ISO 9001:2015 Certified
Live Customer Support
4.5/5 on Trustpilot
100% Quality Guarantee

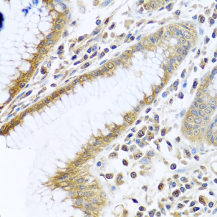
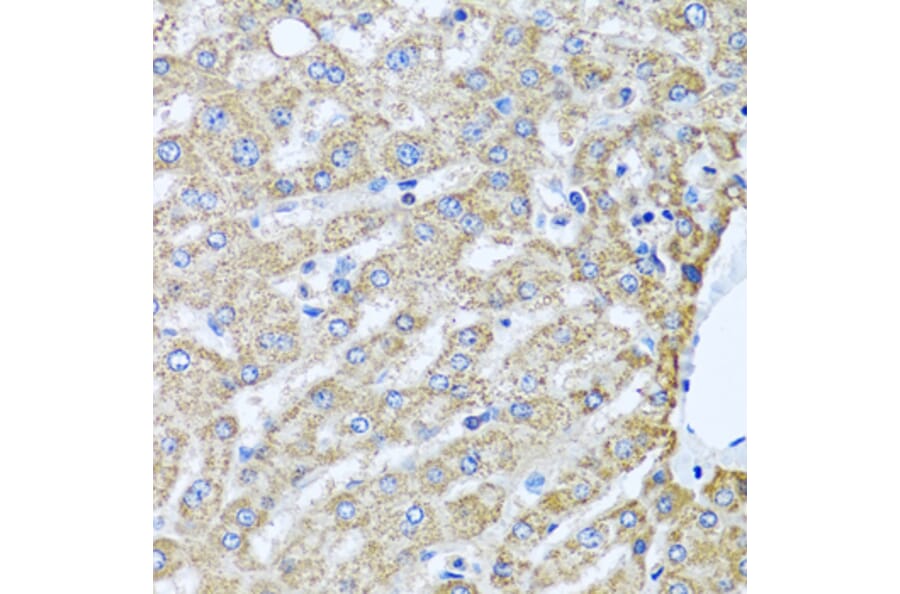
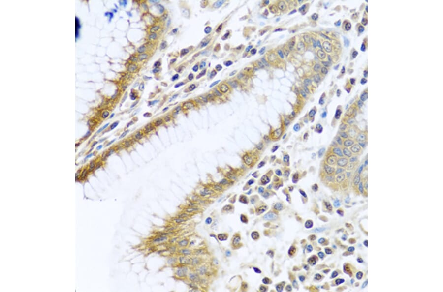
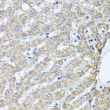
Anti-PEDS1 Antibody (A10411)

This product is discontinued

Anti-PEDS1 Antibody (A10411) has been discontinued and is no longer available.

View all available products.

Name
Anti-PEDS1 Antibody
Description
Rabbit polyclonal antibody to PEDS1.
Applications
WB, IHC
Dilutions
WB: 1:500-1:2,000, IHC: 1:50-1:100
Reactivity
Human
Immunogen
A synthetic peptide corresponding to a sequence within amino acids 200 to the C-terminus of human TMEM189 (NP_954580.1).
Sequence
TLLQDWHVILPRKHHRIHHVSPHETYFCITTGWLNYPLEKIGFWRRLEDLIQGLTGEKPRADDMKWAQKIK
Host
Rabbit
Clonality
Polyclonal
Isotype
IgG
Conjugate

Unconjugated

Purification
Affinity purification.
Molecular Weight
31 kDa
Product Form
Liquid
Formulation
Supplied in Phosphate Buffered Saline, pH 7.3, with 50% Glycerol and 0.02% Sodium Azide.
Storage
Shipped at 4°C. Upon delivery aliquot and store at -20°C. Avoid freeze / thaw cycles.
Disclaimer
This product is for research use only. It is not intended for diagnostic or therapeutic use.