ISO 9001:2015 Certified
Live Customer Support
4.5/5 on Trustpilot
100% Quality Guarantee

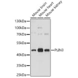
Anti-Perilipin 3/TIP47 Antibody (A87658)

This product is discontinued

Anti-Perilipin 3/TIP47 Antibody (A87658) has been discontinued and is no longer available.

View all available products.

Name
Anti-Perilipin 3/TIP47 Antibody
Description
Rabbit polyclonal antibody to Perilipin 3/TIP47.
Applications
WB
Dilutions
WB: 1:500-1:1,000
Reactivity
Human, Mouse
Immunogen
Recombinant fusion protein containing a sequence corresponding to amino acids 135-434 of human PLIN3 (NP_005808.3).
Sequence
MVSSAKDTVATQLSEAVDATRGAVQSGVDKTKSVVTGGVQSVMGSRLGQMVLSGVDTVLGKSEEWADNHLPLTDAELARIATSLDGFDVASVQQQRQEQSYFVRLGSLSERLRQHAYEHSLGKLRATKQRAQEALLQLSQVLSLMETVKQGVDQKLVEGQEKLHQMWLSWNQKQLQGPEKEPPKPEQVESRALTMFRDIAQQLQATCTSLGSSIQGLPTNVKDQVQQARRQVEDLQATFSSIHSFQDLSSSILAQSRERVASAREALDHMVEYVAQNTPVTWLVGPFAPGITEKAPEEKK
Host
Rabbit
Clonality
Polyclonal
Isotype
IgG
Conjugate

Unconjugated

Purification
Affinity purification.
Concentration
Lot Specific
Molecular Weight
47 kDa
Product Form
Liquid
Formulation
Supplied in Phosphate Buffered Saline, pH 7.3, with 50% Glycerol and 0.01% Thiomersal.
Storage
Shipped at 4°C. Upon delivery aliquot and store at -20°C. Avoid freeze/thaw cycles.
Disclaimer
This product is for research use only. It is not intended for diagnostic or therapeutic use.