ISO 9001:2015 Certified
Live Customer Support
4.5/5 on Trustpilot
100% Quality Guarantee

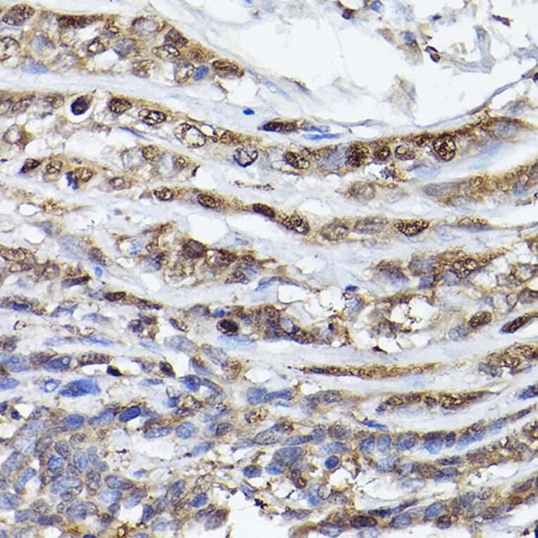
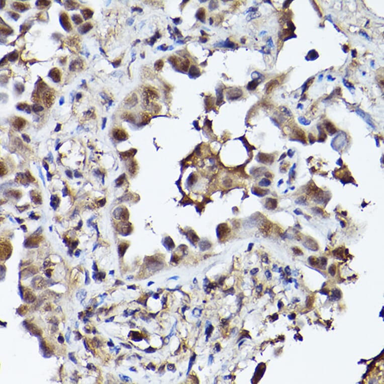
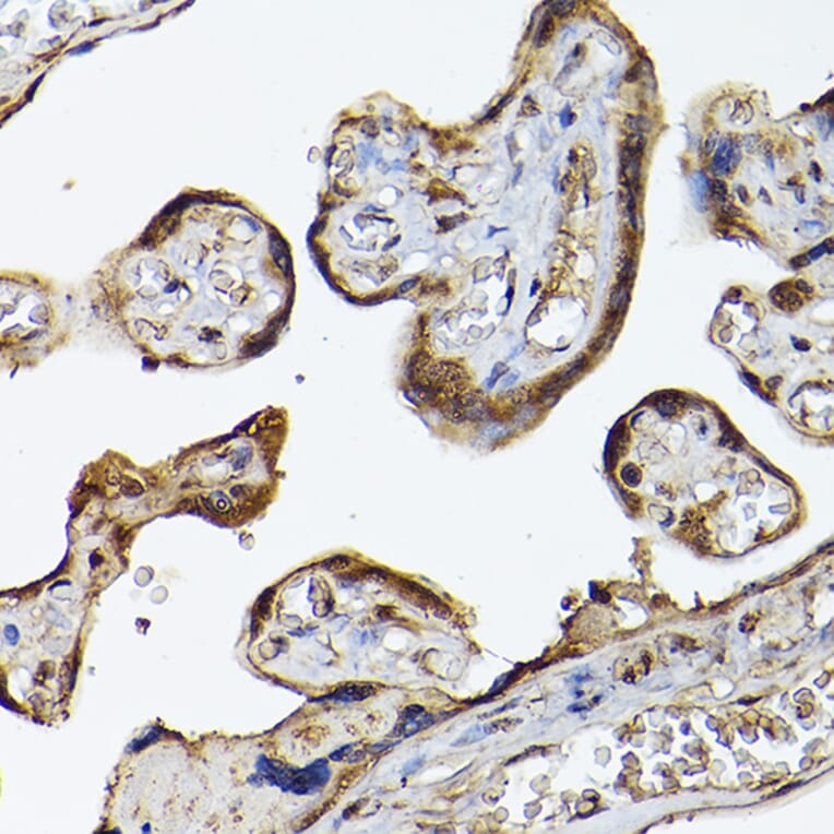
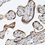
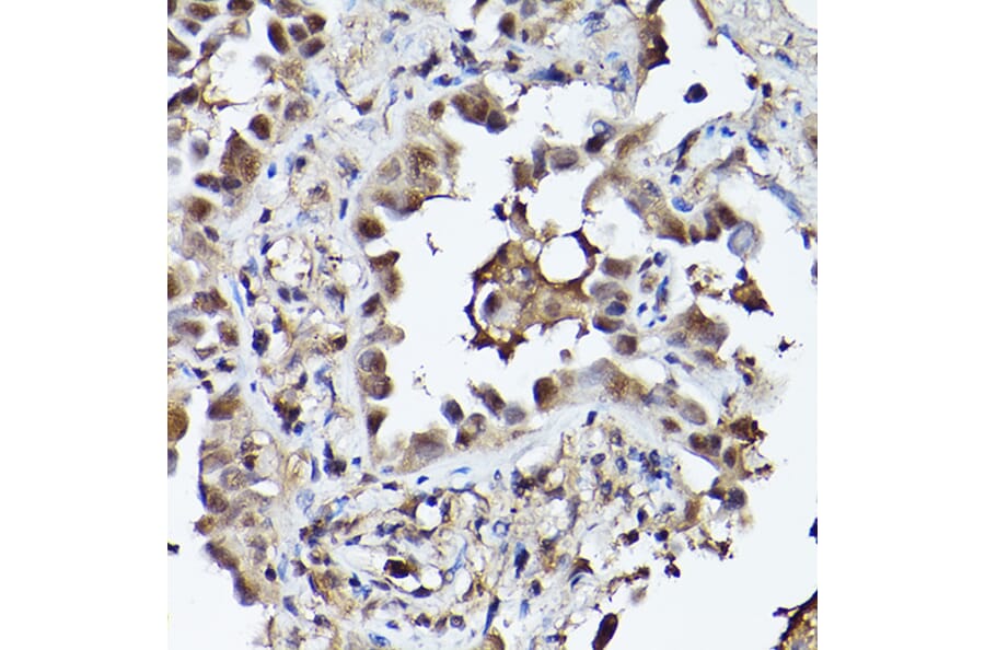
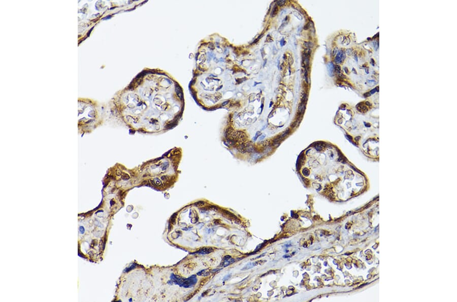
Anti-PHD3 Antibody (A12194)

Rabbit polyclonal antibody to PHD3 for WB, IHC and ICC/IF.

Shipping Information

$40
Dispatched from St. Louis, MO.
Lead Time: 7-10 business days.
Name
Anti-PHD3 Antibody
Description
Rabbit polyclonal antibody to PHD3.
Applications
WB, IHC, ICC/IF
Dilutions
WB: 1:500-1:1,000, IHC: 1:50-1:200, ICC/IF: 1:50-1:200
Reactivity
Human, Mouse, Rat
Immunogen
A synthetic peptide corresponding to a sequence within amino acids 1-100 of human PHD3 (NP_071356.1).
Sequence
MPLGHIMRLDLEKIALEYIVPCLHEVGFCYLDNFLGEVVGDCVLERVKQLHCTGALRDGQLAGPRAGVSKRHLRGDQITWIGGNEEGCEAISFLLSLIDR
Host
Rabbit
Clonality
Polyclonal
Isotype
IgG
Conjugate

Unconjugated

Purification
Affinity purification.
Concentration
Lot Specific
Molecular Weight
32 kDa
Product Form
Liquid
Formulation
Supplied in Phosphate Buffered Saline, pH 7.3, with 50% Glycerol and 0.05% Proclin 300.
Storage
Shipped at 4°C. Upon delivery aliquot and store at -20°C. Avoid freeze/thaw cycles.
Synonyms
EC:1.14.11.29, Egl nine homolog 3, EGLN3, HIF-PH3, HIF-prolyl hydroxylase 3, HPH-1, HPH-3, Hypoxia-inducible factor prolyl hydroxylase 3, Prolyl hydroxylase domain-containing protein 3, Prolyl hydroxylase EGLN3
Disclaimer
This product is for research use only. It is not intended for diagnostic or therapeutic use.
Publishing research using Anti-PHD3 Antibody (A12194)? Please let us know so that we can list the citation on this page.

Alternative products to Anti-PHD3 Antibody (A12194)

Proteins predicted to interact with PHD3

Predicted protein interactions based upon String database. Revelancy score correlates with probability of interaction.
99.9% Relevancy Score
99.9% Relevancy Score
97.6% Relevancy Score
95.4% Relevancy Score
95.3% Relevancy Score
94.8% Relevancy Score
94.6% Relevancy Score
92.9% Relevancy Score
91.9% Relevancy Score