ISO 9001:2015 Certified
Live Customer Support
4.5/5 on Trustpilot
100% Quality Guarantee

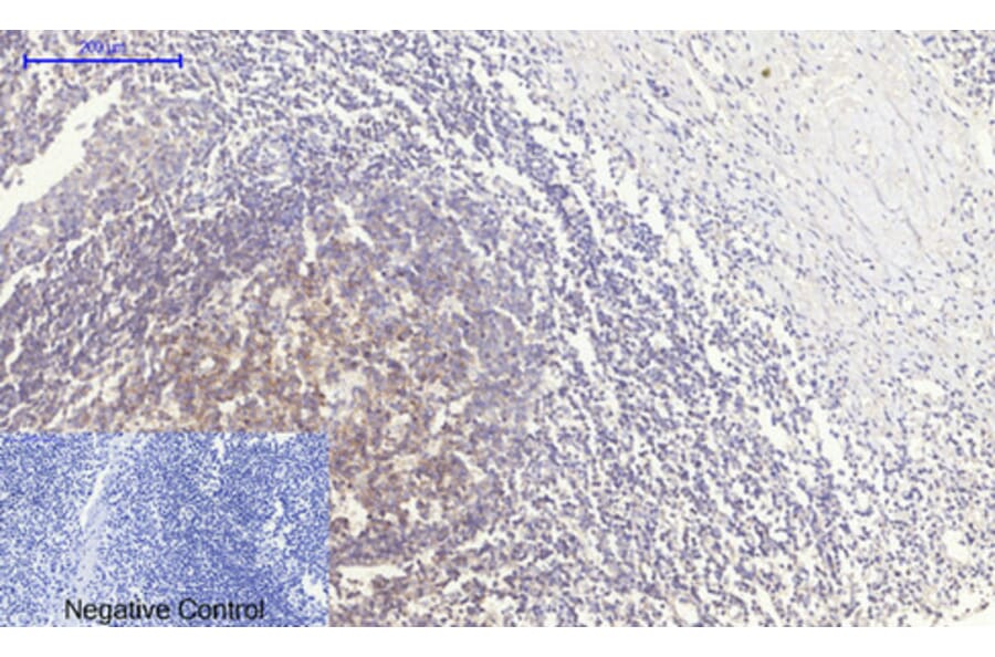
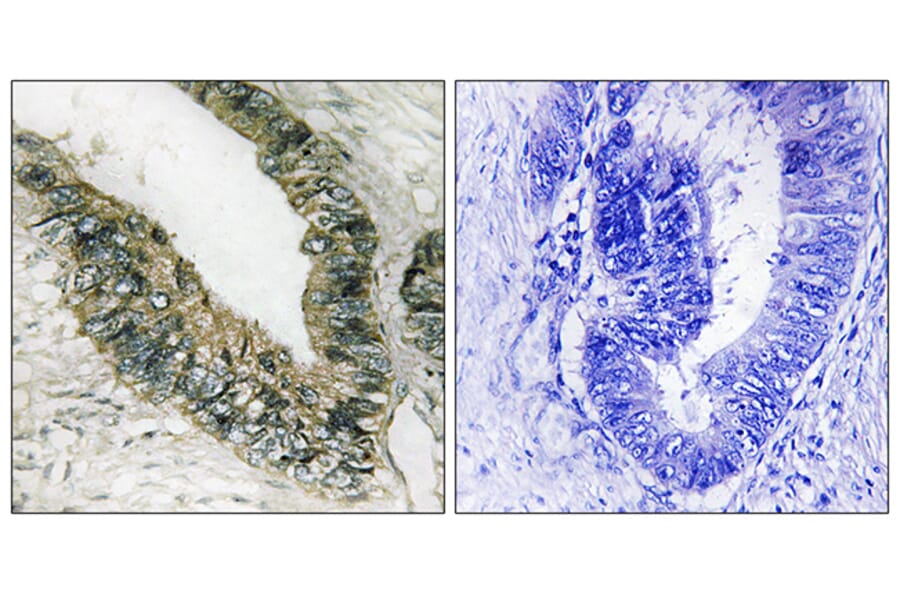
Anti-PERK Antibody (A96101)

Rabbit polyclonal antibody to PERK for IF, WB, IHC and ELISA.

Shipping Information

$40
Dispatched from St. Louis, MO.
Lead Time: 6-8 business days.
Name
Anti-PERK Antibody
Description
Rabbit polyclonal antibody to PERK.
Applications
IF, WB, IHC, ELISA
Dilutions
WB: 1:500~1:1000, IHC: 1:50~1:100, ELISA: 1:40000
Reactivity
Human, Mouse, Rat
Cross Reactivity
No reported cross-reactivity.
Immunogen
Synthetic peptide derived from human EIF2AK3 (amino acids 947-996).
Host
Rabbit
Clonality
Polyclonal
Isotype
IgG
Conjugate

Unconjugated

Purification
Purified from rabbit serum by antigen affinity chromatography using the immunizing peptide.
Molecular Weight
125kDa
Product Form
Liquid
Formulation
Supplied in Phosphate Buffered Saline (without Mg2+ and Ca2+), pH 7.4, with 150mM NaCl, 0.02% Sodium Azide, and 50% Glycerol.
Storage
Shipped at 4°C. Upon delivery aliquot and store at -20°C. Avoid freeze / thaw cycles.
Synonyms
EIF2AK3, Eukaryotic translation initiation factor 2-alpha kinase 3, HsPEK, Pancreatic eIF2-alpha kinase, PEK, PRKR-like endoplasmic reticulum kinase
Disclaimer
This product is for research use only. It is not intended for diagnostic or therapeutic use.
Publishing research using Anti-PERK Antibody (A96101)? Please let us know so that we can list the citation on this page.

Alternative products to Anti-PERK Antibody (A96101)

Proteins predicted to interact with PERK

Predicted protein interactions based upon String database. Revelancy score correlates with probability of interaction.
99.9% Relevancy Score
99.8% Relevancy Score
99.2% Relevancy Score
97.8% Relevancy Score
97.7% Relevancy Score
94.2% Relevancy Score
93.3% Relevancy Score
92.3% Relevancy Score
91.9% Relevancy Score