgG H&L Antibody (HRP) at 1:10,000 dilution. Lysates/proteins were present at 25µg per lane. The blocking buffer used was 3% non-fat dry milk in TBST. Detection was with a ECL Basic Kit. Exposure time: 1s.
Western blot analysis of extracts of HepG2 cells, using Anti-PCK1/PEPC Antibody (A13826) at 1:1,000 dilution. The secondary antibody was Goat Anti-Rabbit IgG H&L Antibody (HRP) at 1:10,000 dilution. Lysates/proteins were present at 25µg per lane. The blocking buffer used was 3% non-fat dry milk in TBST. Detection was with a ECL Basic Kit. Exposure time: 3s.
Immunofluorescence analysis of rat kidney using Anti-PCK1/PEPC Antibody (A13826) at a dilution of 1:100 (40x lens). DAPI was used to stain the cell nuclei (blue).
Immunofluorescence analysis of human kidney cancer using Anti-PCK1/PEPC Antibody (A13826) at a dilution of 1:100 (40x lens). DAPI was used to stain the cell nuclei (blue).
Immunofluorescence analysis of mouse kidney using Anti-PCK1/PEPC Antibody (A13826) at a dilution of 1:100 (40x lens). DAPI was used to stain the cell nuclei (blue).
Immunoprecipitation analysis of 300µg extracts of mouse liver cells using 3µg of Anti-PCK1/PEPC Antibody (A13826). This Western blot was performed on the immunoprecipitate using Anti-PCK1/PEPC Antibody (A13826) at a dilution of 1:1000.