ISO 9001:2015 Certified
Live Customer Support
4.5/5 on Trustpilot
100% Quality Guarantee

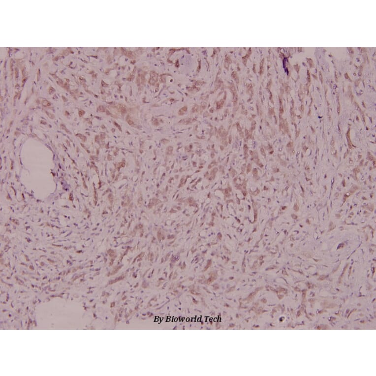
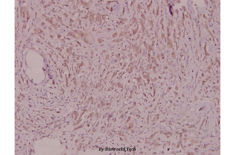
Anti-PDGFR-β (D1003) Antibody (A25773)

This product is discontinued

Anti-PDGFR-β (D1003) Antibody (A25773) has been discontinued and is no longer available.

View all available products.

Name
Anti-PDGFR-β (D1003) Antibody
Description
Rabbit polyclonal antibody to PDGFR-β (D1003)
Specificity
PDGFR-β (D1003) pAb detects endogenous levels of PDGFR-β protein.
Applications
IHC, IF
Reactivity
Human, Mouse, Rat
Immunogen
Synthetic peptide, corresponding to amino acids 971-1020 of Human PDGFR-β.
Host
Rabbit
Clonality
Polyclonal
Conjugate

Unconjugated

Molecular Weight
~ 124, 190 kDa
Purity
The antibody was affinity-purified from rabbit antiserum by affinity-chromatography using epitope-specific immunogen and the purity is > 95% (by SDS-PAGE).
Product Form
1 mg/ml in Phosphate buffered saline (PBS) with 0.05% sodium azide, approx. pH 7.2.
Disclaimer
This product is for research use only. It is not intended for diagnostic or therapeutic use.