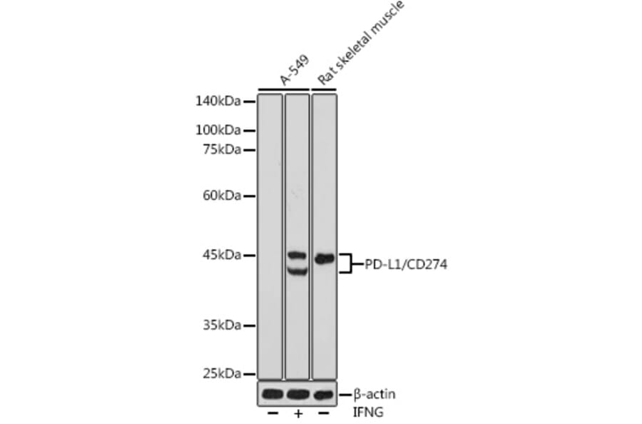
Western blot analysis of extracts of various cell lines, using Anti-PD-L1 Antibody (A80578) at 1:500 dilution. A-549 cells were treated by IFNG (100 ng/ml) at 37°C for 48 hours. The secondary antibody was Goat Anti-Rabbit IgG H&L Antibody (HRP) at 1:10,000 dilution. Lysates/proteins were present at 25µg per lane. The blocking buffer used was 3% non-fat dry milk in TBST. Detection was with a ECL Basic Kit. Exposure time: 180s.
Western blot analysis of extracts of Mouse skeletal muscle, using Anti-PD-L1 Antibody (A80578) at 1:500 dilution. The secondary antibody was Goat Anti-Rabbit IgG H&L Antibody (HRP) at 1:10,000 dilution. Lysates/proteins were present at 25µg per lane. The blocking buffer used was 3% non-fat dry milk in TBST. Detection was with a ECL Enhanced Kit. Exposure time: 180s.
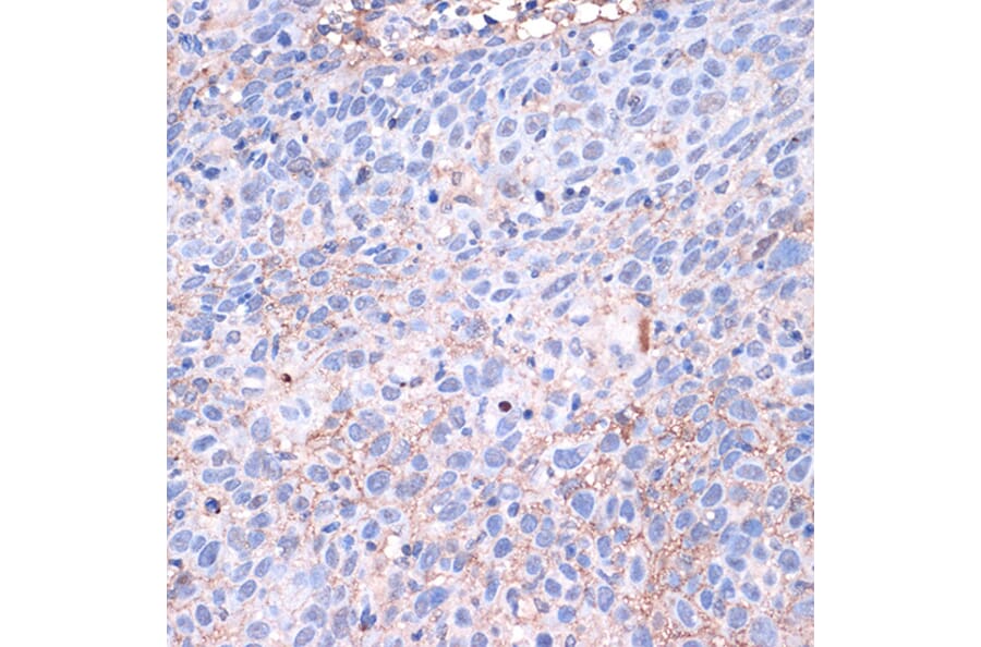
Immunohistochemistry analysis of paraffin-embedded human esophageal cancer using Anti-PD-L1 Antibody (A80578) at a dilution of 1:100 (40x lens). Perform high pressure antigen retrieval with 10 mM citrate buffer pH 6.0 before commencing with IHC staining protocol.
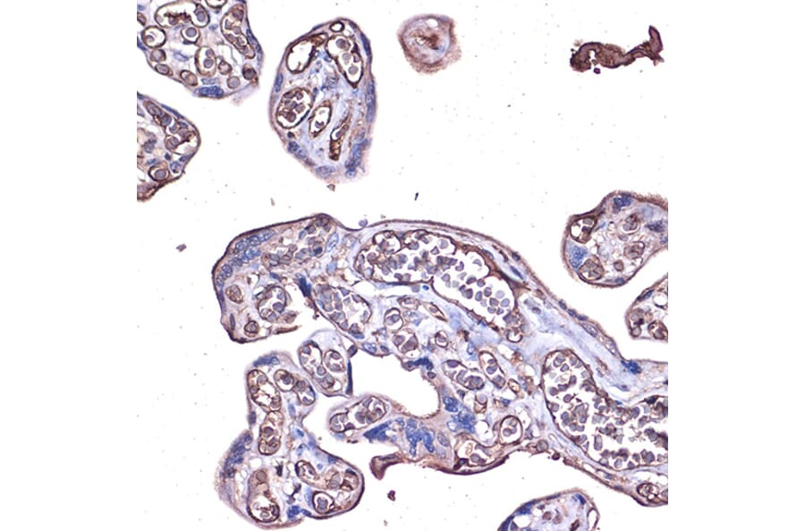
Immunohistochemistry analysis of paraffin-embedded human placenta using Anti-PD-L1 Antibody (A80578) at a dilution of 1:100 (40x lens). Perform high pressure antigen retrieval with 10 mM citrate buffer pH 6.0 before commencing with IHC staining protocol.
Publishing research using Anti-PD-L1 Antibody (A80578)? Please let us know so that we can list the citation on this page.
Alternative products to Anti-PD-L1 Antibody (A80578)
Recombinant rat monoclonal antibody to PD-L1 [10F9G2] for use as a research grade 10F9G2 biosimila for WB, Flow Cytometry, ICC/IF, IHC-F, in vivo PD-L1 blockade, in vitro PD-L1 blockade and ICC/IF.
Recombinant human monoclonal antibody to PD-L1 for use as a research grade Durvalumab biosimilar for ELISA, Flow Cytometry, Functional Studies and in vivo Research.
Recombinant human monoclonal antibody to PD-L1 for use as a research grade Avelumab biosimilar for ELISA, Flow Cytometry, Functional Studies and in vivo Research.
Recombinant human monoclonal antibody to PD-L1 for use as a research grade Manelimab biosimilar for ELISA, Flow Cytometry, Functional Studies and in vivo Research.
Recombinant rat monoclonal antibody to PD-L1 [10F9G2] for use as a research grade 10F9G2 biosimila for WB, Flow Cytometry, ICC/IF, IHC-F, in vivo PD-L1 blockade, in vitro PD-L1 blockade and ICC/IF.
Recombinant human monoclonal antibody to PD-L1 for use as a research grade Durvalumab biosimilar for ELISA, Flow Cytometry, Functional Studies and in vivo Research.
Recombinant human monoclonal antibody to PD-L1 for use as a research grade Avelumab biosimilar for ELISA, Flow Cytometry, Functional Studies and in vivo Research.
Recombinant human monoclonal antibody to PD-L1 for use as a research grade Manelimab biosimilar for ELISA, Flow Cytometry, Functional Studies and in vivo Research.