ISO 9001:2015 Certified
Live Customer Support
4.5/5 on Trustpilot
100% Quality Guarantee

Anti-PHF10 Antibody [PCRP-PHF10-2A10] - BSA and Azide free (A278350)

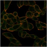
Mouse monoclonal [PCRP-PHF10-2A10] antibody to PHF10 for ELISA, IP, Flow Cytometry, IF and WB.

Alternative Formats and ConjugatesAlternative Formats

Shipping Information

$40
Dispatched from St. Louis, MO.
Lead Time: 5-8 business days.
Name
Anti-PHF10 Antibody [PCRP-PHF10-2A10] - BSA and Azide free
Description
Mouse monoclonal [PCRP-PHF10-2A10] antibody to PHF10.
Specificity
This gene contains a predicted ORF that encodes a protein with two zinc finger domains. The function of the encoded protein is not known. Sequence analysis suggests that multiple alternatively spliced transcript variants are derived from this gene but the full-length nature of only two of them is known. These two splice variants encode different isoforms. A pseudogene for this gene is located on Xq28.
Applications
ELISA, IP, Flow Cytometry, IF, WB
Dilutions
IP: 1-2µg / 100-500µg proteins, Flow Cytometry: 1-2 µg/million cells, IF: 1-2 µg/ml, WB: 1-2 µg/ml
Reactivity
Human
Cross Reactivity
This antibody is predicted to cross react with Chicken and Mouse.
Immunogen
Recombinant full-length human PHF10 protein.
Host
Mouse
Clonality
Monoclonal
Clone ID
PCRP-PHF10-2A10
Isotype
IgG2a
Conjugate

Unconjugated

Purification
Protein A/G chromatography.
Concentration
1 mg/ml
Molecular Weight
56.05 kDa
Product Form
Liquid
Formulation
Supplied in 10mM Phosphate Buffered Saline; without Sodium Azide and carrier free.
Storage
Shipped at 4°C. Upon delivery aliquot and store at -20°C. Avoid freeze / thaw cycles.
General Notes
This monoclonal antibody is also available in a different formulation with BSA and Sodium Azide - Anti-PHF10 Antibody [PCRP-PHF10-2A10] (A277762).
Synonyms
BAF45A, BRG1-associated factor 45a, PHD finger protein 10, XAP135
Disclaimer
This product is for research use only. It is not intended for diagnostic or therapeutic use.
Publishing research using Anti-PHF10 Antibody [PCRP-PHF10-2A10] - BSA and Azide free (A278350)? Please let us know so that we can list the citation on this page.

Alternative products to Anti-PHF10 Antibody [PCRP-PHF10-2A10] - BSA and Azide free (A278350)

Proteins predicted to interact with PHF10

Predicted protein interactions based upon String database. Revelancy score correlates with probability of interaction.
99.9% Relevancy Score
99.9% Relevancy Score
99.9% Relevancy Score
99.9% Relevancy Score
99.9% Relevancy Score
99.9% Relevancy Score
99.9% Relevancy Score
99.9% Relevancy Score
99.9% Relevancy Score