Western blot analysis of extracts from wild type(WT) and PDCD6 knockout (KO) 293T(KO) cells, using Anti-PDCD6/ALG-2 Antibody (A15330) at 1:1,000 dilution. The secondary antibody was Goat Anti-Rabbit IgG H&L Antibody (HRP) at 1:10,000 dilution. Lysates/proteins were present at 25µg per lane. The blocking buffer used was 3% non-fat dry milk in TBST. Detection was with a ECL Basic Kit. Exposure time: 1s.
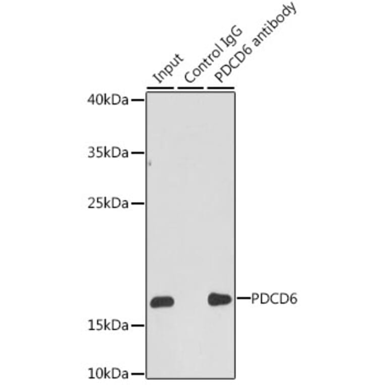
Immunoprecipitation analysis of 200µg extracts of HepG2 cells using 3µg of Anti-PDCD6/ALG-2 Antibody (A15330). This Western blot was performed on the immunoprecipitate using Anti-PDCD6/ALG-2 Antibody (A15330) at a dilution of 1:1000.
Publishing research using Anti-PDCD6/ALG-2 Antibody (A15330)? Please let us know so that we can list the citation on this page.