Primary Antibodies
Secondary Antibodies
Proteins & Peptides
ELISA Kits
About Us
Contact Us
Sign In/Register
0
ISO 9001:2015 Certified
Live Customer Support
4.5/5 on Trustpilot
100% Quality Guarantee
Home
Primary Antibodies
PELP1 Antibodies
Anti-PELP1 Antibody (A38154)
Anti-PELP1 Antibody (A38154)
Overview
Specifications
Images
Enlarge Image
Enlarge Image
Enlarge Image
Enlarge Image
Enlarge Image
Enlarge Image
Enlarge Image
Enlarge Image
+1
$415
Product Datasheet
Rabbit polyclonal antibody to PELP1 for WB, ICC/IF and IHC.
100% Guarantee
Price Match Guarantee
Product Size:
50µl
100µl
Quantity:
1
2
3
4
5
6
7
8
9
10
Add To Cart
Request a Quotation
Custom or Bulk Request
Shipping Information
Freight/Packing Charges:
$40
Dispatched from St. Louis, MO.
Lead Time: 6-9 business days.
Specifications
Name
Anti-PELP1 Antibody
Description
Rabbit polyclonal antibody to PELP1
Specificity
The antibody detects endogenous level of total PELP1 antibody.
Applications
WB
,
ICC/IF
,
IHC
Reactivity
Human, Mouse, Rat
Immunogen
Recombinant protein of human PELP1.
Host
Rabbit
Clonality
Polyclonal
Conjugate
Unconjugated
Purification
Antibodies were purified by affinity purification using immunogen.
Concentration
1.0 mg/mL
Formulation
Supplied in phosphate-buffered saline (without Mg²? and Ca²?), pH 7.4, containing 150 mM NaCl, 0.02% sodium azide, and 50% glycerol.
Storage
Shipped at 4°C. Upon delivery aliquot and store at -20°C. Avoid freeze/thaw cycles.
Synonyms
HMX3, MNAR, Modulator of non-genomic activity of estrogen receptor, Proline-, glutamic acid- and leucine-rich protein 1, Transcription factor HMX3
Suitable Secondaries
Goat Anti-Rabbit IgG H&L Antibody (AP) (A294874)
Goat Anti-Rabbit IgG H&L Antibody (Biotin) (A294795)
Goat Anti-Rabbit IgG H&L Antibody (FITC) (A294887)
Goat Anti-Rabbit IgG H&L Antibody (HRP) (A294888)
See all Anti-Rabbit IgG Secondaries →
Disclaimer
This product is for research use only. It is not intended for diagnostic or therapeutic use.
Scientific Validation Data
Validation Data
(8)
Enlarge Image
Anti-PELP1 Antibody (A38154)
Western blot analysis of extracts of HeLa cell line, using PELP1 antibody.
Enlarge Image
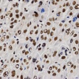
Immunohistochemistry - Anti-PELP1 Antibody (A38154)
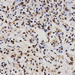
Immunohistochemistry analysis of paraffin-embedded rat brain tissue using PELP1 antibody at dilution of 1: 200 (x400 lens).
Enlarge Image
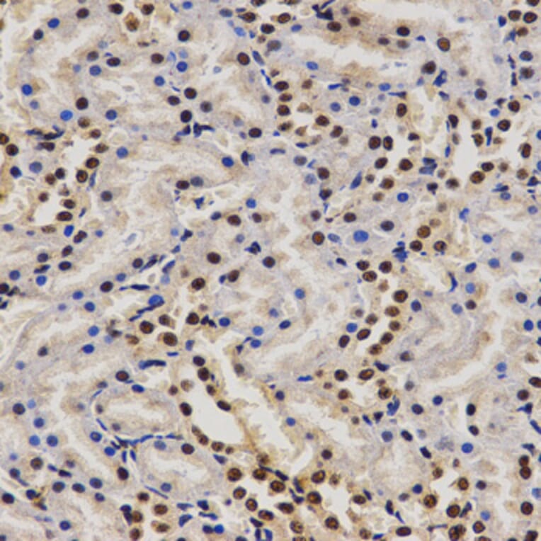
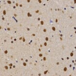
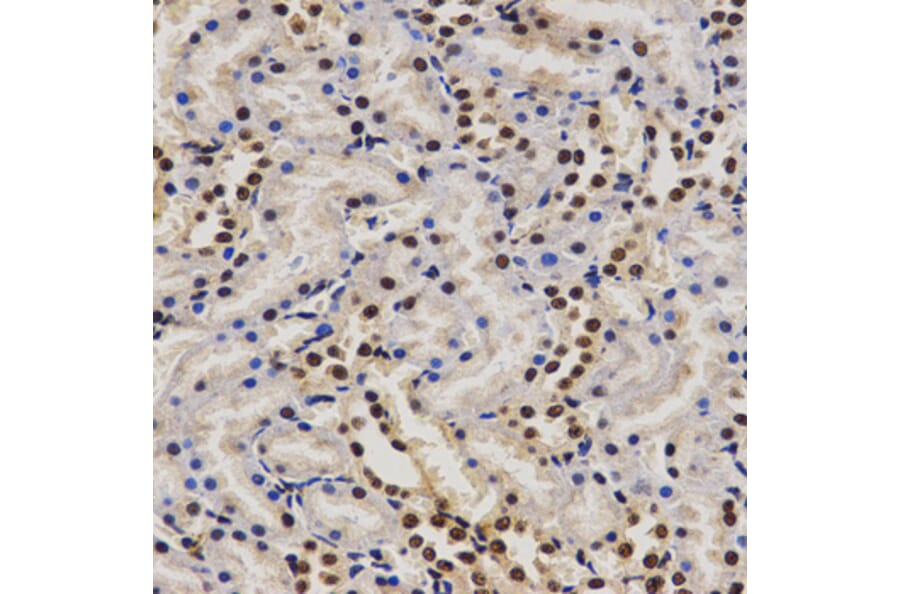
Immunohistochemistry - Anti-PELP1 Antibody (A38154)
Immunohistochemistry analysis of paraffin-embedded rat kidney tissue using PELP1 antibody at dilution of 1: 200 (x400 lens).
Enlarge Image
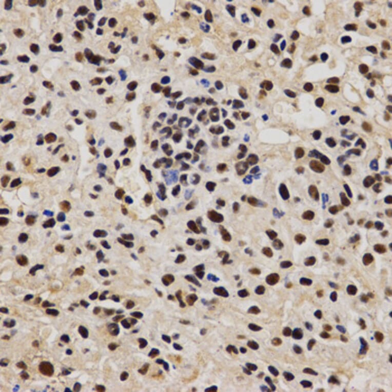
Immunohistochemistry - Anti-PELP1 Antibody (A38154)
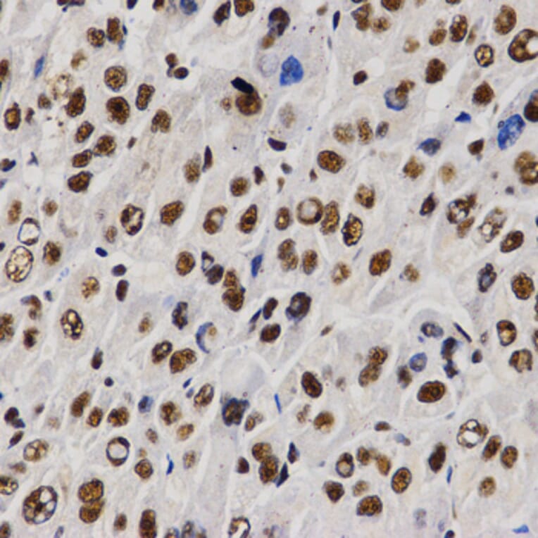
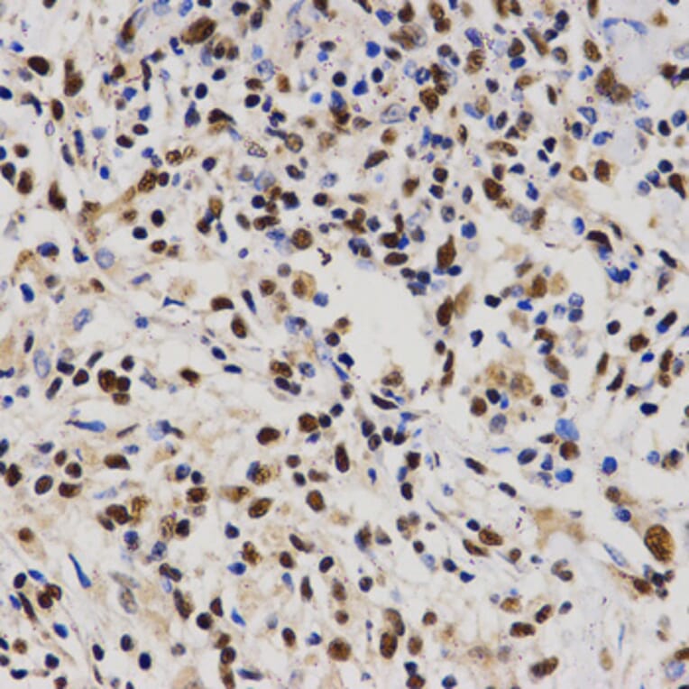
Immunohistochemistry analysis of paraffin-embedded human lung cancer tissue using PELP1 antibody at dilution of 1: 200 (x400 lens).
Enlarge Image
Immunohistochemistry - Anti-PELP1 Antibody (A38154)
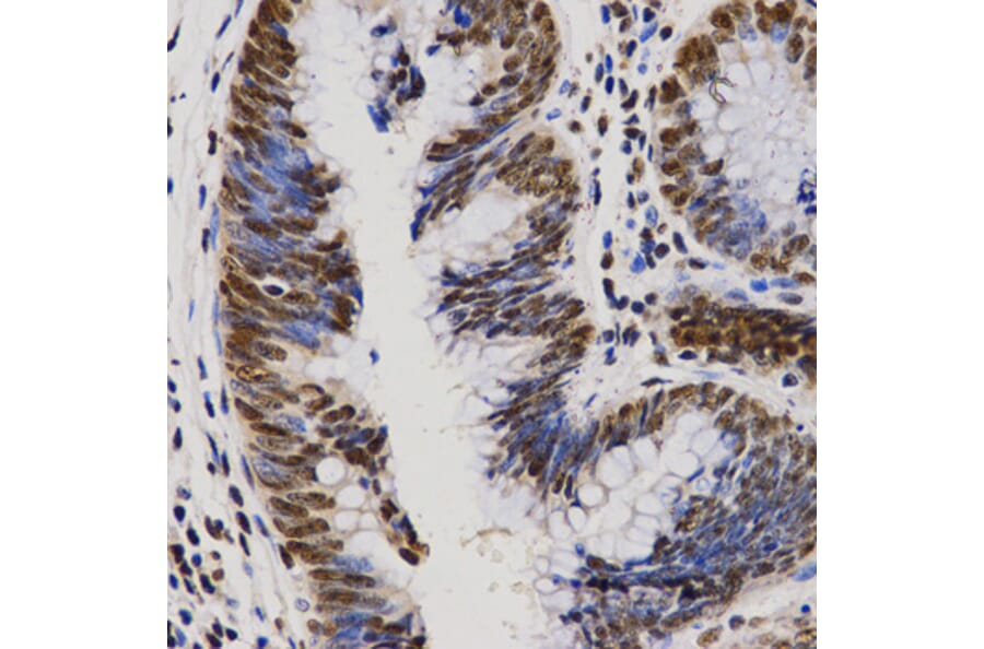
Immunohistochemistry analysis of paraffin-embedded human rectal cancer tissue using PELP1 antibody at dilution of 1: 200 (x400 lens).
Enlarge Image
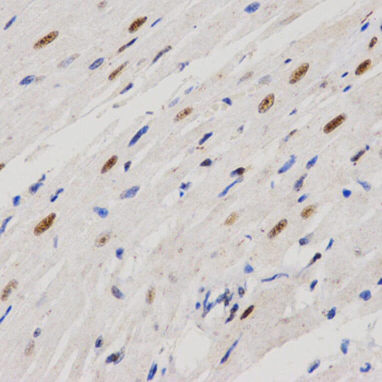
Immunohistochemistry - Anti-PELP1 Antibody (A38154)
Immunohistochemistry analysis of paraffin-embedded rat heart tissue using PELP1 antibody at dilution of 1: 200 (x400 lens).
Enlarge Image
Immunohistochemistry - Anti-PELP1 Antibody (A38154)
Immunohistochemistry analysis of paraffin-embedded human liver cancer tissue using PELP1 antibody at dilution of 1: 200 (x400 lens).
Enlarge Image
Immunohistochemistry - Anti-PELP1 Antibody (A38154)
Immunohistochemistry analysis of paraffin-embedded human liver fibrosis tissue using PELP1 antibody at dilution of 1: 200 (x400 lens)
Show more images
Publishing research using Anti-PELP1 Antibody (A38154)? Please
let us know
so that we can list the citation on this page.
Alternative products to Anti-PELP1 Antibody (A38154)
(3)
A14400
Anti-PELP1 Antibody
Rabbit polyclonal antibody to PELP1 for WB, IHC and ICC/IF.
(3)
A92669
Anti-PELP1 Antibody
Rabbit polyclonal antibody to PELP1 for IHC.
(2)
A30714
Anti-PELP1 Antibody
Rabbit polyclonal antibody to PELP1 for WB and IHC.
(2)
A305770
Anti-PELP1 Antibody [ARC1387]
Rabbit monoclonal [ARC1387] antibody to PELP1 for WB.
A347733
Anti-PELP1 Antibody [24GB1145]
Recombinant rabbit monoclonal [24GB1145] antibody to PELP1 for WB, Flow Cytometry and ICC/IF.
A347732
Anti-PELP1 Antibody [24GB9505]
Recombinant rabbit monoclonal [24GB9505] antibody to PELP1 for WB and Flow Cytometry.
(3)
A14400
Anti-PELP1 Antibody
Rabbit polyclonal antibody to PELP1 for WB, IHC and ICC/IF.
(3)
A92669
Anti-PELP1 Antibody
Rabbit polyclonal antibody to PELP1 for IHC.
(2)
A30714
Anti-PELP1 Antibody
Rabbit polyclonal antibody to PELP1 for WB and IHC.
(2)
A305770
Anti-PELP1 Antibody [ARC1387]
Rabbit monoclonal [ARC1387] antibody to PELP1 for WB.
A347733
Anti-PELP1 Antibody [24GB1145]
Recombinant rabbit monoclonal [24GB1145] antibody to PELP1 for WB, Flow Cytometry and ICC/IF.
A347732
Anti-PELP1 Antibody [24GB9505]
Recombinant rabbit monoclonal [24GB9505] antibody to PELP1 for WB and Flow Cytometry.
See all PELP1 Antibodies
Proteins predicted to interact with PELP1
Predicted protein interactions based upon String database. Revelancy score correlates with probability of interaction.
WDR18 Antibodies
99.9% Relevancy Score
SENP3 Antibodies
99.7% Relevancy Score
NOL9 Antibodies
96.4% Relevancy Score
Estrogen Receptor alpha Antibodies
95% Relevancy Score
RUVBL1 Antibodies
92.5% Relevancy Score
Reptin Antibodies
92.2% Relevancy Score
WDR5 Antibodies
92.1% Relevancy Score
TAF9 Antibodies
91.4% Relevancy Score
MYST1 Antibodies
91% Relevancy Score
Top