Supplied in Phosphate Buffered Saline, pH 7.3, with 50% Glycerol, 0.05% BSA, and 0.02% Sodium Azide.
Storage
Shipped at 4°C. Upon delivery aliquot and store at -20°C. Avoid freeze/thaw cycles.
Synonyms
KCP-1, KCP1, Keratinocyte-associated protein 1, KRTCAP1, p53 apoptosis effector related to PMP-22, P53-induced protein PIGPC1, PIGPC1, THW, Transmembrane protein THW
Western Blot - Anti-PERP Antibody [ARC2094] (A306726)
Western blot analysis of extracts of various cell lines, using Anti-PERP Antibody [ARC2094] (A306726) at 1:1,000 dilution. The secondary antibody was Goat Anti-Rabbit IgG H&L Antibody (HRP) at 1:10,000 dilution. Lysates/proteins were present at 25µg per lane. The blocking buffer used was 3% non-fat dry milk in TBST. Detection was with a ECL Basic Kit. Exposure time: 1s.
Western Blot - Anti-PERP Antibody [ARC2094] (A306726)
Western blot analysis of extracts of various cell lines, using Anti-PERP Antibody [ARC2094] (A306726) at 1:1,000 dilution. The secondary antibody was Goat Anti-Rabbit IgG H&L Antibody (HRP) at 1:10,000 dilution. Lysates/proteins were present at 25µg per lane. The blocking buffer used was 3% non-fat dry milk in TBST. Detection was with a ECL Basic Kit. Exposure time: 1s.
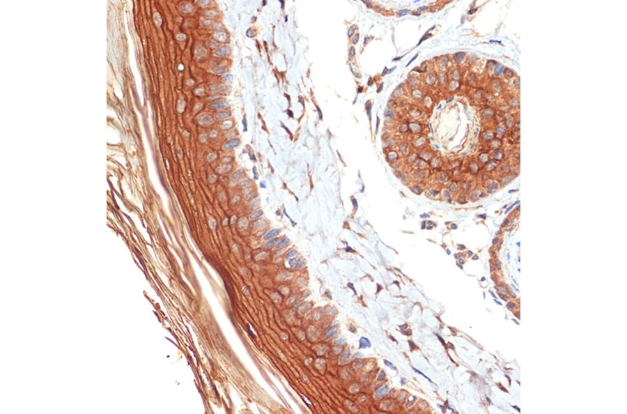
Immunohistochemistry analysis of paraffin-embedded mouse skin using Anti-PERP Antibody [ARC2094] (A306726) at a dilution of 1:100 (40x lens). Perform microwave antigen retrieval with 10 mM Tris/EDTA buffer pH 9.0 before commencing with IHC staining protocol.
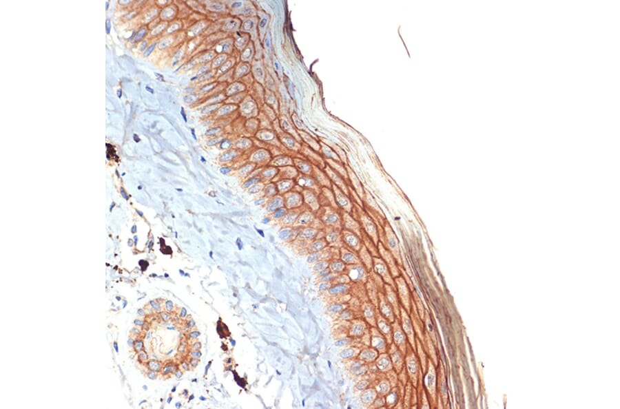
Immunohistochemistry analysis of paraffin-embedded rat skin using Anti-PERP Antibody [ARC2094] (A306726) at a dilution of 1:100 (40x lens). Perform microwave antigen retrieval with 10 mM Tris/EDTA buffer pH 9.0 before commencing with IHC staining protocol.
Immunofluorescence analysis of human skin cells using Anti-PERP Antibody [ARC2094] (A306726) at a dilution of 1:100 (40x lens). DAPI was used to stain the cell nuclei (blue).
Immunofluorescence analysis of mouse skin cells using Anti-PERP Antibody [ARC2094] (A306726) at a dilution of 1:100 (40x lens). DAPI was used to stain the cell nuclei (blue).