Primary Antibodies
Secondary Antibodies
Proteins & Peptides
ELISA Kits
About Us
Contact Us
Sign In/Register
0
ISO 9001:2015 Certified
Live Customer Support
4.5/5 on Trustpilot
100% Quality Guarantee
Home
Primary Antibodies
PEN2 Antibodies
Anti-PEN2 Antibody (A48353)
Anti-PEN2 Antibody (A48353)
Overview
Specifications
Images
Enlarge Image
Enlarge Image
$780
Product Datasheet
Rabbit polyclonal antibody to PEN2 for ELISA, WB and IHC.
100% Guarantee
Price Match Guarantee
Product Size:
100µl
Quantity:
1
2
3
4
5
6
7
8
9
10
Add To Cart
Request a Quotation
Custom or Bulk Request
Shipping Information
Freight/Packing Charges:
$40
Dispatched from St. Louis, MO.
Lead Time: 6-9 business days.
Specifications
Name
Anti-PEN2 Antibody
Description
Rabbit polyclonal antibody to PEN2
Applications
ELISA
,
WB
,
IHC
Reactivity
Human, Mouse, Rat
Immunogen
Raised against a 13 amino acid peptide from near the amino terminus of human PEN2.
Host
Rabbit
Clonality
Polyclonal
Conjugate
Unconjugated
Purification
Affinity chromatography purified via peptide column
Formulation
Supplied in phosphate-buffered saline with 0.02% Sodium Azide.
Storage
Shipped at 4°C. Upon delivery aliquot and store at -20°C. Avoid freeze/thaw cycles.
Synonyms
Gamma-secretase subunit PEN-2, Presenilin enhancer protein 2, PSENEN
Suitable Secondaries
Goat Anti-Rabbit IgG H&L Antibody (AP) (A294874)
Goat Anti-Rabbit IgG H&L Antibody (Biotin) (A294795)
Goat Anti-Rabbit IgG H&L Antibody (FITC) (A294887)
Goat Anti-Rabbit IgG H&L Antibody (HRP) (A294888)
See all Anti-Rabbit IgG Secondaries →
Disclaimer
This product is for research use only. It is not intended for diagnostic or therapeutic use.
Scientific Validation Data
Validation Data
(2)
Enlarge Image
Anti-PEN2 Antibody (A48353)
Western blot analysis of PEN2 in A-20 cell lysate with PEN2 antibody at (A) 0.5 and (B) 1 µg/mL.
Enlarge Image
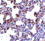
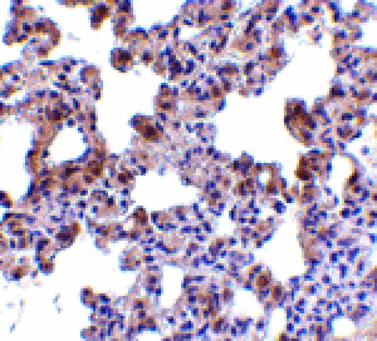
Immunohistochemistry - Anti-PEN2 Antibody (A48353)
Immunohistochemistry of PEN2 in rat lung tissue with PEN2 antibody at 2.5 µg/mL.
Publishing research using Anti-PEN2 Antibody (A48353)? Please
let us know
so that we can list the citation on this page.
Alternative products to Anti-PEN2 Antibody (A48353)
(2)
A48665
Anti-PEN2 Antibody
Rabbit polyclonal antibody to PEN2 for ELISA, WB and ICC/IF.
(2)
A307565
Anti-PEN2 Antibody [ARC1779]
Rabbit monoclonal [ARC1779] antibody to PEN2 for WB and ICC/IF.
A88448
Anti-PEN2 Antibody
Rabbit polyclonal antibody to PEN2 for WB and ICC/IF.
(2)
A48665
Anti-PEN2 Antibody
Rabbit polyclonal antibody to PEN2 for ELISA, WB and ICC/IF.
(2)
A307565
Anti-PEN2 Antibody [ARC1779]
Rabbit monoclonal [ARC1779] antibody to PEN2 for WB and ICC/IF.
A88448
Anti-PEN2 Antibody
Rabbit polyclonal antibody to PEN2 for WB and ICC/IF.
Proteins predicted to interact with PEN2
Predicted protein interactions based upon String database. Revelancy score correlates with probability of interaction.
Presenilin 1 Antibodies
99.9% Relevancy Score
Presenilin 2 Antibodies
99.9% Relevancy Score
Nicastrin Antibodies
99.9% Relevancy Score
Aph 1b Antibodies
99.9% Relevancy Score
APH1a Antibodies
99.9% Relevancy Score
TMP21 Antibodies
99.2% Relevancy Score
APP Antibodies
98.6% Relevancy Score
Notch1 Antibodies
96.6% Relevancy Score
BACE1 Antibodies
87.5% Relevancy Score
Top