ISO 9001:2015 Certified
Live Customer Support
4.5/5 on Trustpilot
100% Quality Guarantee

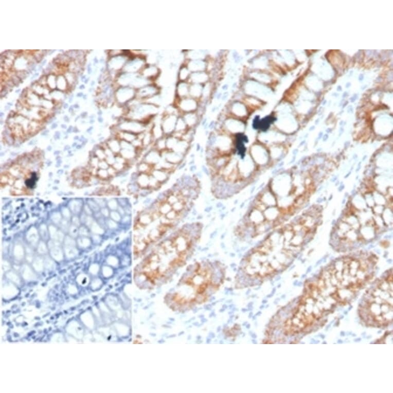
Anti-PDGFB Antibody [PDGFB/3071] - BSA and Azide free (A278326)

Mouse monoclonal [PDGFB/3071] antibody to PDGFB for IHC-P.

Alternative Formats and ConjugatesAlternative Formats

Shipping Information

$40
Dispatched from St. Louis, MO.
Lead Time: 5-8 business days.
Name
Anti-PDGFB Antibody [PDGFB/3071] - BSA and Azide free
Description
Mouse monoclonal [PDGFB/3071] antibody to PDGFB.
Specificity
PDGF is a mitogen for mesenchyme- and glia-derived cells. It consists of two disulfide-bonded polypeptide chains, A and B, and occurs as three isoforms; PDGF AA, AB and BB. The three isoforms bind, with different affinities, to two receptor types, αand β, which are structurally related and endowed with protein-tyrosine kinase domains. Ligand binding induces activation of the receptor kinases by formation of receptor dimers; the A subunit of PDGF binds only to α receptors with high affinity, whereas the B subunit can bind to both α and β receptors. Evidence suggests that PDGF may function as a neurotrophic factor. Receptors for PDGF-A are expressed in oligodendrocyte progenitor cells whereas receptors for PDGF-B are expressed on neurons. These facts suggest that the different isoforms of PDGF may regulate growth and differentiation of different cell types in the developing central nervous system through paracrine and autocrine routes.
Applications
IHC-P
Dilutions
IHC-P: 1-2 µg/ml
Reactivity
Human
Immunogen
Recombinant fragment, around amino acids 27-158, of human PDGFB protein. The exact sequence is proprietary.
Host
Mouse
Clonality
Monoclonal
Clone ID
PDGFB/3071
Isotype
IgG2c
Light Chains
kappa
Conjugate

Unconjugated

Purification
Protein A/G chromatography.
Concentration
1 mg/ml
Molecular Weight
14 kDa (monomeric B chain) / 31-35 kDa (dimer)
Product Form
Liquid
Formulation
Supplied in 10mM Phosphate Buffered Saline; without Sodium Azide and carrier free.
Storage
Shipped at 4°C. Upon delivery aliquot and store at -20°C. Avoid freeze / thaw cycles.
General Notes
This monoclonal antibody is also available in a different formulation with BSA and Sodium Azide - Anti-PDGFB Antibody [PDGFB/3071] (A277738).
Synonyms
PDGF subunit B, PDGF-2, PDGF2, Platelet-derived growth factor B chain, Platelet-derived growth factor beta polypeptide, Platelet-derived growth factor subunit B, Proto-oncogene c-Sis, SIS
Disclaimer
This product is for research use only. It is not intended for diagnostic or therapeutic use.
Publishing research using Anti-PDGFB Antibody [PDGFB/3071] - BSA and Azide free (A278326)? Please let us know so that we can list the citation on this page.

Alternative products to Anti-PDGFB Antibody [PDGFB/3071] - BSA and Azide free (A278326)

Proteins predicted to interact with PDGF B

Predicted protein interactions based upon String database. Revelancy score correlates with probability of interaction.
99.9% Relevancy Score
99.9% Relevancy Score
99.8% Relevancy Score
99.6% Relevancy Score
99% Relevancy Score
96.8% Relevancy Score
95.5% Relevancy Score
95.3% Relevancy Score
94.9% Relevancy Score