Western Blot - Anti-PD-L1 Antibody [ARC2478] (A307692)
Western blot analysis of extracts of U-87MG cells, using Anti-PD-L1 Antibody [ARC2478] (A307692) at 1:500 dilution. The secondary antibody was Goat Anti-Rabbit IgG H&L Antibody (HRP) at 1:10,000 dilution. Lysates/proteins were present at 25µg per lane. The blocking buffer used was 3% non-fat dry milk in TBST. Detection was with a ECL Basic Kit. Exposure time: 180s.
Western Blot - Anti-PD-L1 Antibody [ARC2478] (A307692)
Western blot analysis of extracts of various cell lines, using Anti-PD-L1 Antibody [ARC2478] (A307692) at 1:500 dilution. The secondary antibody was Goat Anti-Rabbit IgG H&L Antibody (HRP) at 1:10,000 dilution. Lysates/proteins were present at 25µg per lane. The blocking buffer used was 3% non-fat dry milk in TBST. Detection was with a ECL Enhanced Kit (RM00021). Exposure time: 180s.
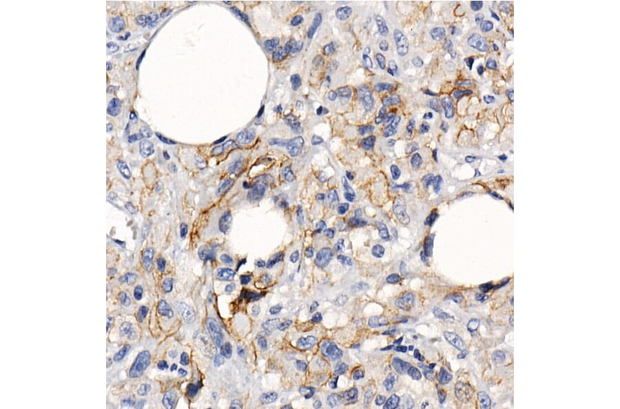
Immunohistochemistry analysis of paraffin-embedded human chronic tonsillitis using Anti-PD-L1 Antibody [ARC2478] (A307692) at a dilution of 1:200 (40x lens). Perform high pressure antigen retrieval with 10 mM citrate buffer pH 6.0 before commencing with IHC staining protocol.
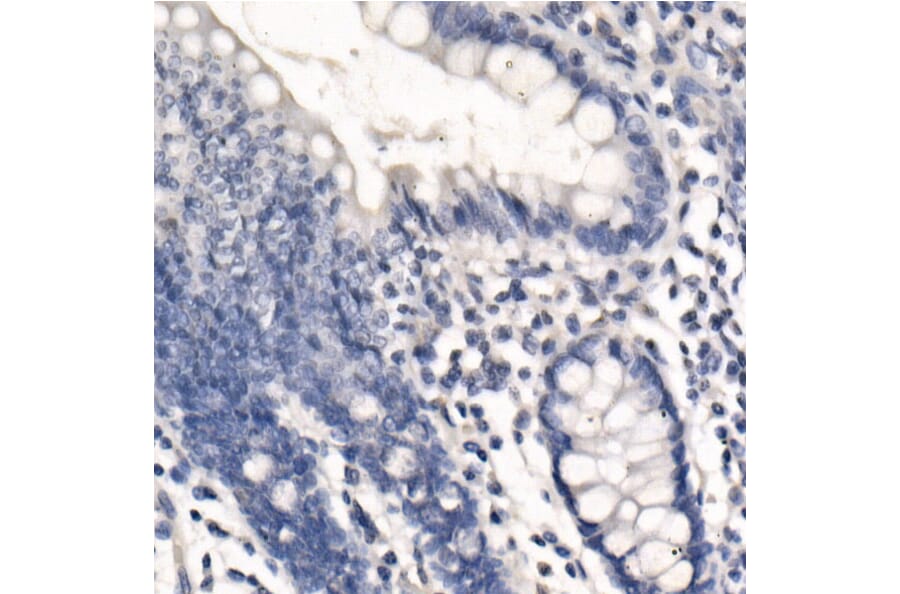
Immunohistochemistry analysis of paraffin-embedded human intestinal adenocarcinoma (negative control samples) using Anti-PD-L1 Antibody [ARC2478] (A307692) at a dilution of 1:200 (40x lens). Perform high pressure antigen retrieval with 10 mM citrate buffer pH 6.0 before commencing with IHC staining protocol.
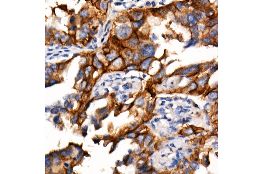
Immunohistochemistry analysis of paraffin-embedded human lung adenocarcinoma using Anti-PD-L1 Antibody [ARC2478] (A307692) at a dilution of 1:200 (40x lens). Perform high pressure antigen retrieval with 10 mM citrate buffer pH 6.0 before commencing with IHC staining protocol.
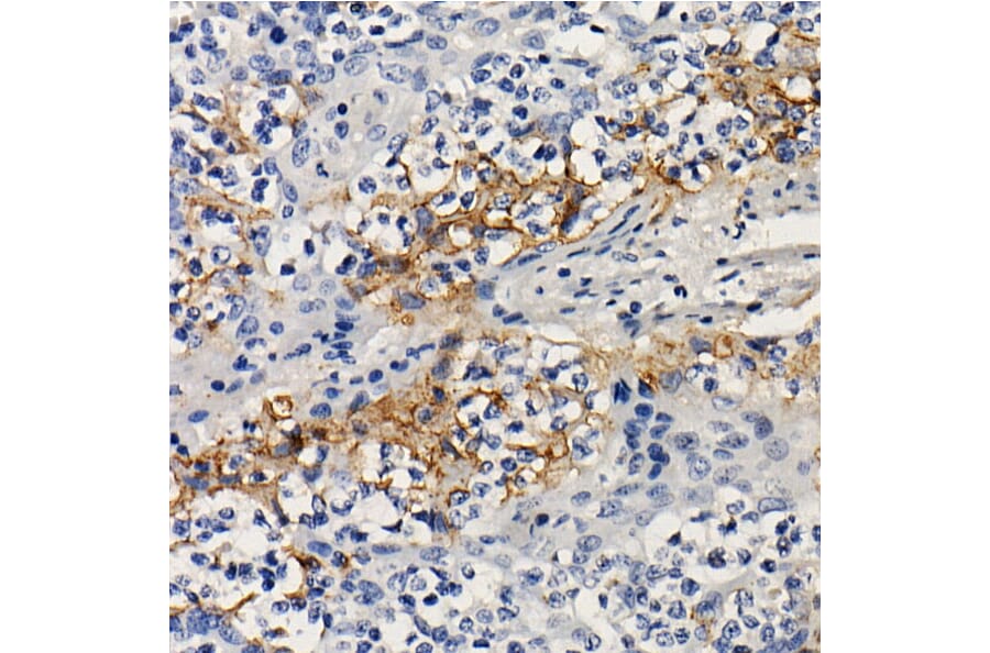
Immunohistochemistry analysis of paraffin-embedded human lung cancer sarcoma using Anti-PD-L1 Antibody [ARC2478] (A307692) at a dilution of 1:200 (40x lens). Perform high pressure antigen retrieval with 10 mM citrate buffer pH 6.0 before commencing with IHC staining protocol.
Immunohistochemistry analysis of paraffin-embedded human lung squamous carcinoma tissue using Anti-PD-L1 Antibody [ARC2478] (A307692) at a dilution of 1:200 (40x lens). Perform high pressure antigen retrieval with 10 mM citrate buffer pH 6.0 before commencing with IHC staining protocol.
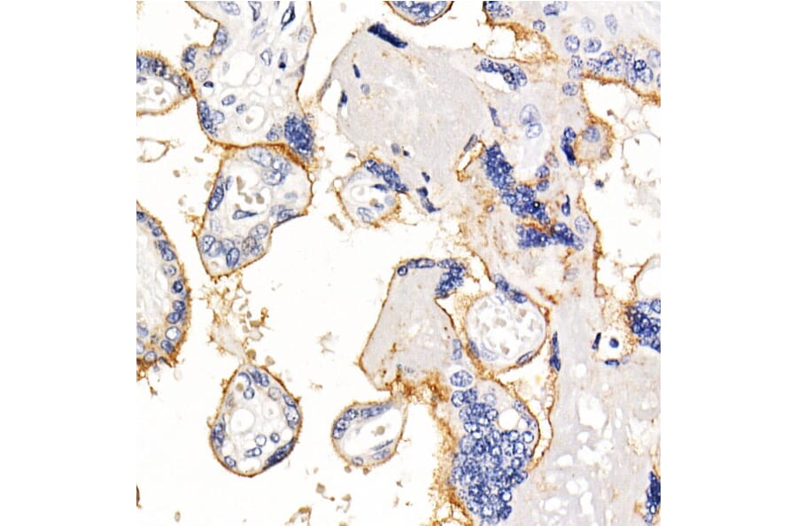
Immunohistochemistry analysis of paraffin-embedded human placenta using Anti-PD-L1 Antibody [ARC2478] (A307692) at a dilution of 1:200 (40x lens). Perform high pressure antigen retrieval with 10 mM citrate buffer pH 6.0 before commencing with IHC staining protocol.