Primary Antibodies
Secondary Antibodies
Proteins & Peptides
ELISA Kits
About Us
Contact Us
Sign In/Register
0
ISO 9001:2015 Certified
Live Customer Support
4.5/5 on Trustpilot
100% Quality Guarantee
Home
Primary Antibodies
PCM1 Antibodies
Anti-PCM1 Antibody (A38559)
Anti-PCM1 Antibody (A38559)
Overview
Specifications
Images
Enlarge Image
Enlarge Image
$415
Rabbit polyclonal antibody to PCM1 for WB and IHC.
100% Guarantee
Price Match Guarantee
Product Size:
50µl
100µl
Quantity:
1
2
3
4
5
6
7
8
9
10
Add To Cart
Request a Quotation
Custom or Bulk Request
Shipping Information
Freight/Packing Charges:
$40
Dispatched from St. Louis, MO.
Lead Time: 6-9 business days.
Tags:
Cardiomyocyte Marker
Specifications
Name
Anti-PCM1 Antibody
Description
Rabbit polyclonal antibody to PCM1
Specificity
The antibody detects endogenous level of total PCM1 protein.
Applications
WB
,
IHC
Reactivity
Human, Mouse, Rat
Immunogen
Recombinant protein of human PCM1.
Host
Rabbit
Clonality
Polyclonal
Conjugate
Unconjugated
Purification
Antibodies were purified by affinity purification using immunogen.
Concentration
1 mg/ml
Formulation
Supplied at 1.0mg / mL in phosphate buffered saline (without Mg2+ and Ca2+), pH 7.4, 150mM NaCl, 0.02% sodium azide and 50% glycerol.
Storage
Store at -20˚C
Synonyms
hPCM-1, PCM-1, Pericentriolar material 1 protein
Suitable Secondaries
Goat Anti-Rabbit IgG H&L Antibody (AP) (A294874)
Goat Anti-Rabbit IgG H&L Antibody (Biotin) (A294795)
Goat Anti-Rabbit IgG H&L Antibody (FITC) (A294887)
Goat Anti-Rabbit IgG H&L Antibody (HRP) (A294888)
See all Anti-Rabbit IgG Secondaries →
Disclaimer
This product is for research use only. It is not intended for diagnostic or therapeutic use.
Scientific Validation Data
Validation Data
(2)
Enlarge Image
Anti-PCM1 Antibody (A38559)
Western blot analysis of extracts of various cell lines, using PCM1 antibody.
Enlarge Image
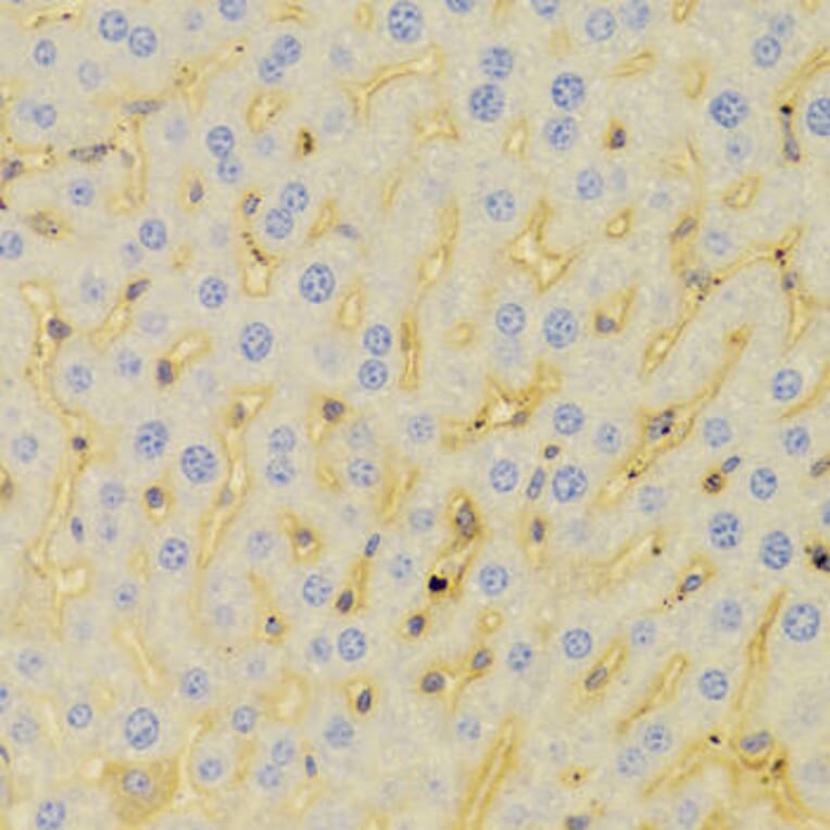
Immunohistochemistry - Anti-PCM1 Antibody (A38559)
Immunohistochemistry of paraffin-embedded Mouse liver using PCM1 antibody at dilution of 1: 100 (x400 lens).
Publishing research using Anti-PCM1 Antibody (A38559)? Please
let us know
so that we can list the citation on this page.
Alternative products to Anti-PCM1 Antibody (A38559)
(2)
A89031
Anti-PCM1 Antibody
Rabbit polyclonal antibody to PCM1 for WB and ICC/IF.
A329721
Anti-PCM1 Antibody
Rabbit polyclonal antibody to PCM1 for WB and ELISA.
(2)
A89031
Anti-PCM1 Antibody
Rabbit polyclonal antibody to PCM1 for WB and ICC/IF.
A329721
Anti-PCM1 Antibody
Rabbit polyclonal antibody to PCM1 for WB and ELISA.
Proteins predicted to interact with PCM1
Predicted protein interactions based upon String database. Revelancy score correlates with probability of interaction.
BBS4 Antibodies
98.7% Relevancy Score
Pericentrin Antibodies
96.3% Relevancy Score
CEP290 Antibodies
95.6% Relevancy Score
PLK1 Antibodies
94.4% Relevancy Score
OFD1 Antibodies
92.9% Relevancy Score
AZI1 Antibodies
92.4% Relevancy Score
Huntingtin Associated Protein 1 Antibodies
84.8% Relevancy Score
MIB1 Antibodies
83.2% Relevancy Score
RAB8A Antibodies
82.7% Relevancy Score
Top